Juvenile polyp
| Juvenile polyp | |
|---|---|
| Diagnosis in short | |
|
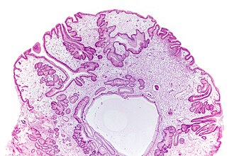
Juvenile polyp (stomach). H&E stain. | |
|
| |
| LM |
eroded, smooth or lobulated surface, pedunculated, increased lamina propria (LP) +/- edema, cystically dilated gland, +/-inflammation |
| LM DDx | inflammatory polyp, hyperplastic polyp of the stomach, Cronkhite-Canada syndrome |
| Site | gastrointestinal tract polyps |
|
| |
| Syndromes | Juvenile polyposis syndrome |
|
| |
| Prevalence | uncommon |
| Prognosis | benign itself; multiple = marker of increased risk of malignancy |
| Clin. DDx | other GI polyps |
Juvenile polyp, abbreviated JP, is a type of hamartomatousgastrointestinal polyp.
In adults, it is known as a retention polyp.
General
- Uncommon.
May be part of a syndrome:
- Juvenile polyposis syndrome (JPS) - see JPS article for criteria.
- Cronkhite-Canada syndrome.
- Cowden syndrome.
Gross
- Mushroom-like shape.
Microscopic
- Eroded, smooth or lobulated surface.
- Pedunculated.
- Increased lamina propria (LP) +/- edema.
- Cystically dilated gland.
- Often inflammed.
Mnemonic DIES = dilated glands, increased LP & inflammation of the LP, eroded/smooth surface, stalk.
Notes:
- May have nuclear changes like those seen in adenomatous polyps.
DDx:
- Inflammatory polyp.
- Hyperplastic polyp of the stomach - less lamina propria, foveolar hyperplasia (long tortuous glands).
- Cronkhite-Canada syndrome - have changes in the surrounding mucosa, clinical findings (nail atrophy, skin pigment, alopecia).
Images
www:
IHC
- Usually none.
Notes:
- IHC can be used if it is suspected to have dysplasia (p53, Ki-67).
- p53 mutations in dysplastic epithelium -- negative stain (normal).
Sign out
Polyp, Sigmoid Colon, Polypectomy: - Juvenile polyp/retention polyp.
Block letters
RECTOSIGMOID POLYP, BIOPSY: - RETENTION POLYP.
See also
References
- ↑ Cotran, Ramzi S.; Kumar, Vinay; Fausto, Nelson; Nelso Fausto; Robbins, Stanley L.; Abbas, Abul K. (2005). Robbins and Cotran pathologic basis of disease (7th ed.). St. Louis, Mo: Elsevier Saunders. pp. 859. ISBN 0-7216-0187-1.
- ↑ Bronner, MP. (Apr 2003). "Gastrointestinal inherited polyposis syndromes.". Mod Pathol 16 (4): 359-65. doi:10.1097/01.MP.0000062992.54036.E4. PMID 12692201. http://www.nature.com/modpathol/journal/v16/n4/full/3880773a.html.