Difference between revisions of "Intravascular large B-cell lymphoma"
Jump to navigation
Jump to search
| Line 1: | Line 1: | ||
{{ Infobox diagnosis | |||
| Name = {{PAGENAME}} | |||
| Image = Intravascular lymphoma - very high mag.jpg | |||
| Width = | |||
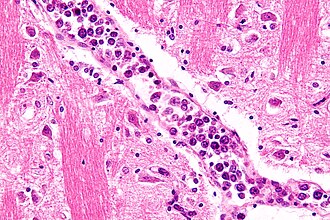
| Caption = Intravascular lymphoma. [[H&E stain]]. | |||
| Synonyms = | |||
| Micro = abundant atypical intravascular lymphoid cells (large ~2-3X size of a mature lymphocyte, nucleolus prominent) | |||
| Subtypes = | |||
| LMDDx = T-cell intravascular lymphoma | |||
| Stains = | |||
| IHC = CD45 +ve, CD20 +ve, CD34 -ve, CD3 -ve | |||
| EM = | |||
| Molecular = | |||
| IF = | |||
| Gross = | |||
| Grossing = | |||
| Site = [[blood vessels]] | |||
| Assdx = | |||
| Syndromes = | |||
| Clinicalhx = | |||
| Signs = non-specific presentation - may include fever, skin lesions | |||
| Symptoms = | |||
| Prevalence = rare | |||
| Bloodwork = | |||
| Rads = | |||
| Endoscopy = | |||
| Prognosis = poor | |||
| Other = | |||
| ClinDDx = | |||
| Tx = | |||
}} | |||
'''Intravascular large B-cell lymphoma''' refers to a rare form of [[lymphoma]] that is intravascular, B-cell derived, and does not manifest as a mass. | '''Intravascular large B-cell lymphoma''' refers to a rare form of [[lymphoma]] that is intravascular, B-cell derived, and does not manifest as a mass. | ||
| Line 4: | Line 35: | ||
==General== | ==General== | ||
*Rare - est. at one in million.<ref name=pmid22529262>{{Cite journal | last1 = Raza | first1 = M. | last2 = Qayyum | first2 = S. | last3 = Raza | first3 = S. | last4 = Goorha | first4 = S. | title = Intravascular B-cell lymphoma: an elusive diagnosis. | journal = J Clin Oncol | volume = 30 | issue = 15 | pages = e144-5 | month = May | year = 2012 | doi = 10.1200/JCO.2011.38.7720 | PMID = 22529262 }}</ref> | |||
Clinical: | Clinical: | ||
*Often a non-specific presentation.<ref name=pmid11579120>{{cite journal |author=Lapkuviene O, Forchetti D, Roepke JE |title=Unusual sites of involvement by hematologic malignancies. Case 1. Intravascular large B-cell lymphoma presenting with CNS symptoms |journal=J. Clin. Oncol. |volume=19 |issue=19 |pages=3988–91 |year=2001 |month=October |pmid=11579120 |doi= |url=http://jco.ascopubs.org/content/19/19/3988.full}}</ref> | *Often a non-specific presentation.<ref name=pmid11579120>{{cite journal |author=Lapkuviene O, Forchetti D, Roepke JE |title=Unusual sites of involvement by hematologic malignancies. Case 1. Intravascular large B-cell lymphoma presenting with CNS symptoms |journal=J. Clin. Oncol. |volume=19 |issue=19 |pages=3988–91 |year=2001 |month=October |pmid=11579120 |doi= |url=http://jco.ascopubs.org/content/19/19/3988.full}}</ref> | ||
| Line 35: | Line 68: | ||
Features:<ref name=pmid11579120/> | Features:<ref name=pmid11579120/> | ||
*CD20 +ve - '''key feature'''. | *CD20 +ve - '''key feature'''. | ||
*CD79a +ve.<ref name=pmid22529262/> | |||
*CD3 -ve. | *CD3 -ve. | ||
*CD34 -ve. | *CD34 -ve. | ||
Revision as of 06:51, 9 November 2014
| Intravascular large B-cell lymphoma | |
|---|---|
| Diagnosis in short | |
|
Intravascular lymphoma. H&E stain. | |
|
| |
| LM | abundant atypical intravascular lymphoid cells (large ~2-3X size of a mature lymphocyte, nucleolus prominent) |
| LM DDx | T-cell intravascular lymphoma |
| IHC | CD45 +ve, CD20 +ve, CD34 -ve, CD3 -ve |
| Site | blood vessels |
|
| |
| Signs | non-specific presentation - may include fever, skin lesions |
| Prevalence | rare |
| Prognosis | poor |
Intravascular large B-cell lymphoma refers to a rare form of lymphoma that is intravascular, B-cell derived, and does not manifest as a mass.
Several terms have been use to refer this entity, including angiotropic lymphoma, intravascular malignant lymphomatosis and malignant angioendotheliomatosis.
General
- Rare - est. at one in million.[1]
Clinical:
- Often a non-specific presentation.[2]
- +/-Fever.
- +/-Multiple infarcts.
- +/-Non-specific skin lesions.
Microscopic
Features:
- Abundant atypical intravascular lymphoid cells that are:
- Large (~2-3X size of a mature lymphocyte or RBC).
- Nucleolus prominent.
Notes:
- It may be hard to find RBCs in the vessels.
- Looks sorta like a DLBCL -- but is intravascular.
Images
www:
- ILBCL (ascopubs.org).[2]
- ILBCL in bone marrow (alphamedpress.org).
- ILBCL - various images (oxfordjournals.org).
- ILBCL (upmc.edu).[3]
- ILBCL - several images (upmc.edu).
IHC
Features:[2]
- CD20 +ve - key feature.
- CD79a +ve.[1]
- CD3 -ve.
- CD34 -ve.
See also
References
- ↑ 1.0 1.1 Raza, M.; Qayyum, S.; Raza, S.; Goorha, S. (May 2012). "Intravascular B-cell lymphoma: an elusive diagnosis.". J Clin Oncol 30 (15): e144-5. doi:10.1200/JCO.2011.38.7720. PMID 22529262.
- ↑ 2.0 2.1 2.2 Lapkuviene O, Forchetti D, Roepke JE (October 2001). "Unusual sites of involvement by hematologic malignancies. Case 1. Intravascular large B-cell lymphoma presenting with CNS symptoms". J. Clin. Oncol. 19 (19): 3988–91. PMID 11579120. http://jco.ascopubs.org/content/19/19/3988.full.
- ↑ URL: http://path.upmc.edu/cases/case473.html. Accessed on: 21 January 2012.