Angiodysplasia
Jump to navigation
Jump to search
| Angiodysplasia | |
|---|---|
| Diagnosis in short | |
|
Compatible with angiodysplasia. H&E stain. | |
|
| |
| LM | dilated vessels in mucosa and submucosa |
| LM DDx | prominent vessels |
| Clinical history | older individuals |
| Signs | bleeding from rectum |
| Endoscopy | red lesion - typically right colon or cecum |
| Clin. DDx | Other causes of lower GI bleed |
Angiodysplasia is a benign pathology of the large bowel.
General
- Clinical diagnosis.
- Cause of (lower) GI haemorrhage.
- Generally, not a problem pathologists see.
- May be associated with aortic stenosis; known as Heyde syndrome.[1]
Epidemiology:
- Older people.
Etiology:
- Thought to be caused by the higher wall tension of cecum (due to larger diameter) and result from (intermittent) venous occlusion/focal dilation of vessels.[2]
Gross
- Cecum - classic location.
Note:
- Crohn's disease - may mimic angiodysplasia radiographically.[3]
Images
Angiodysplasia - endoscopy. (WC/Grover)
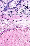
Microscopic
Features:[3]
- Dilated blood vessels in the mucosa and submucosa.
DDx:
- Crohn's disease - may be associated increase vascularity.
Images
AD - extremely low mag.
AD - low mag.
See also
References
- ↑ Hui YT, Lam WM, Fong NM, Yuen PK, Lam JT (August 2009). "Heyde's syndrome: diagnosis and management by the novel single-balloon enteroscopy". Hong Kong Med J 15 (4): 301–3. PMID 19652242. http://www.hkmj.org/abstracts/v15n4/301.htm.
- ↑ Cotran, Ramzi S.; Kumar, Vinay; Fausto, Nelson; Nelso Fausto; Robbins, Stanley L.; Abbas, Abul K. (2005). Robbins and Cotran pathologic basis of disease (7th ed.). St. Louis, Mo: Elsevier Saunders. pp. 854. ISBN 0-7216-0187-1.
- ↑ 3.0 3.1 Hemingway, AP. (Apr 1988). "Angiodysplasia: current concepts.". Postgrad Med J 64 (750): 259-63. PMID 3054852.