Female adnexal tumour of probable Wolffian origin

From Libre Pathology
Revision as of 00:05, 28 November 2013 by Michael (talk | contribs)
Jump to navigation Jump to search
Female adnexal tumour of probable Wolffian origin
Diagnosis in short

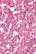
FATWO. H&E stain.
IHC vimentin +ve, AE1/AE3 +ve, CAM5.2 +ve, AR +ve (~80% of cases)
Site adnexa (ovary)

Prevalence very rare
Prognosis usu. benign

Female adnexal tumour of probable Wolffian origin, abbreviated FATWO, is a rare usually benign tumour.

It is also known as Wolffian adnexal tumour, abbreviated WAT.

General

  • Super rare.[1]
  • Usually benign.
    • May be malignant.[2]

Gross

Adnexal location - as the name suggests:[3]

  • Broad ligament of ovary.
  • Mesosalpinx.
  • Ovarian hilus - less common.

Microscopic

Features:[3]

  • Variable architecture:
    • Tubular or glandular.
    • Solid - spindle cells.
    • Multicystic.

DDx:

Images

IHC

Features:[3]

  • Vimentin +ve.
  • AE1/AE3 +ve.
  • CAM5.2 +ve.
  • CK7 +ve -- focal, sometimes -ve.
  • AR +ve ~80% of cases.
  • Inhibin +ve ~70% of cases.

Others:[3]

  • CK20 -ve.
  • mCEA -ve.

See also

References

  1. Tianmin, X.; Weiqim, C.; Mianhua, C.; Xiaocui, L.; Hongwen, G.; Min, Y. (2012). "Tumor of the mesosalpinx: case report of a female adnexal tumor of probable Wolffian origin.". Eur J Gynaecol Oncol 33 (2): 233-5. PMID 22611973.
  2. Heller, DS.; Kadire, B.; Cracchiolo, B.. "Malignant female adnexal tumor of probable Wolffian origin: a case report.". J Reprod Med 56 (3-4): 175-7. PMID 21542539.
  3. 3.0 3.1 3.2 3.3 Devouassoux-Shisheboran, M.; Silver, SA.; Tavassoli, FA. (Jul 1999). "Wolffian adnexal tumor, so-called female adnexal tumor of probable Wolffian origin (FATWO): immunohistochemical evidence in support of a Wolffian origin.". Hum Pathol 30 (7): 856-63. PMID 10414506.