Clear cell carcinoma of the vagina

From Libre Pathology
Revision as of 06:36, 30 December 2015 by Michael (talk | contribs)
(diff) ← Older revision | Latest revision (diff) | Newer revision → (diff)
Jump to navigation Jump to search

Clear cell carcinoma of the vagina is a very rare epithelial malignancy of the vagina.[1]

General

Microscopic

See clear cell carcinoma of the uterine cervix.

Images

Case

www

Sign out

VAGINAL VAULT, BIOPSY:
- CLEAR CELL CARCINOMA, SEE COMMENT.

COMMENT:
The tumour stains as follows:
POSITIVE: CK7, CAM5.2, PAS.
NEGATIVE: ER, PR, p53, p16, WT-1, PASD.
PROLIFERATION: ~60%.

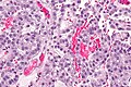
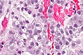
Micro

The sections show a tumour with a papillary cystic architecture that is composed of moderately atypical monomorphic cells with moderate pale grey cytoplasm. Focal cytoplasmic clearing is present. Hobnailing is present focally. The nucleoli are not prominent.

See also

References

  1. 1.0 1.1 Ansari, DO.; Horowitz, IR.; Katzenstein, HM.; Durham, MM.; Esiashvili, N. (Jul 2012). "Successful treatment of an adolescent with locally advanced cervicovaginal clear cell adenocarcinoma using definitive chemotherapy and radiotherapy.". J Pediatr Hematol Oncol 34 (5): e174-6. doi:10.1097/MPH.0b013e318257dc91. PMID 22713709.