Difference between revisions of "Urothelial carcinoma of the urethra"

From Libre Pathology
Jump to navigation Jump to search
Line 4: Line 4:


==General==
==General==
*May arise secondary to radiation for [[prostate cancer]].<ref name=pmid933273>{{Cite journal  | last1 = Novicki | first1 = DE. | last2 = Gehring | first2 = GG. | title = Urethral carcinoma after radiation therapy for mixed prostatic carcinoma. | journal = J Urol | volume = 116 | issue = 1 | pages = 122-3 | month = Jul | year = 1976 | doi =  | PMID = 933273 }}</ref>
*May arise secondary to radiotherapy for [[prostate cancer]].<ref name=pmid933273>{{Cite journal  | last1 = Novicki | first1 = DE. | last2 = Gehring | first2 = GG. | title = Urethral carcinoma after radiation therapy for mixed prostatic carcinoma. | journal = J Urol | volume = 116 | issue = 1 | pages = 122-3 | month = Jul | year = 1976 | doi =  | PMID = 933273 }}</ref>
*Spreads from the [[urinary bladder]] usually - common.<ref name=pmid22520044>{{Cite journal  | last1 = Huguet | first1 = J. | title = [Prostatic involvement by urothelial carcinoma in patients with bladder cancer and their implications in the clinical practice]. | journal = Actas Urol Esp | volume = 36 | issue = 9 | pages = 545-53 | month = Oct | year = 2012 | doi = 10.1016/j.acuro.2012.02.005 | PMID = 22520044 }}</ref>
*Spreads from the [[urinary bladder]] usually - common.<ref name=pmid22520044>{{Cite journal  | last1 = Huguet | first1 = J. | title = [Prostatic involvement by urothelial carcinoma in patients with bladder cancer and their implications in the clinical practice]. | journal = Actas Urol Esp | volume = 36 | issue = 9 | pages = 545-53 | month = Oct | year = 2012 | doi = 10.1016/j.acuro.2012.02.005 | PMID = 22520044 }}</ref>
*Identified by endoscopic loop biopsy<ref name=pmid17338657>{{Cite journal  | last1 = Liedberg | first1 = F. | last2 = Chebil | first2 = G. | last3 = Månsson | first3 = W. | title = Urothelial carcinoma in the prostatic urethra and prostate: current controversies. | journal = Expert Rev Anticancer Ther | volume = 7 | issue = 3 | pages = 383-90 | month = Mar | year = 2007 | doi = 10.1586/14737140.7.3.383 | PMID = 17338657 }}</ref> or [[TURP]].
*Identified by endoscopic loop biopsy<ref name=pmid17338657>{{Cite journal  | last1 = Liedberg | first1 = F. | last2 = Chebil | first2 = G. | last3 = Månsson | first3 = W. | title = Urothelial carcinoma in the prostatic urethra and prostate: current controversies. | journal = Expert Rev Anticancer Ther | volume = 7 | issue = 3 | pages = 383-90 | month = Mar | year = 2007 | doi = 10.1586/14737140.7.3.383 | PMID = 17338657 }}</ref> or [[TURP]].

Revision as of 22:01, 16 February 2016

Urothelial carcinoma of the urethra is uncommon. It may be primary, i.e. arises in the urethra, or secondary (spreads from the bladder or upper genitourinary tract).

Prostatic urothelial carcinoma and urothelial carcinoma of the prostate gland redirect here.

General

Treatment:[3]

  • Cystoprostatectomy - stromal invasion or extensive intraductal involvement.
  • Endoscopic resection and BCG - limited extent without stromal invasion.

Clinical DDx:

  • Benign urethral stricture.

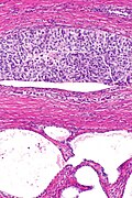
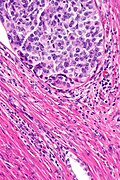
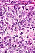
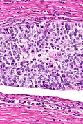
Microscopic

Features:

  • Divided into tumours with:
    1. Stromal invasion.
    2. Without stromal invasion.

Notes:

  • Stromal involvement common ~ 75% of cases.[4]

DDx:

Images

Sign out

PROSTATE TISSUE, TRANSURETHRAL RESECTION:
- HIGH-GRADE UROTHELIAL CARCINOMA WITH FOCAL STROMAL INVASION, AND EXTENSIVE
  INTRADUCTAL SPREAD IN FRAGMENTS WITH BENIGN PROSTATIC GLANDS.

See also

References

  1. Novicki, DE.; Gehring, GG. (Jul 1976). "Urethral carcinoma after radiation therapy for mixed prostatic carcinoma.". J Urol 116 (1): 122-3. PMID 933273.
  2. Huguet, J. (Oct 2012). "[Prostatic involvement by urothelial carcinoma in patients with bladder cancer and their implications in the clinical practice].". Actas Urol Esp 36 (9): 545-53. doi:10.1016/j.acuro.2012.02.005. PMID 22520044.
  3. 3.0 3.1 Liedberg, F.; Chebil, G.; Månsson, W. (Mar 2007). "Urothelial carcinoma in the prostatic urethra and prostate: current controversies.". Expert Rev Anticancer Ther 7 (3): 383-90. doi:10.1586/14737140.7.3.383. PMID 17338657.
  4. Ichihara, K.; Masumori, N.; Kitamura, H.; Hasegawa, T.; Tsukamoto, T. (Dec 2012). "Clinical outcomes of urothelial carcinoma of the prostate detected in radical cystectomy specimens.". Int J Clin Oncol. doi:10.1007/s10147-012-0508-3. PMID 23250619.