Adenosarcoma of the uterus

From Libre Pathology
Revision as of 19:16, 21 September 2015 by Michael (talk | contribs)
(diff) ← Older revision | Latest revision (diff) | Newer revision → (diff)
Jump to navigation Jump to search
Adenosarcoma of the uterus
Diagnosis in short

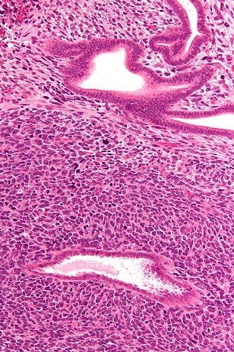
Uterine adenosarcoma. H&E stain.

LM "Malignant stroma" (stromal with nuclear pleomorphism - typically low grade), benign glands with an abnormal shape and "cambium layer" (increased cellularity around the epithelial elements)
LM DDx benign endometrial polyp, uterine adenofibroma, endometrial stromal sarcoma
IHC CD10 +ve, ER +ve, PR +ve
Site uterus - see uterine tumours

Clinical history large age range
Signs vaginal bleeding, mass lesion
Prevalence uncommon
Clin. DDx other causes of AUB
Treatment TAH-BSO

Adenosarcoma of the uterus is an uncommon tumour that arises from the uterus with benign glands and malignant mesenchymal elements.

General

Features:[1]

  • Uncommon.
  • May prolapse through cervical os and thus present as cervical polyp.
  • Most commonly uterine corpus, occasionally cervix and ovary, rarely in the vagina, fallopian tube, peritoneal surfaces, intestine.
  • Large age range[2] - may be premenopausal or postmenopausal.

Clinical:[3]

  • Most common presentations of Müllerian adenosarcoma (percentages based on series of 41 individuals[2]):
    • Vaginal bleeding ~ 70%.
    • Pelvic mass ~ 40%.
    • Uterine polyp ~ 30%.
  • Prognosis (based on series of ~500 individuals[4]):
    • Favourable outcome - most detected at an early stage.
      • ~80% five year survival for stage I tumours.
    • Outcome better than carcinosarcoma.

Treatment:

  • TAH-BSO.
    • Tumours are estrogen responsive.
  • Chemotherapy (platin-based).[2]

Microscopic

Features:[5][1]

  • "Malignant stroma" - key feature.
    • Stromal nuclear pleomorphism - usually low grade.
    • WHO criteria: 2+ mitoses / 10 HPF -- definition suffers from HPFitis.
      • Mitotic rate criteria often ignored as mitotically inactive tumours metastasize.[1]
  • Benign glands with an abnormal shape.
  • "Cambium layer" = increased cellularity around the epithelial elements.[1][6]

Notes:

DDx:

Images

IHC

  • CD10 +ve.[1]
  • ER +ve.
  • PR +ve.

See also

References

  1. 1.0 1.1 1.2 1.3 1.4 1.5 McCluggage, WG. (Mar 2010). "Mullerian adenosarcoma of the female genital tract.". Adv Anat Pathol 17 (2): 122-9. doi:10.1097/PAP.0b013e3181cfe732. PMID 20179434.
  2. 2.0 2.1 2.2 Verschraegen, CF.; Vasuratna, A.; Edwards, C.; Freedman, R.; Kudelka, AP.; Tornos, C.; Kavanagh, JJ.. "Clinicopathologic analysis of mullerian adenosarcoma: the M.D. Anderson Cancer Center experience.". Oncol Rep 5 (4): 939-44. PMID 9625851.
  3. Abu, J.; Ireland, D.; Brown, L. (Apr 2007). "Adenosarcoma of an endometrial polyp in a 27-year-old nulligravida: a case report.". J Reprod Med 52 (4): 326-8. PMID 17506376.
  4. Arend, R.; Bagaria, M.; Lewin, SN.; Sun, X.; Deutsch, I.; Burke, WM.; Herzog, TJ.; Wright, JD. (Nov 2010). "Long-term outcome and natural history of uterine adenosarcomas.". Gynecol Oncol 119 (2): 305-8. doi:10.1016/j.ygyno.2010.07.001. PMID 20688363.
  5. Cotran, Ramzi S.; Kumar, Vinay; Fausto, Nelson; Nelso Fausto; Robbins, Stanley L.; Abbas, Abul K. (2005). Robbins and Cotran pathologic basis of disease (7th ed.). St. Louis, Mo: Elsevier Saunders. pp. 1089. ISBN 0-7216-0187-1.
  6. 6.0 6.1 URL: http://www.medilexicon.com/medicaldictionary.php?t=48297. Accessed on: 9 August 2011.