Columnar cell change of the breast

From Libre Pathology
Revision as of 21:08, 26 November 2021 by Michael (talk | contribs)
(diff) ← Older revision | Latest revision (diff) | Newer revision → (diff)
Jump to navigation Jump to search
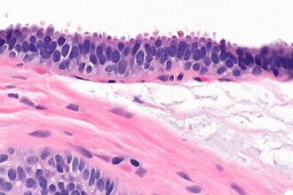
Columnar cell change of the breast - very high magnification. H&E stain. (WC/Nephron)

Columnar cell change of the breast, usually columnar cell change (abbreviated CCC), is a benign finding in breast pathology.

It is also known as blunt duct adenosis.

General

Microscopic

Features:

  • Secretory cells (line gland lumen) have columnar morphology.
  • May have "apical snouts".
    • Blebs or round balls eosinophilic material appear to be adjacent to the cell at their luminal surface.
    • The snouts are attached to the cell-- appear as round ball only in the plane of section.
  • Cytoplasm +/-eosinophilia.
  • Often (purple) luminal calcifications.

DDx:

  • Flat epithelial atypia (>2 cell layers).[citation needed]
    • If the columnar cells shows low to intermediate grade atypia the process is termed "flat epithelial atypia"
    • If higher grade atypia is present the lesion is termed "flat DCIS" (clinging carcinoma).

Images

www=

Sign out

  • Usually not reported.

See also

References

  1. Jara-Lazaro, AR.; Tse, GM.; Tan, PH. (Jan 2009). "Columnar cell lesions of the breast: an update and significance on core biopsy.". Pathology 41 (1): 18-27. doi:10.1080/00313020802563486. PMID 19089736.