Difference between revisions of "Urothelial dysplasia"

From Libre Pathology
Jump to navigation Jump to search
Line 98: Line 98:




*Morphology is considered the gold standard for UCIS versus urothelial dysplasia;{{fact}} however, there is a small literature on IHC for dysplasia versus UCIS.<ref name=pmid19690775>{{Cite journal  | last1 = Stepan | first1 = A. | last2 = Mărgăritescu | first2 = C. | last3 = Simionescu | first3 = C. | last4 = Ciurea | first4 = R. | title = E-cadherin and p63 immunoexpression in dysplastic lesions and urothelial carcinomas of the bladder. | journal = Rom J Morphol Embryol | volume = 50 | issue = 3 | pages = 461-5 | month =  | year = 2009 | doi =  | PMID = 19690775 }}</ref><ref>{{Cite journal | last1 = Raheem| first1 = Sayad A.| last2 = Saied | first2 = Abdel N. | last3 = Al Shaer | first3 =  Rabee | last4 =  Mustafa | first4 = Osama | last5 = Ali | first5 = Ali H.  | title = The Role of CK20, p53 and p63 in Differentiation of Some Urothelial Lesions of Urinary Bladder, Immunohistochemical Study  | journal = [http://www.scirp.org/journal/ojpathology Open Journal of Pathology] | volume = | issue = 4| pages = 181-193 | month = | year = 2014 | doi = 10.4236/ojpathology.2014.44024 | PMID = | PMC = | url = }}</ref> It is published in lesser known journals but suggests:
*Morphology is considered the gold standard for UCIS versus urothelial dysplasia;{{fact}} however, there is a small literature on IHC for dysplasia versus UCIS that is published in lesser known journals and suggests:<ref name=pmid19690775>{{Cite journal  | last1 = Stepan | first1 = A. | last2 = Mărgăritescu | first2 = C. | last3 = Simionescu | first3 = C. | last4 = Ciurea | first4 = R. | title = E-cadherin and p63 immunoexpression in dysplastic lesions and urothelial carcinomas of the bladder. | journal = Rom J Morphol Embryol | volume = 50 | issue = 3 | pages = 461-5 | month =  | year = 2009 | doi =  | PMID = 19690775 }}</ref><ref>{{Cite journal | last1 = Raheem| first1 = Sayad A.| last2 = Saied | first2 = Abdel N. | last3 = Al Shaer | first3 =  Rabee | last4 =  Mustafa | first4 = Osama | last5 = Ali | first5 = Ali H.  | title = The Role of CK20, p53 and p63 in Differentiation of Some Urothelial Lesions of Urinary Bladder, Immunohistochemical Study  | journal = [http://www.scirp.org/journal/ojpathology Open Journal of Pathology] | volume = | issue = 4| pages = 181-193 | month = | year = 2014 | doi = 10.4236/ojpathology.2014.44024 | PMID = | PMC = | url = }}</ref>
*p63 -ve at surface in dysplasia.
*p63 -ve at surface in dysplasia.
**p63 +ve at surface in UCIS
**p63 +ve at surface in UCIS

Revision as of 12:14, 18 May 2016

Urothelial dysplasia
Diagnosis in short

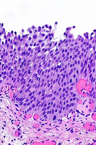
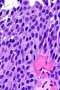
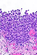
Urothelial dysplasia. H&E stain.

Synonyms low-grade urothelial dysplasia

LM mild nuclear enlargement (~3x a resting lymphocyte) and hyperchromasia, mild disorganization of the architecture (some maturation), occasional mitotic figures - none atypical
LM DDx reactive changes, urothelial atypia of unknown significance, urothelial carcinoma in situ
IHC CK20 +ve/-ve (esp. non-umbrella cells), Ki-67 +ve/-ve (>10%), p53 +ve/-ve (>20%)
Site urothelium (renal pelvis, urinary bladder, ureters, urethra)

Prevalence common
Prognosis pre-malignant

Urothelial dysplasia, also low-grade (urothelial) dysplasia, is a lesion of the urothelium in the ISUP/WHO 2004 classification.[1]

It is precursor lesion to urothelial carcinoma that is less worrisome than urothelial carcinoma in situ (also known as high-grade (urothelial) dysplasia).

General

The ISUP/WHO classification of flat urothelial lesions is:[1]

  • Reactive urothelial atypia.
  • Flat urothelial hyperplasia.
  • Urothelial atypia of unknown significance.
  • Urothelial dysplasia (low-grade dysplasia).
  • Urothelial carcinoma in situ (high-grade dysplasia).
  • Invasive urothelial carcinoma.

Microscopic

Features:[2]

  • Mild nuclear enlargement (~3x a resting lymphocyte) and hyperchromasia.
  • Slight disorganization of the architecture.
    • Some maturation to the surface - important.
  • Mitotic figures - occasional, none atypical.

Notes:

  • It is probably not a good idea to make this diagnosis without immunohistochemistry.
  • This diagnosis not made on frozen section.

DDx:

Images

www:

IHC

A comparison between benign, dysplasia and UCIS:[4]

Diagnosis CK20 Ki-67 p53
Benign (reactive) umbrella cells +ve only -ve <=10% of cells (+/-rare basal cells) -ve <20% of cells (+/-weak staining)
Urothelial dysplasia +ve non-umbrella cells +ve (~30% of cases) +ve >10% of cells (~40% of cases) +ve >=20% of cells (~70% of cases)
Urothelial carcinoma in situ (UCIS +ve non-umbrella cells (~70% of cases) +ve >10% of cells (~95% of cases) +ve >=20% of cells (~80% of cases)


  • Morphology is considered the gold standard for UCIS versus urothelial dysplasia;[citation needed] however, there is a small literature on IHC for dysplasia versus UCIS that is published in lesser known journals and suggests:[5][6]
  • p63 -ve at surface in dysplasia.
    • p63 +ve at surface in UCIS

Sign out

A. RIGHT URETER (MARGIN), EXCISION: 
- UROTHELIAL DYSPLASIA, SEE COMMENT.
- NEGATIVE FOR UROTHELIAL CARCINOMA.

COMMENT:
There is focal non-umbrella cell CK20 staining, 10% (focal) urothelial 
p53 staining, and 30% (focal) urothelial Ki-67 staining. The findings 
are that of (low-grade) urothelial dysplasia.

See also

References

  1. 1.0 1.1 Hodges, KB.; Lopez-Beltran, A.; Davidson, DD.; Montironi, R.; Cheng, L. (Feb 2010). "Urothelial dysplasia and other flat lesions of the urinary bladder: clinicopathologic and molecular features.". Hum Pathol 41 (2): 155-62. doi:10.1016/j.humpath.2009.07.002. PMID 19762067.
  2. URL: http://pathology.jhu.edu/bladder/image1.cfm?case_number=10&image_number=1. Accessed on: 31 December 2013.
  3. McKenney, JK.; Gomez, JA.; Desai, S.; Lee, MW.; Amin, MB. (Mar 2001). "Morphologic expressions of urothelial carcinoma in situ: a detailed evaluation of its histologic patterns with emphasis on carcinoma in situ with microinvasion.". Am J Surg Pathol 25 (3): 356-62. PMID 11224606.
  4. Mallofré, C.; Castillo, M.; Morente, V.; Solé, M. (Mar 2003). "Immunohistochemical expression of CK20, p53, and Ki-67 as objective markers of urothelial dysplasia.". Mod Pathol 16 (3): 187-91. doi:10.1097/01.MP.0000056628.38714.5D. PMID 12640096.
  5. Stepan, A.; Mărgăritescu, C.; Simionescu, C.; Ciurea, R. (2009). "E-cadherin and p63 immunoexpression in dysplastic lesions and urothelial carcinomas of the bladder.". Rom J Morphol Embryol 50 (3): 461-5. PMID 19690775.
  6. Raheem, Sayad A.; Saied, Abdel N.; Al Shaer, Rabee; Mustafa, Osama; Ali, Ali H. (2014). "The Role of CK20, p53 and p63 in Differentiation of Some Urothelial Lesions of Urinary Bladder, Immunohistochemical Study". Open Journal of Pathology (4): 181-193. doi:10.4236/ojpathology.2014.44024.