Nodular lymphocyte-predominant Hodgkin lymphoma

From Libre Pathology
Revision as of 16:20, 23 June 2018 by Mark (talk | contribs) (transfer from Hodgkin lymphoma page)
(diff) ← Older revision | Latest revision (diff) | Newer revision → (diff)
Jump to navigation Jump to search
Nodular lymphocyte-predominant Hodgkin lymphoma
Diagnosis in short

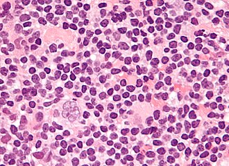
Popcorn cell in nodular lymphocyte-predominant Hodgkin lymphoma

LM Popcorn cells (relatively) small (compared to classic RSCs) - have lobulated nucleus (key feature), small nucleoli; subtle nodularity at low power
Subtypes none
LM DDx

diffuse large B cell lymphoma (esp. T-cell/histiocytic-rich LBCL), anaplastic large cell lymphoma,

B-cell lymphoma, unclassifiable, with features intermediate between diffuse large B-cell lymphoma and classical Hodgkin lymphoma, classical Hodgkin lymphoma
IHC LCA (CD45) +ve, CD20 +ve, CD10 +ve, Bcl-6 +ve, EMA +ve, CD30 -ve, CD15 -ve
Site usu. lymph node

Signs lymphadenopathy
Prevalence uncommon
Prognosis good
  • AKA lympho-histiocytic variant.
  • Abbreviated NLPHL.
  • Different IHC and morphologic appearance than classic HL.
  • Significant risk for transformation into diffuse large B cell lymphoma (DLBCL); 10-year cumulative transformation rate (to DLBCL) in one study was 12%.[1]

Microscopy

Features (nodular lymphocyte-predominant Hodgkin's lymphoma):

  • Popcorn cell (previously known as Lymphocytic & histiocytic cell (L&H cell)[2]) - variant of RSC:
    • Cells (relatively) small (compared to classic RSCs).
    • Lobulated nucleus - key feature.
    • Small nucleoli.
  • Subtle nodularity at low power (2.5x or 5x objective).

IHC

Abbreviated panel:[3]

  • CD30 Reed-Sternberg cells (RSCs) +ve ~98%
  • CD15 Reed-Sternberg cells +ve ~80%, stains neutrophils.
  • CD45 often negative in RSCs.
  • CD20 may stain RSCs.
  • PAX5 +ve.[4]

Additional - for completeness:

  • CD3 (T lymphocytes)

NLPHL IHC differs from the classical HL:[4]

  • LCA +ve.
  • CD20 +ve.
  • CD10 +ve.
  • Bcl-6 +ve.
  • EMA +ve.
  • CD30 -ve
  • CD15 -ve.

A panel

Antibody NLPHL CHL
CD45 +ve -ve
CD20 +ve -ve
BCL6
MUM1[5] -ve
CD30 -ve +ve (most sensitive).
CD15 -ve +ve
CD21 networks present no networks
CD23 networks present no networks
OCT-2 +ve -ve
PAX5 +ve +ve (proves B cell linage)
CD3 usu. < benign B cell usu. > benign B cell component
CD57 rosettes around malign. cells -
EBER -ve +ve/-ve
EMA +ve/-ve -ve
4 unstained


Images (NLPHL)

www:

  1. Biasoli I, Stamatoullas A, Meignin V, et al. (February 2010). "Nodular, lymphocyte-predominant Hodgkin lymphoma: a long-term study and analysis of transformation to diffuse large B-cell lymphoma in a cohort of 164 patients from the Adult Lymphoma Study Group". Cancer 116 (3): 631–9. doi:10.1002/cncr.24819. PMID 20029973.
  2. Küppers R, Rajewsky K, Braeuninger A, Hansmann ML (March 1998). "L&H cells in lymphocyte-predominant Hodgkin's disease". N. Engl. J. Med. 338 (11): 763–4; author reply 764–5. doi:10.1056/NEJM199803123381113. PMID 9499174.
  3. Humphrey, Peter A; Dehner, Louis P; Pfeifer, John D (2008). The Washington Manual of Surgical Pathology (1st ed.). Lippincott Williams & Wilkins. pp. 568. ISBN 978-0781765275.
  4. 4.0 4.1 Lefkowitch, Jay H. (2006). Anatomic Pathology Board Review (1st ed.). Saunders. pp. 683. ISBN 978-1416025887.
  5. URL: http://www.ncbi.nlm.nih.gov/omim/601900. Accessed on: 10 August 2010.