Difference between revisions of "Vascular thrombus"
Jump to navigation
Jump to search
| (2 intermediate revisions by the same user not shown) | |||
| Line 1: | Line 1: | ||
{{ Infobox diagnosis | |||
| Name = {{PAGENAME}} | |||
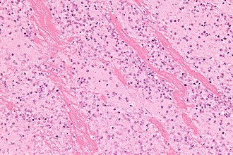
| Image = Laminations_in_a_thrombus_-_high_mag.jpg | |||
| Width = | |||
| Caption = Thrombus with laminations. [[H&E stain]]. (WC/Nephron) | |||
| Synonyms = | |||
| Micro = layers consisting of platelets and fibrin - classically alternating with layers of RBCs (known as ''lines of Zahn'') | |||
| Subtypes = | |||
| LMDDx = tumour embolus, thromboembolus, fat embolism, amniotic fluid embolus, stasis (post-mortem) | |||
| Stains = | |||
| IHC = | |||
| EM = | |||
| Molecular = | |||
| IF = | |||
| Gross = | |||
| Grossing = | |||
| Staging = | |||
| Site = [[blood vessels]] | |||
| Assdx = atrial fibrillation, hypercoagulable states (e.g. cancer) | |||
| Syndromes = | |||
| Clinicalhx = | |||
| Signs = dependent on severity and location | |||
| Symptoms = | |||
| Prevalence = | |||
| Bloodwork = D-dimer +ve | |||
| Rads = | |||
| Endoscopy = | |||
| Prognosis = dependent on severity, location and underlying cause (if present) | |||
| Other = | |||
| ClinDDx = | |||
| Tx = clot buster, thrombectomy, anticoagulants | |||
}} | |||
'''Vascular thrombus''' is an uncommon [[pathology]] specimen that may be from an artery or vein. | '''Vascular thrombus''' is an uncommon [[pathology]] specimen that may be from an artery or vein. | ||
''Venous thrombus'' and ''arterial thrombus'' redirect here. | ''Venous thrombus'' and ''arterial thrombus'' redirect here. ''Pulmonary embolism'' is dealt with separately in the [[pulmonary embolism]] article. | ||
==General== | ==General== | ||
*Uncommonly comes to [[pathology]]. | *Uncommonly comes to [[pathology]]. | ||
| Line 10: | Line 42: | ||
*Endothelial injury. | *Endothelial injury. | ||
Clinical: | |||
*D-dimer elevated.<ref name=pmid23784703>{{Cite journal | last1 = Kleinegris | first1 = MC. | last2 = ten Cate | first2 = H. | last3 = ten Cate-Hoek | first3 = AJ. | title = D-dimer as a marker for cardiovascular and arterial thrombotic events in patients with peripheral arterial disease. A systematic review. | journal = Thromb Haemost | volume = 110 | issue = 2 | pages = 233-43 | month = Aug | year = 2013 | doi = 10.1160/TH13-01-0032 | PMID = 23784703 }}</ref> | |||
==Gross== | ==Gross== | ||
: See ''[[pulmonary embolism]]''. | : See ''[[pulmonary embolism]]''. | ||
Latest revision as of 13:10, 6 April 2016
| Vascular thrombus | |
|---|---|
| Diagnosis in short | |
|
Thrombus with laminations. H&E stain. (WC/Nephron) | |
|
| |
| LM | layers consisting of platelets and fibrin - classically alternating with layers of RBCs (known as lines of Zahn) |
| LM DDx | tumour embolus, thromboembolus, fat embolism, amniotic fluid embolus, stasis (post-mortem) |
| Site | blood vessels |
|
| |
| Associated Dx | atrial fibrillation, hypercoagulable states (e.g. cancer) |
| Signs | dependent on severity and location |
| Blood work | D-dimer +ve |
| Prognosis | dependent on severity, location and underlying cause (if present) |
| Treatment | clot buster, thrombectomy, anticoagulants |
Vascular thrombus is an uncommon pathology specimen that may be from an artery or vein.
Venous thrombus and arterial thrombus redirect here. Pulmonary embolism is dealt with separately in the pulmonary embolism article.
General
- Uncommonly comes to pathology.
Risk factors - think Virchow's triad:
- Stasis, e.g. atrial fibrillation.
- Hypercoagulable states, e.g. cancer - see risks factors venous thromboembolism.
- Endothelial injury.
Clinical:
- D-dimer elevated.[1]
Gross
- See pulmonary embolism.
Features:
- Dull appearance.
- Laminations.
Microscopic
Features:
- Layers consisting of platelets and fibrin.
- Classically alternating with layers of RBCs - known as Lines of Zahn.[2]
Note:
- Multiple laminations (layers), in general, suggest that clot was formed in a dynamic environment, i.e. in the context of blood flow.
DDx:
- Tumour embolus - malignant cells.
- Thromboembolus - may require clinical history.
- Fat embolism.
- Amniotic fluid embolus - in the context of pregnancy/postpartum.
- Foreign body.
Images
www
Sign out
BLOOD CLOT, LEFT ILIAC ARTERY, THROMBECTOMY: - THROMBUS. - NEGATIVE FOR MALIGNANCY.
BLOOD CLOT, LEFT ARM - BRACHIAL ARTERY, THROMBECTOMY/EMBOLECTOMY: - THROMBUS. - NEGATIVE FOR MALIGNANCY.
Micro
The sections show layers of red blood cells alternating with fibrin and white blood cells (Lines of Zahn).
See also
References
- ↑ Kleinegris, MC.; ten Cate, H.; ten Cate-Hoek, AJ. (Aug 2013). "D-dimer as a marker for cardiovascular and arterial thrombotic events in patients with peripheral arterial disease. A systematic review.". Thromb Haemost 110 (2): 233-43. doi:10.1160/TH13-01-0032. PMID 23784703.
- ↑ Kumar, Vinay; Abbas, Abul K.; Fausto, Nelson; Aster, Jon (2009). Robbins and Cotran pathologic basis of disease (8th ed.). Elsevier Saunders. pp. 124. ISBN 978-1416031215.