Small bowel pseudomelanosis

From Libre Pathology
Revision as of 01:40, 15 July 2019 by Michael (talk | contribs) (create)
(diff) ← Older revision | Latest revision (diff) | Newer revision → (diff)
Jump to navigation Jump to search
Small bowel pseudomelanosis
Diagnosis in short

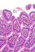
Small bowel pseudomelanosis. H&E stain.

Synonyms pseudomelanosis duodeni (for duodenum)

LM dark pigment in the lamina propria macrophages
Stains iron stain +ve
Site small bowel, stomach

Associated Dx iron deficiency anemia, end-stage renal disease, hypertension
Clinical history iron supplementation
Prevalence rare
Endoscopy +/-dark spots
Prognosis benign

Small bowel pseudomelanosis is benign change of the small bowel that mimics melanin deposition.

In the duodenum it is known as pseudomelanosis duodeni.

Pseudomelanosis is described in the stomach, duodenum and jejunum.[1]

General

  • Rare and benign.[2]
  • Consists of iron and lipofuscin.[3]

Associations in a series of 17 individuals:[4]

Note:

Gross/endoscopic

  • Dark spots ~35% of cases.[4]

Microscopic

Features:

  • Dark pigment in the lamina propria macrophages.

Images

Case 1

Case 2

www

Stains

  • Prussian blue +ve ~80% of cases.[4]

Sign out

Small bowel

A. Stomach, Partial Excision as Part of a Sleeve Gastrectomy:
- Stomach wall within normal limits.

B. Small Bowel Wall, Partial Excision as Part of a Sleeve Gastrectomy: 
- Small bowel wall with iron containing macrophages in the mucosa,
  known as "pseudomelanosis", see comment.
- NEGATIVE for active inflammation.
- NEGATIVE for dysplasia and NEGATIVE for malignancy.

Comment:
Pseudomelanosis may be seen in the context of iron supplementation, hypertension 
or chronic renal failure. 

The macrophages are positive with an iron stain. 

Duodenum

Duodenum, Biopsy:
- Small bowel mucosa with pseudomelanosis, otherwise within 
  normal limits, see comment.

Comment:
Pseudomelanosis of the duodenum (pseudomelanosis duodeni) may be seen in the context of iron supplementation, hypertension or chronic renal failure. Endoscopically, it may manifest as dark spots.

The pigmented cells are POSITIVE with an iron stain, NEGATIVE with a PAS stain and NEGATIVE with a Fontana-Masson stain; these findings are in keeping pseudomelanosis duodeni.

See also

References

  1. Rustagi, T.; Mansoor, MS.; Gibson, JA.; Kapadia, CR. (Feb 2015). "Pseudomelanosis of stomach, duodenum, and jejunum.". J Clin Gastroenterol 49 (2): 124-6. doi:10.1097/MCG.0000000000000081. PMID 24492404.
  2. de Magalhães Costa, MH.; Fernandes Pegado, Mda G.; Vargas, C.; Castro, ME.; Madi, K.; Nunes, T.; Zaltman, C. (Mar 2012). "Pseudomelanosis duodeni associated with chronic renal failure.". World J Gastroenterol 18 (12): 1414-6. doi:10.3748/wjg.v18.i12.1414. PMID 22493558.
  3. Lin, HJ.; Tsay, SH.; Chiang, H.; Tsai, YT.; Lee, SD.; Yeh, YS.; Lo, GH. (Apr 1988). "Pseudomelanosis duodeni. Case report and review of literature.". J Clin Gastroenterol 10 (2): 155-9. PMID 2458404.
  4. 4.0 4.1 4.2 Giusto, D.; Jakate, S. (Feb 2008). "Pseudomelanosis duodeni: associated with multiple clinical conditions and unpredictable iron stainability - a case series.". Endoscopy 40 (2): 165-7. doi:10.1055/s-2007-995472. PMID 18253910.