Difference between revisions of "Urothelial carcinoma of the urethra"
Jump to navigation
Jump to search
(+infobox) |
|||
| (4 intermediate revisions by the same user not shown) | |||
| Line 1: | Line 1: | ||
{{ Infobox diagnosis | {{ Infobox diagnosis | ||
| Name = {{PAGENAME}} | | Name = {{PAGENAME}} | ||
| Image = | | Image = Urothelial carcinoma in prostate - 2 -- high mag.jpg | ||
| Width = | | Width = | ||
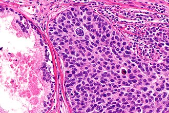
| Caption = | | Caption = Urothelial carcinoma and benign prostatic tissue in keeping with urethral urothelial carcinoma. [[H&E stain]]. (WC/Nephron) | ||
| Synonyms = | | Synonyms = | ||
| Micro = | | Micro = | ||
| Subtypes = | | Subtypes = | ||
| LMDDx = | | LMDDx = [[prostatic carcinoma]] - especially poorly differentiated and [[urothelial carcinoma-like prostatic carcinoma]] | ||
| Stains = | | Stains = [[GATA3]] +ve, [[p63]] +ve, CK5/6 +ve, [[PSA]] -ve, [[PSAP]] -ve | ||
| IHC = | | IHC = | ||
| EM = | | EM = | ||
| Line 14: | Line 14: | ||
| IF = | | IF = | ||
| Gross = | | Gross = | ||
| Grossing = | | Grossing = [[cystoprostatectomy grossing]], [[TURP grossing]] | ||
| Staging = | | Staging = | ||
| Site = [[urethra]] - also see [[prostate]] ([[prostate cancer]]) | | Site = [[urethra]] - also see [[prostate]] ([[prostate cancer]]) | ||
| Line 20: | Line 20: | ||
| Syndromes = | | Syndromes = | ||
| Clinicalhx = +/-radiation therapy, [[bladder cancer]] | | Clinicalhx = +/-radiation therapy, [[bladder cancer]] | ||
| Signs = | | Signs = +/-[[hematuria]] | ||
| Symptoms = | | Symptoms = | ||
| Prevalence = uncommon | | Prevalence = uncommon | ||
| Line 28: | Line 28: | ||
| Prognosis = | | Prognosis = | ||
| Other = | | Other = | ||
| ClinDDx = | | ClinDDx = benign urethral stricture | ||
| Tx = [[ | | Tx = [[cystoprostatectomy]]/cystectomy or endoscopic resection | ||
}} | }} | ||
'''Urothelial carcinoma of the urethra''' is an uncommon epithelial [[malignancy]] of the [[urethra]]. It may be primary, i.e. arises in the urethra, or secondary (spreads from the bladder or upper genitourinary tract). | '''Urothelial carcinoma of the urethra''' is an uncommon epithelial [[malignancy]] of the [[urethra]]. It may be primary, i.e. arises in the urethra, or secondary (spreads from the bladder or upper genitourinary tract). | ||
'''Prostatic urothelial carcinoma''' and '''urothelial carcinoma of the prostate gland''' redirect here. | '''Prostatic urothelial carcinoma''' and '''urothelial carcinoma of the prostate gland''' redirect here. | ||
''[[Distal urethral cancers of the penis]]'' are dealt with separately. | |||
==General== | ==General== | ||
Latest revision as of 21:01, 19 December 2024
| Urothelial carcinoma of the urethra | |
|---|---|
| Diagnosis in short | |
|
Urothelial carcinoma and benign prostatic tissue in keeping with urethral urothelial carcinoma. H&E stain. (WC/Nephron) | |
| LM DDx | prostatic carcinoma - especially poorly differentiated and urothelial carcinoma-like prostatic carcinoma |
| Stains | GATA3 +ve, p63 +ve, CK5/6 +ve, PSA -ve, PSAP -ve |
| Grossing notes | cystoprostatectomy grossing, TURP grossing |
| Site | urethra - also see prostate (prostate cancer) |
|
| |
| Clinical history | +/-radiation therapy, bladder cancer |
| Signs | +/-hematuria |
| Prevalence | uncommon |
| Clin. DDx | benign urethral stricture |
| Treatment | cystoprostatectomy/cystectomy or endoscopic resection |
Urothelial carcinoma of the urethra is an uncommon epithelial malignancy of the urethra. It may be primary, i.e. arises in the urethra, or secondary (spreads from the bladder or upper genitourinary tract).
Prostatic urothelial carcinoma and urothelial carcinoma of the prostate gland redirect here.
Distal urethral cancers of the penis are dealt with separately.
General
- May arise secondary to radiotherapy for prostate cancer.[1][2]
- Spreads from the urinary bladder usually - common.[3]
- Identified by endoscopic loop biopsy[4] or TURP.
Treatment:[4]
- Cystoprostatectomy - stromal invasion or extensive intraductal involvement.
- Endoscopic resection and BCG - limited extent without stromal invasion.
Clinical DDx:
- Benign urethral stricture.
Microscopic
Features:
- Divided into tumours with:
- Stromal invasion.
- Without stromal invasion.
Notes:
- Stromal involvement common ~ 75% of cases.[5]
DDx:
- Urothelial carcinoma-like prostatic carcinoma - may have pseudopapillae.
Images
Sign out
PROSTATE TISSUE, TRANSURETHRAL RESECTION: - HIGH-GRADE UROTHELIAL CARCINOMA WITH FOCAL STROMAL INVASION, AND EXTENSIVE INTRADUCTAL SPREAD IN FRAGMENTS WITH BENIGN PROSTATIC GLANDS.
See also
References
- ↑ Novicki, DE.; Gehring, GG. (Jul 1976). "Urethral carcinoma after radiation therapy for mixed prostatic carcinoma.". J Urol 116 (1): 122-3. PMID 933273.
- ↑ Winters, JC.; Fuselier, HA. (Dec 1992). "Invasive bladder cancer following 125iodine implants.". J Urol 148 (6): 1898-900. PMID 1433634.
- ↑ Huguet, J. (Oct 2012). "[Prostatic involvement by urothelial carcinoma in patients with bladder cancer and their implications in the clinical practice].". Actas Urol Esp 36 (9): 545-53. doi:10.1016/j.acuro.2012.02.005. PMID 22520044.
- ↑ 4.0 4.1 Liedberg, F.; Chebil, G.; Månsson, W. (Mar 2007). "Urothelial carcinoma in the prostatic urethra and prostate: current controversies.". Expert Rev Anticancer Ther 7 (3): 383-90. doi:10.1586/14737140.7.3.383. PMID 17338657.
- ↑ Ichihara, K.; Masumori, N.; Kitamura, H.; Hasegawa, T.; Tsukamoto, T. (Dec 2012). "Clinical outcomes of urothelial carcinoma of the prostate detected in radical cystectomy specimens.". Int J Clin Oncol. doi:10.1007/s10147-012-0508-3. PMID 23250619.