Difference between revisions of "Cytokeratin 7"
Jump to navigation
Jump to search
| Line 23: | Line 23: | ||
*Prostate.<ref name=pmid11007036/> | *Prostate.<ref name=pmid11007036/> | ||
*Thymus.<ref name=pmid11007036/> | *Thymus.<ref name=pmid11007036/> | ||
*[[Squamous cell carcinoma]]. | *[[Squamous cell carcinoma]]. † | ||
Notes: | Notes: | ||
* ‡ Most other common types are CK7 +ve ([[papillary RCC]], [[chromophobe RCC]], [[clear cell papillary RCC]]) | * ‡ Most other common types are CK7 +ve ([[papillary RCC]], [[chromophobe RCC]], [[clear cell papillary RCC]]) | ||
* † May be positive. In one series of head and neck SCC: conventional SCC 7 +ve of 34 cases, [[basaloid squamous cell carcinoma]] 24 +ve of 45 cases.<ref name=pmid20614292>{{Cite journal | last1 = Winters | first1 = R. | last2 = Naud | first2 = S. | last3 = Evans | first3 = MF. | last4 = Trotman | first4 = W. | last5 = Kasznica | first5 = P. | last6 = Elhosseiny | first6 = A. | title = Ber-EP4, CK1, CK7 and CK14 are useful markers for basaloid squamous carcinoma: a study of 45 cases. | journal = Head Neck Pathol | volume = 2 | issue = 4 | pages = 265-71 | month = Dec | year = 2008 | doi = 10.1007/s12105-008-0089-7 | PMID = 20614292 }}</ref> | |||
<gallery> | <gallery> | ||
File:Adenocarcinoma - CK7 immunostain (5762463282).jpg | Adenocarcinoma of the lung (WC/Yale Rosen) | File:Adenocarcinoma - CK7 immunostain (5762463282).jpg | Adenocarcinoma of the lung (WC/Yale Rosen) | ||
Revision as of 19:09, 23 March 2016
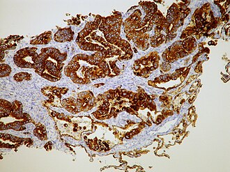
CK7 immunostain in acinar adenocarcinoma of the lung.
Cytokeratin 7, also keratin 7 and CK7, is a common low molecular keratin and a very common immunostain.[1]
Positive
Classic positive
- Ovary.
- Breast.
- Endometrium.
- Salivary gland.
- Lung (adenocarcinoma).
- Thyroid gland.
- Mesothelium.
- Pancreas.
- Stomach.
- Urothelial carcinoma.
- Esophageal adenocarcinoma.
Negative
Classic negative
- Kidney[1] (clear cell renal cell carcinoma). ‡
- Colon and rectum.[1]
- Prostate.[1]
- Thymus.[1]
- Squamous cell carcinoma. †
Notes:
- ‡ Most other common types are CK7 +ve (papillary RCC, chromophobe RCC, clear cell papillary RCC)
- † May be positive. In one series of head and neck SCC: conventional SCC 7 +ve of 34 cases, basaloid squamous cell carcinoma 24 +ve of 45 cases.[2]
See also
References
- ↑ 1.0 1.1 1.2 1.3 1.4 Chu, P.; Wu, E.; Weiss, LM. (Sep 2000). "Cytokeratin 7 and cytokeratin 20 expression in epithelial neoplasms: a survey of 435 cases.". Mod Pathol 13 (9): 962-72. doi:10.1038/modpathol.3880175. PMID 11007036.
- ↑ Winters, R.; Naud, S.; Evans, MF.; Trotman, W.; Kasznica, P.; Elhosseiny, A. (Dec 2008). "Ber-EP4, CK1, CK7 and CK14 are useful markers for basaloid squamous carcinoma: a study of 45 cases.". Head Neck Pathol 2 (4): 265-71. doi:10.1007/s12105-008-0089-7. PMID 20614292.