Castleman disease

From Libre Pathology
Revision as of 17:22, 25 March 2021 by Michael (talk | contribs) (vauthors -> authors)
(diff) ← Older revision | Latest revision (diff) | Newer revision → (diff)
Jump to navigation Jump to search
Castleman disease
Diagnosis in short

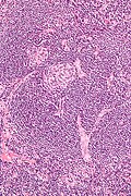
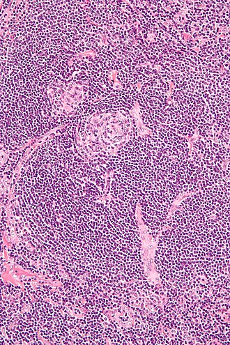
Castleman disease (hyaline-vascular variant). H&E stain.
Subtypes hyaline-vascular variant (HVV), plasma cell variant (PCV)
LM DDx HVV: mantle cell lymphoma
IHC HVV: cyclin D1 -ve, other stains to exclude lymphoma; PCV: HHV-8 +ve
Site lymph node - see lymph node pathology

Prevalence rare

Castleman disease, abbreviated CD, is a rare pathology of the lymph node.

It is also known as angiofollicular lymph node hyperplasia and giant lymph node hyperplasia.[1]

General

  • Benign.
  • Hyaline vascular variant (classic Castleman disease) - a pathology of the follicular dendritic cells.[2]

Classification

By site of involvement:

  • Unicentric (one lymph node or a cluster of nodes at one site)
    • ~75% hyaline vascular variant
    • ~25% Plasma cell variant
  • Multicentric often associated with splenomegaly (75%) and hepatomegaly (50%)
    • >90% plasma cell variant
    • <10% hyaline vascular variant

CD is grouped by histologic appearance:[3]

  1. Hyaline vascular (HV) variant (described by Castleman).
  2. Plasma cell (PC) variant.
    • Usually multicentric, may be unicentric.
    • Abundant plasma cells.
    • 50-60% associated with HHV-8 infection (the same virus implicated in Kaposi's sarcoma). The virus produces an IL-6 analogue which drives many of the systemic features.

Some divide the multicentric pattern into

  1. POEMS-associated CD
  2. HHV8+ CD
    • HIV+
    • HIV-
  3. HHV8- CD, further sub-divided into
    • TAFRO syndrome associated
  4. Others

Notes:

  • The subclassification of CD is in some flux. Some authors advocate splitting-out HHV-8 and multicentric as separate subtypes.[5]

Microscopic

Hyaline-vascular variant

Features:[6][7][8]

  • Pale concentric (expanded) mantle zone lymphocytes - key feature.
    • "Regressed follicles" - germinal center (pale area) is small.
  • "Lollipops":
    • Germinal centers fed by prominent (radially penetrating sclerotic) vessels; lollipop-like appearance.
  • Two germinal centers in one follicle, so called "twinning".
  • Hyaline material (pink acellular stuff on H&E) in germinal center.
  • Sinuses effaced (lost).
  • Mitoses absent.

Images

www:

Plasma cell variant

Features:[7]

  • Interfollicular sheets of plasma cells - key feature.
  • Active germinal centers - mitoses present.
  • Sinus preserved.
  • In HHV8-negative cases, several other conditions can give a Castleman-like appearance, listed comprehensively in the consensus criteria for HHV8-negative CD:

[9]

    • Autoimmune diseases
    • Infections
    • Malignancies

IHC

Hyaline-vascular variant:

Plasma cell variant:

  • HHV-8 +ve.

See also

References

  1. URL: http://www.mayoclinic.com/health/castleman-disease/DS01000. Accessed on: 17 June 2010.
  2. Cokelaere, K.; Debiec-Rychter, M.; De Wolf-Peeters, C.; Hagemeijer, A.; Sciot, R. (May 2002). "Hyaline vascular Castleman's disease with HMGIC rearrangement in follicular dendritic cells: molecular evidence of mesenchymal tumorigenesis.". Am J Surg Pathol 26 (5): 662-9. PMID 11979097.
  3. Ioachim, Harry L; Medeiros, L. Jeffrey (2008). Ioachim's Lymph Node Pathology (4th ed.). Lippincott Williams & Wilkins. pp. 228. ISBN 978-0781775960.
  4. Humphrey, Peter A; Dehner, Louis P; Pfeifer, John D (2008). The Washington Manual of Surgical Pathology (1st ed.). Lippincott Williams & Wilkins. pp. 596. ISBN 978-0781765275.
  5. Cronin, DM.; Warnke, RA. (Jul 2009). "Castleman disease: an update on classification and the spectrum of associated lesions.". Adv Anat Pathol 16 (4): 236-46. doi:10.1097/PAP.0b013e3181a9d4d3. PMID 19546611.
  6. URL: http://www.ispub.com/journal/the_internet_journal_of_otorhinolaryngology/volume_9_number_2_11/article/a_rare_case_of_castleman_s_disease_presenting_as_cervical_neck_mass.html. Accessed on: 15 June 2010.
  7. 7.0 7.1 Ioachim, Harry L; Medeiros, L. Jeffrey (2008). Ioachim's Lymph Node Pathology (4th ed.). Lippincott Williams & Wilkins. pp. 236. ISBN 978-0781775960.
  8. Yu L, Tu M, Cortes J, Xu-Monette ZY, Miranda RN, Zhang J, Orlowski RZ, Neelapu S, Boddu PC, Akosile MA, Uldrick TS, Yarchoan R, Medeiros LJ, Li Y, Fajgenbaum DC, Young KH (March 2017). "Clinical and pathological characteristics of HIV- and HHV-8-negative Castleman disease". Blood 129 (12): 1658–1668. doi:10.1182/blood-2016-11-748855. PMC 5364343. PMID 28100459. https://www.ncbi.nlm.nih.gov/pmc/articles/PMC5364343/.
  9. Fajgenbaum DC, Uldrick TS, Bagg A, Frank D, Wu D, Srkalovic G, Simpson D, Liu AY, Menke D, Chandrakasan S, Lechowicz MJ, Wong RS, Pierson S, Paessler M, Rossi JF, Ide M, Ruth J, Croglio M, Suarez A, Krymskaya V, Chadburn A, Colleoni G, Nasta S, Jayanthan R, Nabel CS, Casper C, Dispenzieri A, Fosså A, Kelleher D, Kurzrock R, Voorhees P, Dogan A, Yoshizaki K, van Rhee F, Oksenhendler E, Jaffe ES, Elenitoba-Johnson KS, Lim MS (March 2017). "International, evidence-based consensus diagnostic criteria for HHV-8-negative/idiopathic multicentric Castleman disease". Blood 129 (12): 1646–1657. doi:10.1182/blood-2016-10-746933. PMC 5364342. PMID 28087540. https://www.ncbi.nlm.nih.gov/pmc/articles/PMC5364342/.