Cautery artifact
Jump to navigation
Jump to search
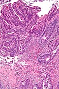
Cautery artefact. H&E stain.
Cautery artifact, also cautery/crush artifact and crush artifact, may mimic disease. It usually represents the surgical margin.
Microscopic
Features:
- Elongated thin toothpick-like nuclei.
DDx:
- Dysplasia - adenomatous polyps
- Electrocution.
Images
Surgical margin with cautery - low mag. (WC/Nephron)
Surgical margin with cautery - intermed. mag. (WC/Nephron)
Surgical margin with cautery - high mag. (WC/Nephron)
www:
IHC
- Ki-67 - absent/minimal staining.
- Stains adenomatous polyps.[1]
Sign out
DESCENDING COLON, BIOPSY: - COLONIC MUCOSA WITH EXTENSIVE CAUTERY/CRUSH ARTIFACT -- LIMITING INTERPRETATION. - NO APPARENT DYSPLASIA.
POLYP, RECTUM, BIOPSY: - POLYPOID FRAGMENT OF RECTAL MUCOSA WITH CAUTERY/CRUSH ARTIFACT, INDEFINITE FOR DYSPLASIA. COMMENT: Levels were cut. A Ki-67 stain shows focal superficial staining; however, the surface is missing.
TISSUE ("BLADDER TUMOUR, DEEP"), BIOPSY:
- BENIGN SUBEPITHELIAL TISSUE.
- SCANT UROTHELIUM WITH CRUSH/CAUTERY ARTIFACT -- LIMITING INTERPRETATION.
- NO EVIDENCE OF MALIGNANCY.
See also
References
- ↑ Groisman, GM.; Amar, M.; Meir, A. (Jul 2007). "Utility of MIB-1 (Ki-67) in evaluating diminutive colorectal polyps with cautery artifact.". Arch Pathol Lab Med 131 (7): 1089-93. doi:10.1043/1543-2165(2007)131[1089:UOMKIE]2.0.CO;2. PMID 17616996.