Tubulocystic carcinoma of the kidney
| Tubulocystic carcinoma of the kidney | |
|---|---|
| Diagnosis in short | |
|
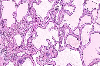
Tubulocystic renal cell carcinoma. H&E stain. | |
|
| |
| Synonyms | low-grade collecting duct carcinoma, tubulocystic renal cell carcinoma |
|
| |
| LM | cysts of variable size lined by a single layer of epithelium that has a cuboidal, flat, or hobnail morphology, eosinophilic cytoplasm, large nuclei with prominent nucleoli, +/-fibrotic stroma |
| LM DDx | papillary renal cell carcinoma - especially oncocytic variant, renal oncocytoma, cystic nephroma/mixed epithelial and stromal tumour, multilocular cystic renal cell carcinoma |
| IHC | CD10 +ve, RCC +ve, vimentin +ve, AMACR +ve |
| Gross | multicystic lesion (bubble wrap-like appearance) |
| Grossing notes | total nephrectomy for tumour grossing, partial nephrectomy grossing |
| Staging | kidney cancer staging |
| Site | kidney |
|
| |
| Clinical history | typically male |
| Prevalence | very rare |
| Prognosis | good |
Tubulocystic carcinoma of the kidney, abbreviated TCCK, is a very rare kidney tumour.
In the Vancouver modification of the WHO classification of renal neoplasia, it is refered to as tubulocystic renal cell carcinoma (abbreviated TC-RCC).[1]
It is also known as low-grade collecting duct carcinoma.[2]
It should not be confused with collecting duct carcinoma, a very aggressive renal tumour.
General
- Rare <1% - in a series of 615 cases.
- Males:Females ~ 7:1.[2]
- Prognosis - probably favourable.[2]
- Thought to be related to papillary renal cell carcinoma.[3]
Gross
Microscopic
Features:.[2]
- Cysts of variable size lined by a single layer of epithelium that has a:
- Cuboidal, flat, or hobnail morphology.
- Eosinophilic cytoplasm.
- Large nuclei with prominent nucleoli.
- +/-Fibrotic stroma.
DDx:
- Papillary renal cell carcinoma (oncocytic variant).
- Hereditary leiomyomatosis renal cell carcinoma syndrome associated renal cell carcinoma.
- Renal oncocytoma.
- Cystic nephroma/Mixed epithelial and stromal tumour.
- Multilocular cystic renal neoplasm of low malignant potential (multilocular cystic renal cell carcinoma).
Images
Case 1
Case 2
www
IHC
Features:[6]
Notes:
- IHC profile essentially that of PaRCC.[citation needed]
See also
References
- ↑ Srigley, JR.; Delahunt, B.; Eble, JN.; Egevad, L.; Epstein, JI.; Grignon, D.; Hes, O.; Moch, H. et al. (Oct 2013). "The International Society of Urological Pathology (ISUP) Vancouver Classification of Renal Neoplasia.". Am J Surg Pathol 37 (10): 1469-89. doi:10.1097/PAS.0b013e318299f2d1. PMID 24025519.
- ↑ 2.0 2.1 2.2 2.3 2.4 Amin, MB.; MacLennan, GT.; Gupta, R.; Grignon, D.; Paraf, F.; Vieillefond, A.; Paner, GP.; Stovsky, M. et al. (Mar 2009). "Tubulocystic carcinoma of the kidney: clinicopathologic analysis of 31 cases of a distinctive rare subtype of renal cell carcinoma.". Am J Surg Pathol 33 (3): 384-92. doi:10.1097/PAS.0b013e3181872d3f. PMID 19011562.
- ↑ Zhou, M.; Yang, XJ.; Lopez, JI.; Shah, RB.; Hes, O.; Shen, SS.; Li, R.; Yang, Y. et al. (Dec 2009). "Renal tubulocystic carcinoma is closely related to papillary renal cell carcinoma: implications for pathologic classification.". Am J Surg Pathol 33 (12): 1840-9. doi:10.1097/PAS.0b013e3181be22d1. PMID 19898225.
- ↑ Azoulay, S.; Vieillefond, A.; Paraf, F.; Pasquier, D.; Cussenot, O.; Callard, P.; Sibony, M. (Nov 2007). "Tubulocystic carcinoma of the kidney: a new entity among renal tumors.". Virchows Arch 451 (5): 905-9. doi:10.1007/s00428-007-0483-7. PMID 17786473.
- ↑ Srigley, JR.; Delahunt, B. (Jun 2009). "Uncommon and recently described renal carcinomas.". Mod Pathol 22 Suppl 2: S2-S23. doi:10.1038/modpathol.2009.70. PMID 19494850.
- ↑ Alexiev, BA.; Drachenberg, CB. (May 2013). "Tubulocystic carcinoma of the kidney: a histologic, immunohistochemical, and ultrastructural study.". Virchows Arch 462 (5): 575-81. doi:10.1007/s00428-013-1398-0. PMID 23525677.
- ↑ Zhang, SH.; Shi, SF.; Huang, SF.; Zhang, YN.; Zheng, YY.; Chen, GY. (Aug 2012). "[Clinical and pathologic features of tubulocystic carcinoma of kidney].". Zhonghua Bing Li Xue Za Zhi 41 (8): 543-6. PMID 23157747.