Renal angiomyoadenomatous tumour
Jump to navigation
Jump to search
| Renal angiomyoadenomatous tumour | |
|---|---|
| Diagnosis in short | |
|
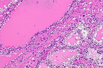
Renal cell carcinoma with clear cells and leiomyomatous bands. H&E stain. | |
|
| |
| Synonyms | renal cell carcinoma with angioleiomyoma-like stroma, renal cell carcinoma associated with prominent angioleiomyoma-like proliferation |
|
| |
| LM | leiomyomatous capsule of variable thickness, tubular structures with (1) apical snouts, and (2) clear cells with basal nuclei and mild nuclear atypia |
| LM DDx | clear cell renal cell carcinoma, papillary renal cell carcinoma, (epithelioid) angiomyolipoma, mixed epithelial and stromal tumour, tuberous sclerosis-associated renal cell carcinoma |
| IHC | CK7 +ve, CK20 +ve, CAM5.2 +ve |
| Gross | tan-brown mass +/-cystic component |
| Grossing notes | partial nephrectomy grossing, total nephrectomy for tumour grossing |
| Site | kidney - see kidney tumours |
|
| |
| Associated Dx | possibly related to clear cell papillary renal cell carcinoma - the WHO lumps this entity with it |
| Prevalence | extremely rare |
| Prognosis | good |
Renal angiomyoadenomatous tumour, abbreviated RAT, is an uncommon kidney tumour not recognized by the WHO classification of renal neoplasia.
The Vancouver modification of the WHO classification[1] lumps it with clear cell papillary renal cell carcinoma (also known as clear cell tubulopapillary renal cell carcinoma).
Synonyms are renal cell carcinoma with angioleiomyoma-like stroma and renal cell carcinoma associated with prominent angioleiomyoma-like proliferation.[2]
It may be one and the same with TCEB1-mutated renal cell carcinoma.
General
- May be on a spectrum with clear cell papillary renal cell carcinoma.[1][3]
Clincal:
- Typical age (years): 50s.[4]
- Age range: 40-93 years.
Gross
Features:[4]
- Tan-brown renal mass +/-cystic component.
Microscopic
- Leiomyomatous capsule of variable thickness - key feature.
- Tubular structures with:
- Apical snouts.
- Clear cells with basal nuclei and mild nuclear atypia.
- Clear cell papillary renal cell carcinoma - considered to be the same entity by WHO classification (see above).
- Clear cell renal cell carcinoma.
- Papillary renal cell carcinoma.
- Angiomyolipoma.
- Mixed epithelial and stromal tumour of the kidney.
- Tuberous sclerosis-associated renal cell carcinoma - may have a RAT-like morphology.[7]
Images
IHC
Features:[5]
- CK7 +ve.
- CK20 +ve.
- CAM5.2 +ve.
- AE1/AE3 +ve.
Molecular
- Possibly TCEB1 mutation - see TCEB1-mutated renal cell carcinoma.
See also
References
- ↑ 1.0 1.1 Srigley, JR.; Delahunt, B.; Eble, JN.; Egevad, L.; Epstein, JI.; Grignon, D.; Hes, O.; Moch, H. et al. (Oct 2013). "The International Society of Urological Pathology (ISUP) Vancouver Classification of Renal Neoplasia.". Am J Surg Pathol 37 (10): 1469-89. doi:10.1097/PAS.0b013e318299f2d1. PMID 24025519.
- ↑ Williamson, SR.; Cheng, L.; Eble, JN.; True, LD.; Gupta, NS.; Wang, M.; Zhang, S.; Grignon, DJ. (Feb 2015). "Renal cell carcinoma with angioleiomyoma-like stroma: clinicopathological, immunohistochemical, and molecular features supporting classification as a distinct entity.". Mod Pathol 28 (2): 279-94. doi:10.1038/modpathol.2014.105. PMID 25189644.
- ↑ Petersson, F.; Grossmann, P.; Hora, M.; Sperga, M.; Montiel, DP.; Martinek, P.; Gutierrez, ME.; Bulimbasic, S. et al. (Jul 2013). "Renal cell carcinoma with areas mimicking renal angiomyoadenomatous tumor/clear cell papillary renal cell carcinoma.". Hum Pathol 44 (7): 1412-20. doi:10.1016/j.humpath.2012.11.019. PMID 23434146.
- ↑ 4.0 4.1 4.2 4.3 Singh, C.; Kendi, AT.; Manivel, JC.; Pambuccian, SE. (Dec 2012). "Renal angiomyoadenomatous tumor.". Ann Diagn Pathol 16 (6): 470-6. doi:10.1016/j.anndiagpath.2012.01.006. PMID 22534244.
- ↑ 5.0 5.1 Michal, M.; Hes, O.; Nemcova, J.; Sima, R.; Kuroda, N.; Bulimbasic, S.; Franco, M.; Sakaida, N. et al. (Jan 2009). "Renal angiomyoadenomatous tumor: morphologic, immunohistochemical, and molecular genetic study of a distinct entity.". Virchows Arch 454 (1): 89-99. doi:10.1007/s00428-008-0697-3. PMID 19020896.
- ↑ Petersson, F.; Branzovsky, J.; Martinek, P.; Korabecna, M.; Kruslin, B.; Hora, M.; Peckova, K.; Bauleth, K. et al. (Jul 2014). "The leiomyomatous stroma in renal cell carcinomas is polyclonal and not part of the neoplastic process.". Virchows Arch 465 (1): 89-96. doi:10.1007/s00428-014-1591-9. PMID 24838683.
- ↑ Guo, J.; Tretiakova, MS.; Troxell, ML.; Osunkoya, AO.; Fadare, O.; Sangoi, AR.; Shen, SS.; Lopez-Beltran, A. et al. (Nov 2014). "Tuberous Sclerosis-associated Renal Cell Carcinoma: A Clinicopathologic Study of 57 Separate Carcinomas in 18 Patients.". Am J Surg Pathol 38 (11): 1457-67. doi:10.1097/PAS.0000000000000248. PMID 25093518.