Difference between revisions of "Sarcomatoid carcinoma"
Jump to navigation
Jump to search
| (10 intermediate revisions by the same user not shown) | |||
| Line 1: | Line 1: | ||
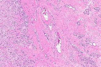
A '''sarcomatoid carcinoma''' is an epithelial derived [[malignancy]] ([[carcinoma]]), that has morphologic features suggestive of a malignant mesenchymal tumour ([[sarcoma]]). | [[Image:Sarcomatoid prostate carcinoma -- low mag.jpg|thumb|right|300px|[[Micrograph]] showing a sarcomatoid carcinoma with the sarcomatous component on the left of image and conventional (prostatic) carcinoma on the right of image. [[H&E stain]].]] | ||
A '''sarcomatoid carcinoma''' is an epithelial derived [[malignancy]] ([[carcinoma]]), that has morphologic features suggestive of a malignant mesenchymal tumour ([[sarcoma]]). It is a '''sarcoma-like carcinoma'''.<ref name=pmid24703022>{{Cite journal | last1 = Zehani | first1 = A. | last2 = Ayadi-Kaddour | first2 = A. | last3 = Marghli | first3 = A. | last4 = Maamouri | first4 = H. | last5 = Kassar | first5 = L. | last6 = Kilani | first6 = T. | last7 = El Mezni | first7 = F. | title = [Sarcomatoid carcinoma of the lung: retrospective study of 28 cases]. | journal = Ann Pathol | volume = 34 | issue = 2 | pages = 124-9 | month = Apr | year = 2014 | doi = 10.1016/j.annpat.2013.12.001 | PMID = 24703022 }}</ref><ref>{{Cite journal | last1 = Sano | first1 = I. | last2 = Matsumoto | first2 = H. | last3 = Taniguchi | first3 = H. | title = [Thymic sarcomatoid carcinoma; report of a case]. | journal = Kyobu Geka | volume = 66 | issue = 6 | pages = 517-9 | month = Jun | year = 2013 | doi = | PMID = 23917062 }}</ref> | |||
Examples | Generally speaking, these are rare or uncommon tumours and, in most cases, have a poor prognosis when compared to their conventional counterparts.{{fact}} | ||
==Examples== | |||
*[[Sarcomatoid urothelial carcinoma]]. | *[[Sarcomatoid urothelial carcinoma]]. | ||
*[[Renal cell carcinoma with sarcomatoid differentiation]] (sarcomatoid renal cell carcinoma). | *[[Renal cell carcinoma with sarcomatoid differentiation]] (sarcomatoid renal cell carcinoma). | ||
*[[Sarcomatoid prostatic carcinoma]]. | |||
*[[Spindle cell squamous carcinoma]]. | |||
*[[Metaplastic breast carcinoma]], non-squamous. | |||
*[[Sarcomatoid carcinoma of the lung]].<ref name=pmid17720411>{{Cite journal | last1 = Martin | first1 = LW. | last2 = Correa | first2 = AM. | last3 = Ordonez | first3 = NG. | last4 = Roth | first4 = JA. | last5 = Swisher | first5 = SG. | last6 = Vaporciyan | first6 = AA. | last7 = Walsh | first7 = GL. | last8 = Rice | first8 = DC. | title = Sarcomatoid carcinoma of the lung: a predictor of poor prognosis. | journal = Ann Thorac Surg | volume = 84 | issue = 3 | pages = 973-80 | month = Sep | year = 2007 | doi = 10.1016/j.athoracsur.2007.03.099 | PMID = 17720411 }}</ref> | |||
*Others. | |||
==See also== | ==See also== | ||
*[[Carcinosarcoma]]. | *[[Carcinosarcoma]]. | ||
*[[Metaplastic carcinoma]]. | *[[Metaplastic carcinoma]]. | ||
==References== | |||
{{Reflist|2}} | |||
[[Category:Stuff]] | [[Category:Stuff]] | ||
Latest revision as of 04:34, 18 November 2015
Micrograph showing a sarcomatoid carcinoma with the sarcomatous component on the left of image and conventional (prostatic) carcinoma on the right of image. H&E stain.
A sarcomatoid carcinoma is an epithelial derived malignancy (carcinoma), that has morphologic features suggestive of a malignant mesenchymal tumour (sarcoma). It is a sarcoma-like carcinoma.[1][2]
Generally speaking, these are rare or uncommon tumours and, in most cases, have a poor prognosis when compared to their conventional counterparts.[citation needed]
Examples
- Sarcomatoid urothelial carcinoma.
- Renal cell carcinoma with sarcomatoid differentiation (sarcomatoid renal cell carcinoma).
- Sarcomatoid prostatic carcinoma.
- Spindle cell squamous carcinoma.
- Metaplastic breast carcinoma, non-squamous.
- Sarcomatoid carcinoma of the lung.[3]
- Others.
See also
References
- ↑ Zehani, A.; Ayadi-Kaddour, A.; Marghli, A.; Maamouri, H.; Kassar, L.; Kilani, T.; El Mezni, F. (Apr 2014). "[Sarcomatoid carcinoma of the lung: retrospective study of 28 cases].". Ann Pathol 34 (2): 124-9. doi:10.1016/j.annpat.2013.12.001. PMID 24703022.
- ↑ Sano, I.; Matsumoto, H.; Taniguchi, H. (Jun 2013). "[Thymic sarcomatoid carcinoma; report of a case].". Kyobu Geka 66 (6): 517-9. PMID 23917062.
- ↑ Martin, LW.; Correa, AM.; Ordonez, NG.; Roth, JA.; Swisher, SG.; Vaporciyan, AA.; Walsh, GL.; Rice, DC. (Sep 2007). "Sarcomatoid carcinoma of the lung: a predictor of poor prognosis.". Ann Thorac Surg 84 (3): 973-80. doi:10.1016/j.athoracsur.2007.03.099. PMID 17720411.