Difference between revisions of "Warthin tumour"

From Libre Pathology
Jump to navigation Jump to search
(→‎Sign out: +micro)
 
(4 intermediate revisions by the same user not shown)
Line 6: Line 6:
| Micro      = papillae with a two rows of pink (eosinophilic) epithelial cells (with cuboidal basal cells and columnar luminal cells), fibrous capsule, cystic space filled with debris, lymphoid stroma
| Micro      = papillae with a two rows of pink (eosinophilic) epithelial cells (with cuboidal basal cells and columnar luminal cells), fibrous capsule, cystic space filled with debris, lymphoid stroma
| Subtypes  =
| Subtypes  =
| LMDDx      = lymphoepithelial cyst
| LMDDx      = lymphoepithelial cyst, [[oncocytoma of the salivary gland]], lymphoma associated with Warthin tumour
| Stains    =
| Stains    =
| IHC        =
| IHC        =
Line 70: Line 70:
*Lymphoepithelial cyst.
*Lymphoepithelial cyst.
**Cyst within a lymph node.
**Cyst within a lymph node.
*Lymphoma associated with Warthin tumour - case reports.<ref name=pmid31183747>{{Cite journal  | last1 = Alnoor | first1 = F. | last2 = Gandhi | first2 = JS. | last3 = Stein | first3 = MK. | last4 = Gradowski | first4 = JF. | title = Follicular Lymphoma Diagnosed in Warthin Tumor: A Case Report and Review of the Literature. | journal = Head Neck Pathol | volume =  | issue =  | pages =  | month = Jun | year = 2019 | doi = 10.1007/s12105-019-01045-x | PMID = 31183747 }}</ref><ref name=pmid28978260>{{Cite journal  | last1 = Jawad | first1 = H. | last2 = McCarthy | first2 = P. | last3 = O'Leary | first3 = G. | last4 = Heffron | first4 = CC. | title = Presentation of Chronic Lymphocytic Leukemia/Small Lymphocytic Lymphoma in a Warthin Tumor: Case Report and Literature Review. | journal = Int J Surg Pathol | volume = 26 | issue = 3 | pages = 256-260 | month = May | year = 2018 | doi = 10.1177/1066896917734371 | PMID = 28978260 }}</ref>
*[[Oncocytoma of the salivary gland]].


===Images===
===Images===
Line 98: Line 100:


====Micro====
====Micro====
The sections show a cystic tumour with lymphoid tissue associated with benign salivary gland tissue. The lymphoid tissue is composed of small cells and forms morphologically unremarkable follicules.  The cyst-lining epithelium has a bilayered appearance and is composed of cells with abundant eosinophilic cytoplasm and nucleoli. The tumour focally extends to the edge of the tissue (ink present on tumour).
The sections show a cystic tumour with lymphoid tissue associated with benign salivary gland tissue. The lymphoid tissue is composed of small cells and forms morphologically unremarkable follicles.  The cyst-lining epithelium has a bilayered appearance and is composed of cells with abundant eosinophilic cytoplasm and nucleoli. The tumour focally extends to the edge of the tissue (ink present on tumour).


==See also==
==See also==

Latest revision as of 18:20, 10 February 2021

Warthin tumour
Diagnosis in short

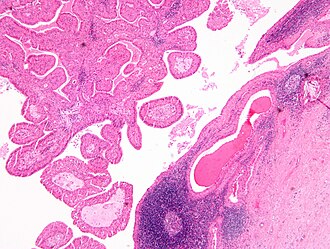
Warthin tumour. H&E stain.

LM papillae with a two rows of pink (eosinophilic) epithelial cells (with cuboidal basal cells and columnar luminal cells), fibrous capsule, cystic space filled with debris, lymphoid stroma
LM DDx lymphoepithelial cyst, oncocytoma of the salivary gland, lymphoma associated with Warthin tumour
Gross classically cystic, motor oil-like fluid
Site salivary gland - parotid gland only

Clinical history strong association with smoking
Signs mass lesion
Prevalence common benign salivary gland lesion
Prognosis good, benign
Clin. DDx other salivary gland tumours

Warthin tumour is a relative common benign tumour of the parotid gland. It is also known as papillary cystadenoma lymphomatosum.

General

  • Benign.

Epidemiology:

  • May be multicentric ~ 15% of the time.
  • Bilateral ~6% of the time.[1]
  • Classically: male > female - changing with more women smokers.
  • Smokers - almost 80% of patients is a series of 70 cases.[1]
  • Old - usually 60s,[2] very rarely < 40 years old.

Notes:

  • No malignant transformation.
  • Not in submandibular gland.
  • Not in sublingual gland.
  • Not in children.

Gross

Features:

  • Motor oil-like fluid.[3]
  • Cystic component larger in larger lesions.
    • Small lesions may be solid.

Image:

Microscopic

Features:

  • Papillae (nipple-shaped structures) with a two rows of pink (eosinophilic) epithelial cells (with cuboidal basal cells and columnar luminal cells) - key feature.
  • Fibrous capsule - pink & homogenous on H&E stain.
  • Cystic space filled with debris in situ (not necrosis).
  • Lymphoid stroma.

Notes:

  • +/-Squamous differentiation.
  • +/-Goblet cell differentiation.

DDx:

Images

Case 1

Case 2

Sign out

Parotid Gland, Left, Excision:
- Warthin's tumour (papillary cystadenoma lymphomatosum).
- NEGATIVE for malignancy.

Block letters

PAROTID GLAND, RIGHT, EXCISION:
- WARTHIN TUMOUR.

Micro

The sections show a cystic tumour with lymphoid tissue associated with benign salivary gland tissue. The lymphoid tissue is composed of small cells and forms morphologically unremarkable follicles. The cyst-lining epithelium has a bilayered appearance and is composed of cells with abundant eosinophilic cytoplasm and nucleoli. The tumour focally extends to the edge of the tissue (ink present on tumour).

See also

References

  1. 1.0 1.1 Chedid, HM.; Rapoport, A.; Aikawa, KF.; Menezes, Ados S.; Curioni, OA.. "Warthin's tumor of the parotid gland: study of 70 cases.". Rev Col Bras Cir 38 (2): 90-4. PMID 21710045.
  2. Dăguci, L.; Simionescu, C.; Stepan, A.; Munteanu, C.; Dăguci, C.; Bătăiosu, M. (2011). "Warthin tumor--morphological study of the stromal compartment.". Rom J Morphol Embryol 52 (4): 1319-23. PMID 22203940.
  3. Hunt, JL. (Jan 2006). "Warthin tumors do not have microsatellite instability and express normal DNA mismatch repair proteins.". Arch Pathol Lab Med 130 (1): 52-6. doi:10.1043/1543-2165(2006)130[52:WTDNHM]2.0.CO;2. PMID 16390238.
  4. Alnoor, F.; Gandhi, JS.; Stein, MK.; Gradowski, JF. (Jun 2019). "Follicular Lymphoma Diagnosed in Warthin Tumor: A Case Report and Review of the Literature.". Head Neck Pathol. doi:10.1007/s12105-019-01045-x. PMID 31183747.
  5. Jawad, H.; McCarthy, P.; O'Leary, G.; Heffron, CC. (May 2018). "Presentation of Chronic Lymphocytic Leukemia/Small Lymphocytic Lymphoma in a Warthin Tumor: Case Report and Literature Review.". Int J Surg Pathol 26 (3): 256-260. doi:10.1177/1066896917734371. PMID 28978260.