Difference between revisions of "Cortical tuber"
Jump to navigation
Jump to search
Jensflorian (talk | contribs) (→General: IHC) |
Jensflorian (talk | contribs) (→General: Cell loss) |
||
| Line 7: | Line 7: | ||
*Seen in 80-90% of the TSC cases. | *Seen in 80-90% of the TSC cases. | ||
*Gyrus is usu. thickened, raised, and occasionally dimpled. | *Gyrus is usu. thickened, raised, and occasionally dimpled. | ||
*Giant cells, dysmorphic neurons | *Giant cells, dysmorphic neurons, gliosis, calcifications. | ||
*Prominent cell loss in all cortical layers.<ref>{{Cite journal | last1 = Mühlebner | first1 = A. | last2 = Iyer | first2 = AM. | last3 = van Scheppingen | first3 = J. | last4 = Anink | first4 = JJ. | last5 = Jansen | first5 = FE. | last6 = Veersema | first6 = TJ. | last7 = Braun | first7 = KP. | last8 = Spliet | first8 = WG. | last9 = van Hecke | first9 = W. | title = Specific pattern of maturation and differentiation in the formation of cortical tubers in tuberous sclerosis omplex (TSC): evidence from layer-specific marker expression. | journal = J Neurodev Disord | volume = 8 | issue = | pages = 9 | month = | year = 2016 | doi = 10.1186/s11689-016-9142-0 | PMID = 27042238 }}</ref> | |||
*Normal cortical lamination is lost in the lesion. | *Normal cortical lamination is lost in the lesion. | ||
*TSC2 has larger and more numerous tubers.<ref>{{Cite journal | last1 = Overwater | first1 = IE. | last2 = Swenker | first2 = R. | last3 = van der Ende | first3 = EL. | last4 = Hanemaayer | first4 = KB. | last5 = Hoogeveen-Westerveld | first5 = M. | last6 = van Eeghen | first6 = AM. | last7 = Lequin | first7 = MH. | last8 = van den Ouweland | first8 = AM. | last9 = Moll | first9 = HA. | title = Genotype and brain pathology phenotype in children with tuberous sclerosis complex. | journal = Eur J Hum Genet | volume = 24 | issue = 12 | pages = 1688-1695 | month = 12 | year = 2016 | doi = 10.1038/ejhg.2016.85 | PMID = 27406250 }}</ref> | *TSC2 has larger and more numerous tubers.<ref>{{Cite journal | last1 = Overwater | first1 = IE. | last2 = Swenker | first2 = R. | last3 = van der Ende | first3 = EL. | last4 = Hanemaayer | first4 = KB. | last5 = Hoogeveen-Westerveld | first5 = M. | last6 = van Eeghen | first6 = AM. | last7 = Lequin | first7 = MH. | last8 = van den Ouweland | first8 = AM. | last9 = Moll | first9 = HA. | title = Genotype and brain pathology phenotype in children with tuberous sclerosis complex. | journal = Eur J Hum Genet | volume = 24 | issue = 12 | pages = 1688-1695 | month = 12 | year = 2016 | doi = 10.1038/ejhg.2016.85 | PMID = 27406250 }}</ref> | ||
Latest revision as of 13:17, 14 October 2019
Cortical tubers are malformative lesions in the CNS observed in tuberous sclerosis complex (abbreviated TSC), an autosomal dominant syndrome.
General
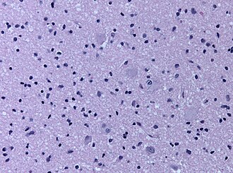
- Cortical tubers are malformative, epilepsy-associated.[1]
- Seen in 80-90% of the TSC cases.
- Gyrus is usu. thickened, raised, and occasionally dimpled.
- Giant cells, dysmorphic neurons, gliosis, calcifications.
- Prominent cell loss in all cortical layers.[2]
- Normal cortical lamination is lost in the lesion.
- TSC2 has larger and more numerous tubers.[3]
IHC
- Ballon cells are Vim+ve, MAP2+ve, Nestin+ve, GFAP+/-ve, NeuN+/-ve.
Imaging
Examples on Radiopedia [[1]]
DDx
- Focal cortical dysplasia ILAE type IIB (Tubers are usu. multifocal).
See also
References
- ↑ Cotter, JA. (Apr 2019). "An update on the central nervous system manifestations of tuberous sclerosis complex.". Acta Neuropathol. doi:10.1007/s00401-019-02003-1. PMID 30976976.
- ↑ Mühlebner, A.; Iyer, AM.; van Scheppingen, J.; Anink, JJ.; Jansen, FE.; Veersema, TJ.; Braun, KP.; Spliet, WG. et al. (2016). "Specific pattern of maturation and differentiation in the formation of cortical tubers in tuberous sclerosis omplex (TSC): evidence from layer-specific marker expression.". J Neurodev Disord 8: 9. doi:10.1186/s11689-016-9142-0. PMID 27042238.
- ↑ Overwater, IE.; Swenker, R.; van der Ende, EL.; Hanemaayer, KB.; Hoogeveen-Westerveld, M.; van Eeghen, AM.; Lequin, MH.; van den Ouweland, AM. et al. (12 2016). "Genotype and brain pathology phenotype in children with tuberous sclerosis complex.". Eur J Hum Genet 24 (12): 1688-1695. doi:10.1038/ejhg.2016.85. PMID 27406250.