Acinic cell carcinoma
Jump to navigation
Jump to search
| Acinic cell carcinoma | |
|---|---|
| Diagnosis in short | |
|
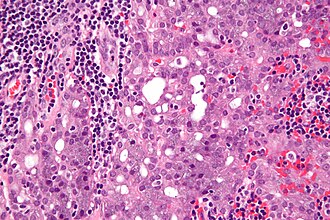
Acinic cell carcinoma. H&E stain. | |
|
| |
| LM | "acinic cells" (abundant finely vacuolated cytoplasm with basophilic granules, small nuclei with stippled chromatin), scattered "intercalcated duct type cells" (eosinophilic cytoplasm with moderate amount of cytoplasm and bland nuclei), +/-peri-tumoural lymphocytes, +/-glassy extracellular bluish/purple blobs |
| Subtypes | oncocytic variant, clear cell variant, papillary cystic variant |
| LM DDx | oncocytoma of the salivary gland, mucoepidermoid carcinoma, adenocarcinoma NOS, mammary analogue secretory carcinoma |
| Stains | PAS +ve, PASD +ve |
| IHC | p63 -ve, S-100 -ve |
| EM | zymogen granules |
| Gross | tan or reddish |
| Site | salivary gland - usu. parotid gland |
|
| |
| Signs | salivary gland mass |
| Prevalence | uncommon |
| Prognosis | good |
Acinic cell carcinoma, abbreviated AcCC, is a rare type of salivary gland cancer. It is also known as acinic cell adenocarcinoma.
It should not to be confused with pancreatic acinar cell carcinoma.
General
- Malignant neoplasm of salivary gland arising from acinic cells.
- The relative prevalence of the neoplasm in the various salivary gland reflects the abundance of acinic cells: parotid gland (~80%) > minor salivary glands (~17%) > submandibular glands (~3%).
- Affects wide age range -- including children.
- Site affect prognosis (most aggressive to least aggressive): submandibular > parotid > minor salivary.
- Good prognosis - in one large cohort:[1]
- ~97% five year survival.
- ~93% 10 year survival.
Gross
- Tan or reddish.
Microscopic
Features:
- Sheets of acinic cells with:
- Abundant finely vacuolated cytoplasm with basophilic granules - key feature.
- Granules may be focal.
- Small nuclei stippled chromatin.
- Abundant finely vacuolated cytoplasm with basophilic granules - key feature.
- Scattered intercalcated duct type cells with:
- Eosinophilic cytoplasm with moderate amount of cytoplasm.
- Bland nuclei with slightly larger than seen in acinic cells.
- +/-Peri-tumoural lymphocytes.
- +/-Glassy extracellular bluish/purple blobs.
Notes:
- Adipose tissue -- present in the salivary glands -- is absent in AcCC.
- May focally resemble thyroid tissue.
- Smaller (characteristic) microvacuoles (unreported in the literature) may be present that have a bubbly appearance and glassy basophilic inclusions.[2]
Memory device:
- AcCC - lots of "C"s - chromatin stipled, cytoplasm generous.
DDx:
- Oncocytoma of the salivary gland.
- Adenocarcinoma not otherwise specified.[3]
- Mammary analogue secretory carcinoma.[4]
Images
www:
- AcCC (surgicalpathologyatlas.com).
- AcCC (brown.edu).
- AcCC (aciniccell.org) - image collection.
Grading
General:
- Not prognostic.
- Done to avoid phone calls from clinician.
Factors Weinreb uses:[2]
- Necrosis.
- Nuclear atypia.
- Perineural invasion.
- Mitoses.
- Infiltrative margin.
- Tumour sclerosis.
Subtypes
- Oncocytic variant - rare.
- Clear cell variant - rare.
- Papillary cystic variant.
Stains
- PAS +ve.
- PAS-D +ve.
IHC
- S-100 -ve.
- p63 -ve.
- p63 +ve in mucoepidermoid carcinoma.
There are a bunch of other stains that are touted to be useful (amylase, anti-chymotrypsin, lactoferrin). Weinreb thinks these are not helpful.[2]
EM
See also
References
- ↑ Patel, NR.; Sanghvi, S.; Khan, MN.; Husain, Q.; Baredes, S.; Eloy, JA. (Jan 2014). "Demographic trends and disease-specific survival in salivary acinic cell carcinoma: an analysis of 1129 cases.". Laryngoscope 124 (1): 172-8. doi:10.1002/lary.24231. PMID 23754708.
- ↑ 2.0 2.1 2.2 IW. 11 January 2011.
- ↑ Ihrler, S.; Blasenbreu-Vogt, S.; Sendelhofert, A.; Lang, S.; Zietz, C.; Löhrs, U. (2002). "Differential diagnosis of salivary acinic cell carcinoma and adenocarcinoma (NOS). A comparison of (immuno-)histochemical markers.". Pathol Res Pract 198 (12): 777-83. PMID 12608654.
- ↑ Lei, Y.; Chiosea, SI. (Jun 2012). "Re-evaluating historic cohort of salivary acinic cell carcinoma with new diagnostic tools.". Head Neck Pathol 6 (2): 166-70. doi:10.1007/s12105-011-0312-9. PMID 22127547.
- ↑ Sun, Y.; Wasserman, PG. (Feb 2004). "Acinar cell carcinoma arising in the stomach: a case report with literature review.". Hum Pathol 35 (2): 263-5. PMID 14991547.