Uterine carcinosarcoma
Jump to navigation
Jump to search
| Uterine carcinosarcoma | |
|---|---|
| Diagnosis in short | |
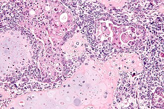
|
Carcinosarcoma. H&E stain. | |
|
| |
| LM | biphasic tumour: (1) malignant epithelial component (carcinoma), (2) mesenchymal differentiation ("sarcoma") |
| LM DDx | undifferentiated endometrial sarcoma, adenosarcoma of the uterus, endometrial carcinomas |
| Site | uterus - see uterine tumours |
|
| |
| Clinical history | +/-previous radiation exposure |
| Prevalence | uncommon |
| Prognosis | poor |
Uterine carcinosarcoma, also known as malignant mixed muellerian tumour (abbreviated MMMT), is an uncommon malignant uterine tumour.
General
- Associated with previous radiation exposure.
- Typically metstasize as carcinoma.[1]
- Aggressive/poor prognosis;[2] in one series 5 year survival ~= 30-35%.[3]
- Considered to be a poorly differentiated endometrial carcinoma with metaplastic changes.[4]
- Case reports of MMMT in ovary and fallopian tube.
Microscopic
Features:[5]
- Biphasic tumour:
- Malignant glandular component (adenocarcinoma).
- Malignant stromal component (one of the following):
- Homologous type (tissue native to uterus):
- Smooth muscle (leiomyosarcoma).
- Fibrous tissue (fibrosarcoma).
- Heterologous type (tissue not native to the uterus):
- Skeletal muscle (rhabdomyosarcoma).
- Cartilage (chondrosarcoma).
- Bone (osteosarcoma).
- Undifferentiated sarcoma (pleomorphic undifferentiated sarcoma).
- Homologous type (tissue native to uterus):
DDx:
Images
www:
See also
References
- ↑ Lopez-Garcia, MA.; Palacios, J. (Nov 2010). "Pathologic and molecular features of uterine carcinosarcomas.". Semin Diagn Pathol 27 (4): 274-86. PMID 21309261.
- ↑ Ivy, JJ.; Unger, JB.. "Malignant mixed mullerian sarcomas of the uterus--the LSUHSC Shreveport experience.". J La State Med Soc 156 (6): 324-6. PMID 15688674.
- ↑ Callister, M.; Ramondetta, LM.; Jhingran, A.; Burke, TW.; Eifel, PJ. (Mar 2004). "Malignant mixed Müllerian tumors of the uterus: analysis of patterns of failure, prognostic factors, and treatment outcome.". Int J Radiat Oncol Biol Phys 58 (3): 786-96. doi:10.1016/S0360-3016(03)01561-X. PMID 14967435.
- ↑ D'Angelo, E.; Prat, J. (Jan 2010). "Uterine sarcomas: a review.". Gynecol Oncol 116 (1): 131-9. doi:10.1016/j.ygyno.2009.09.023. PMID 19853898.
- ↑ Humphrey, Peter A; Dehner, Louis P; Pfeifer, John D (2008). The Washington Manual of Surgical Pathology (1st ed.). Lippincott Williams & Wilkins. pp. 428. ISBN 978-0781765275.