Difference between revisions of "Penile intraepithelial neoplasia"
Jump to navigation
Jump to search
(+images) |
|||
| Line 1: | Line 1: | ||
{{ Infobox diagnosis | {{ Infobox diagnosis | ||
| Name = {{PAGENAME}} | | Name = {{PAGENAME}} | ||
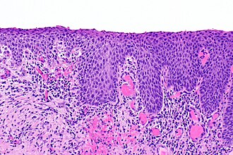
| Image = | | Image = Penile intraepithelial neoplasia -- intermed mag.jpg | ||
| Width = | | Width = | ||
| Caption = | | Caption = Penile intraepithelial neoplasia. [[H&E stain]]. | ||
| Synonyms = | | Synonyms = | ||
| Micro = | | Micro = | ||
| Line 50: | Line 50: | ||
*Conventional PeIN (cPeIN). | *Conventional PeIN (cPeIN). | ||
*Differentiated PeIN (dPeIN). | *Differentiated PeIN (dPeIN). | ||
===Images=== | |||
<gallery> | |||
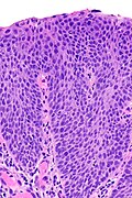
Image: Penile intraepithelial neoplasia -- low mag.jpg | PeIN - low mag. | |||
Image: Penile intraepithelial neoplasia - alt -- low mag.jpg | PeIN - low mag. | |||
Image: Penile intraepithelial neoplasia -- intermed mag.jpg | PeIN - intermed. mag. | |||
Image: Penile intraepithelial neoplasia - alt -- intermed mag.jpg | PeIN - intermed. mag. | |||
Image: Penile intraepithelial neoplasia -- high mag.jpg | PeIN - high mag. | |||
Image: Penile intraepithelial neoplasia - alt -- high mag.jpg | PeIN - high mag. | |||
Image: Adjacent parakeratosis and reactive changes -- intermed mag.jpg | Parakeratosis & reactive changes - intermed. mag. | |||
</gallery> | |||
==IHC== | ==IHC== | ||
Revision as of 15:37, 22 July 2015
| Penile intraepithelial neoplasia | |
|---|---|
| Diagnosis in short | |
|
Penile intraepithelial neoplasia. H&E stain. | |
| Subtypes | differentiated PeIN, classic PeIN |
| LM DDx | squamous cell carcinoma of the penis, squamous hyperplasia |
| IHC | p16 +ve (classic PeIN) -ve (dPeIN), p53 -ve (classic PeIN) +ve (dPeIN) |
| Site | penectomy grossing |
|
| |
| Associated Dx | HPV infection (classic PeIN), lichen sclerosus or BXO (differentiated PeIN) |
| Prevalence | uncommon |
| Prognosis | good |
| Clin. DDx | squamous cell carcinoma of the penis, lichen sclerosis, phimosis |
Penile intraepithelial neoplasia, abbreviated PeIN, is the precursor of squamous cell carcinoma of the penis.
It may be abbreviated PIN;[1] however, this can cause confusion with the prostatic intraepithelial neoplasia (the presursor of prostate carcinoma).
General
- Not very common overall.
- Typically seen adjacent to squamous cell carcinoma of the penis.
Microscopic
See vulvar intraepithelial neoplasia.
DDx:
- Squamous cell carcinoma of the penis.
- Squamous hyperplasia (differentiated PeIN).
- Lichen sclerosus (differentiated PeIN).
Subclassification
Subclassified based on the role of HPV,[2] as in vulvar intraepithelial neoplasia:
- Conventional PeIN (cPeIN).
- Differentiated PeIN (dPeIN).
Images
IHC
- p16 -ve in dPeIN,[3] +ve in cPeIN.
See also
References
- ↑ Porter, WM.; Francis, N.; Hawkins, D.; Dinneen, M.; Bunker, CB. (Dec 2002). "Penile intraepithelial neoplasia: clinical spectrum and treatment of 35 cases.". Br J Dermatol 147 (6): 1159-65. PMID 12452865.
- ↑ Velazquez, EF.; Chaux, A.; Cubilla, AL. (May 2012). "Histologic classification of penile intraepithelial neoplasia.". Semin Diagn Pathol 29 (2): 96-102. PMID 22641959.
- ↑ Oertell, J.; Caballero, C.; Iglesias, M.; Chaux, A.; Amat, L.; Ayala, E.; Rodríguez, I.; Velázquez, EF. et al. (May 2011). "Differentiated precursor lesions and low-grade variants of squamous cell carcinomas are frequent findings in foreskins of patients from a region of high penile cancer incidence.". Histopathology 58 (6): 925-33. doi:10.1111/j.1365-2559.2011.03816.x. PMID 21585428.