Difference between revisions of "Thyroid transcription factor-1"

From Libre Pathology
Jump to navigation Jump to search
(replace image)
Line 1: Line 1:
[[Image:Adenocarcinoma-Acinar type TTF1 (5494540752).jpg|thumb|right|250px|TTF-1 staining in [[lung adenocarcinoma]].]]
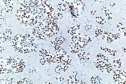
[[Image:Lung_adenocarcinoma_-_TTF-1_-_high_mag.jpg|thumb|right|250px|TTF-1 staining in [[lung adenocarcinoma]].]]
'''Thyroid transcription factor-1''', abbreviated '''TTF-1''' is a transcription factor seen in lung and thyroid.<ref>{{Cite journal  | last1 = Ordóñez | first1 = NG. | title = Thyroid transcription factor-1 is a marker of lung and thyroid carcinomas. | journal = Adv Anat Pathol | volume = 7 | issue = 2 | pages = 123-7 | month = Mar | year = 2000 | doi =  | PMID = 10721419 }}</ref>
'''Thyroid transcription factor-1''', abbreviated '''TTF-1''' is a transcription factor seen in lung and thyroid.<ref>{{Cite journal  | last1 = Ordóñez | first1 = NG. | title = Thyroid transcription factor-1 is a marker of lung and thyroid carcinomas. | journal = Adv Anat Pathol | volume = 7 | issue = 2 | pages = 123-7 | month = Mar | year = 2000 | doi =  | PMID = 10721419 }}</ref>



Revision as of 03:35, 2 April 2015

TTF-1 staining in lung adenocarcinoma.

Thyroid transcription factor-1, abbreviated TTF-1 is a transcription factor seen in lung and thyroid.[1]

Positive staining

  • Nuclear staining.

Normal tissues

Tumours

Negative

Negative staining:

See also

References

  1. Ordóñez, NG. (Mar 2000). "Thyroid transcription factor-1 is a marker of lung and thyroid carcinomas.". Adv Anat Pathol 7 (2): 123-7. PMID 10721419.
  2. Yatabe, Y.; Mitsudomi, T.; Takahashi, T. (Jun 2002). "TTF-1 expression in pulmonary adenocarcinomas.". Am J Surg Pathol 26 (6): 767-73. PMID 12023581.