Spironolactone bodies

From Libre Pathology
Revision as of 01:54, 23 August 2014 by Michael (talk | contribs) (→‎See also)
Jump to navigation Jump to search

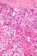
Spironolactone bodies are seen in the cortex of the adrenal gland in the context of long-term spironolcatone use.

General

Etiology:

  • Long-term use of spironolactone.

Note:

  • Spironolactone is a commonly used anti-hypertensive medication.[1]

Microscopic

Features:[2]

  • Location: zona glomerulosa (where aldosterone is produced).
  • Appearance: eosinophilic spherical laminated whorls.

Images

See also

References

  1. Patel, KA.; Calomeni, EP.; Nadasdy, T.; Zynger, DL. (Aug 2014). "Adrenal gland inclusions in patients treated with aldosterone antagonists (Spironolactone/Eplerenone): incidence, morphology, and ultrastructural findings.". Diagn Pathol 9 (1): 147. doi:10.1186/1746-1596-9-147. PMID 25108298.
  2. Kovacs K, Horvath E, Singer W (December 1973). "Fine structure and morphogenesis of spironolactone bodies in the zona glomerulosa of the human adrenal cortex". J. Clin. Pathol. 26 (12): 949-57. PMC 477936. PMID 4131694. http://jcp.bmj.com/cgi/pmidlookup?view=long&pmid=4131694.