Multifocal micronodular pneumocyte hyperplasia associated with tuberous sclerosis
Jump to navigation
Jump to search
| Multifocal micronodular pneumocyte hyperplasia associated with tuberous sclerosis | |
|---|---|
| Diagnosis in short | |
|
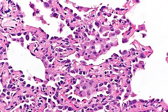
Micronodule of pneumocyte hyperplasia in multifocal micronodular pneumocyte hyperplasia associated with tuberous sclerosis. H&E stain. | |
| LM DDx | atypical adenomatous hyperplasia of the lung |
| IHC | cytokeratin +ve, surfactant apoproteins (A & B) +ve, HMB-45 -ve |
| Site | lung |
|
| |
| Associated Dx | lymphangioleiomyomatosis - also assoc. with tuberous sclerosis |
| Syndromes | tuberous sclerosis |
|
| |
| Prevalence | rare |
| Radiology | ground-glass nodules |
| Prognosis | benign |
| Clin. DDx | multifocal AAH |
Multifocal micronodular pneumocyte hyperplasia associated with tuberous sclerosis, also multifocal micronodular pneumocyte hyperplasia in tuberous sclerosis, is the presence of a rare relatively distinctive hamartomatous lesion of the lung in multiple foci in a person with tuberous sclerosis.[1]
General
- Rare.
- May mimic multifocal atypical adenomatous hyperplasia on radiology.[2]
Clinical:
- May have recurrent pneumothorax.[3]
Gross
Features:[2]
- Multiple small lung nodules.
- Random distribution.
- Up to 5 mm in size.
Radiology:
- May have an emphysema-like picture due to the obstruction of lymphatics and alveolar ducts from mass effect.[3]
- Nodules have ground-glass appearance on CT.[2]
Microscopic
Features:
- Macrophages within the air spaces.
- Enlarged alveolar lining cells with:
- Hobnail morphology - free (luminal) surface area > attached/basal surface area.
- Round or oval nuclei.
DDx:
- Atypical adenomatous hyperplasia of the lung - usu. do not have macrophages within the air spaces.
Images
IHC
Features:[2]
- Cytokeratin +ve.
- Surfactant apoprotein A +ve.
- Surfactant apoprotein B +ve.
Others:[2]
- HMB-45 -ve.
- SMA (alpha) -ve.
- p53 -ve.
See also
References
- ↑ Nagar, AM.; Teh, HS.; Khoo, RN.; Morani, AC.; Vrishni, K.; Raghuram, J. (Feb 2008). "Multifocal pneumocyte hyperplasia in tuberous sclerosis.". Thorax 63 (2): 186. doi:10.1136/thx.2006.076604. PMID 18234663.
- ↑ 2.0 2.1 2.2 2.3 2.4 Kobashi, Y.; Sugiu, T.; Mouri, K.; Irei, T.; Nakata, M.; Oka, M. (Jun 2008). "Multifocal micronodular pneumocyte hyperplasia associated with tuberous sclerosis: differentiation from multiple atypical adenomatous hyperplasia.". Jpn J Clin Oncol 38 (6): 451-4. doi:10.1093/jjco/hyn042. PMID 18535095.
- ↑ 3.0 3.1 Popper, HH.; Juettner-Smolle, FM.; Pongratz, MG. (Apr 1991). "Micronodular hyperplasia of type II pneumocytes--a new lung lesion associated with tuberous sclerosis.". Histopathology 18 (4): 347-54. PMID 2071093.