Difference between revisions of "Nuclear pleomorphism"
Jump to navigation
Jump to search
| Line 1: | Line 1: | ||
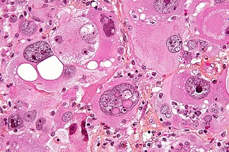
[[Image:Glioblastoma_with_extreme_nuclear_enlargement_-_very_high_mag.jpg|thumb | [[Image:Glioblastoma_with_extreme_nuclear_enlargement_-_very_high_mag.jpg|thumb|Extreme nuclear pleomorphism in a case of [[glioblastoma]].]] | ||
[[Image:Mucinous lung adenocarcinoma and airway -- high mag.jpg|thumb|right|Some forms of cancer have no or minimal nuclear pleomorphism; mucinous [[adenocarcinoma of the lung]] (left of image) looks similar to (benign) gastric foveolar epithelium and in this image is juxtaposed with benign ciliated epithelium (right of image). [[H&E stain]].]] | |||
'''Nuclear pleomorphism''' is a common finding in [[cancer|malignant lesions]]. '''Anisonucleosis''' is often used as a synonym for ''nuclear pleomorphism''; ''iso-'' means ''equal'' or ''identical'',<ref>URL: [http://dictionary.reference.com/browse/iso-?s=ts http://dictionary.reference.com/browse/iso-?s=ts]. Accessed on: 26 September 2013.</ref> and ''an-'' means ''not''.<ref>URL: [http://dictionary.reference.com/browse/an-?s=t http://dictionary.reference.com/browse/an-?s=t]. Accessed on: 26 September 2013.</ref> | '''Nuclear pleomorphism''' is a common finding in [[cancer|malignant lesions]]. '''Anisonucleosis''' is often used as a synonym for ''nuclear pleomorphism''; ''iso-'' means ''equal'' or ''identical'',<ref>URL: [http://dictionary.reference.com/browse/iso-?s=ts http://dictionary.reference.com/browse/iso-?s=ts]. Accessed on: 26 September 2013.</ref> and ''an-'' means ''not''.<ref>URL: [http://dictionary.reference.com/browse/an-?s=t http://dictionary.reference.com/browse/an-?s=t]. Accessed on: 26 September 2013.</ref> | ||
Revision as of 01:48, 16 June 2016
Extreme nuclear pleomorphism in a case of glioblastoma.
Some forms of cancer have no or minimal nuclear pleomorphism; mucinous adenocarcinoma of the lung (left of image) looks similar to (benign) gastric foveolar epithelium and in this image is juxtaposed with benign ciliated epithelium (right of image). H&E stain.
Nuclear pleomorphism is a common finding in malignant lesions. Anisonucleosis is often used as a synonym for nuclear pleomorphism; iso- means equal or identical,[1] and an- means not.[2]
Definition
Nuclear pleomorphism is the marked variation of:[3]
- Nuclear size.
- Nuclear shape.
- Nuclear staining (especially with hyperchromasia).
Memory device 3 S: size, shape, staining.
Images
Marked nuclear pleomorphism - in a case of glioblastoma - very high mag. (WC/Nephron)
Pleomorphic undifferentiated sarcoma - intermed. mag. (WC/Nephron)
Pleomorphic undifferentiated sarcoma - high mag. (WC/Nephron)
See also
References
- ↑ URL: http://dictionary.reference.com/browse/iso-?s=ts. Accessed on: 26 September 2013.
- ↑ URL: http://dictionary.reference.com/browse/an-?s=t. Accessed on: 26 September 2013.
- ↑ Rashid, F.; Ul Haque, A. (Dec 2011). "Frequencies of different nuclear morphological features in prostate adenocarcinoma.". Ann Diagn Pathol 15 (6): 414-21. doi:10.1016/j.anndiagpath.2011.06.002. PMID 21849255.