Ablated endometrium

From Libre Pathology
Revision as of 02:11, 11 April 2015 by Michael (talk | contribs) (→‎See also)
(diff) ← Older revision | Latest revision (diff) | Newer revision → (diff)
Jump to navigation Jump to search
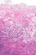
Ablated endometrium
Diagnosis in short

Ablated_endometrium. H&E stain.

LM endometrium completely or partially replaced by hyaline material and fibrosis
LM DDx implantation site
Site endometrium

Associated Dx endometriosis (in hysterectomy specimens)
Clinical history history of ablation, dysfunctional uterine bleeding
Symptoms none
Prevalence common
Prognosis benign
Treatment none

Ablated endometrium, also endometrium post-ablation procedure, is endometrium that has been destroyed to render it nonfunctional.

Endometrial ablation is done to treat menorrhagia and metromenorrhagia in women that are done with their childbearing.

General

  • Alternative to hysterectomy.
  • Thermal injury - delivered via balloon.
  • High prevalence of endometriosis in individuals with hysterectomy post-ablation procedure.[1]

Notes:

  • NovaSure is a commonly used ablation system.[2]

Microscopic

Features:

  • Endometrium completely or partially replaced by:
    • Hyaline material, fibrosis.

DDx:

Images

Sign out

UTERUS, UTERINE CERVIX, TOTAL HYSTERECTOMY:
- SUPERFICIAL FIBROSIS AND HYALINE CHANGE OF THE UTERINE LINING -- COMPATIBLE
  WITH PRIOR ABLATION.
- UTERUS WITH LEIOMYOMAS.
- UTERINE CERVIX WITHIN NORMAL LIMITS.

See also

References

  1. Riley, KA.; Davies, MF.; Harkins, GJ.. "Characteristics of patients undergoing hysterectomy for failed endometrial ablation.". JSLS 17 (4): 503-7. doi:10.4293/108680813X13693422520602. PMID 24398189.
  2. Gimpelson, RJ. (2014). "Ten-year literature review of global endometrial ablation with the NovaSure® device.". Int J Womens Health 6: 269-280. doi:10.2147/IJWH.S56364. PMID 24648771.