Neurofibroma
| Neurofibroma | |
|---|---|
| Diagnosis in short | |
|
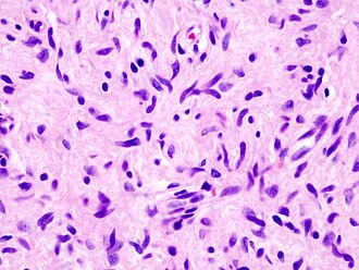
Neurofibroma. H&E stain. | |
|
| |
| LM | spindle cells with wavy nuclei without pleomorphism, +/-arranged in fascicles and intermixed with (wire-like) collagen ("shredded carrots"), moderately increased cellularity, poorly or well-circumscribed, +/-plexiform growth pattern ("bag of worms"), +/-mast cells (useful) |
| Subtypes | plexiform neurofibroma |
| LM DDx | schwannoma, dermatofibrosarcoma protuberans, ganglioneuroma, neurotized melanocytic nevus, MPNST |
| Stains | S-100 +ve, CD34 +ve, EMA +ve/-ve, NF +ve/-ve |
| Gross | "bag of worms" appearance (plexiform neurofibroma) |
| Site | soft tissue - peripheral nerve sheath tumours |
|
| |
| Syndromes | neurofibromatosis type 1 |
|
| |
| Symptoms | painful skin lesion |
| Prevalence | not common |
| Prognosis | benign |
Neurofibroma is an uncommon skin lesion in the peripheral nerve sheath tumour grouping. This article also includes plexiform neurofibroma.
General
- May be a part of neurofibromatosis 1 (NF1).
- A painful skin lesion.
- Composed of Schwann cells, axons, fibrous material.[1]
Classification:[2]
- Localized - sporadic.
- Diffuse - usually poorly defined, young adults and children; sporadic.
- Plexiform - associated with NF1.
Gross/radiologic
Gross features (plexiform NF):[2]
- "Bag of worms" appearance.
Radiologic:[2]
- Fusiform mass.
Microscopic
Features:
- Spindle cells with wavy nuclei without pleomorphism - key feature.
- Intermixed with wire-like collagen.
- Often no pattern is apparent.
- Often described as "shredded carrots".[3]
- Moderate increase of cellularity vis-a-vis normal dermis.
- May be poorly or well-circumscribed.
- +/-Plexiform growth pattern - "bag of worms".[1]
- Multiple well-circumscribed nests.
- Mast cells[4] - one has to look for them at high power.
- Very useful for confirming the low power suspicion.
DDx:
- Plexiform neurofibroma.
- Schwannoma - calretinin +ve, CD34 mostly -ve.[5]
- Dermatofibrosarcoma protuberans (DFSP) - S-100 -ve.
- Ganglioneuroma.
- Neurotized melanocytic nevus - melanocyte nests make the diagnosis, otherwise immunostains are needed to differentiate.[6]
- Usually have more mast cells than neurofibromas.[7]
Images
Neurofibroma - intermed. mag. (WC)
- Plexiform neurofibroma -1.jpg
Plexiform Neurofibroma (WC/Netha Hussain)
www:
- Plexiform neurofibroma (rsna.org).
- Plexiform neurofibroma (rsna.org).
- Plexiform neurofibroma - several images (upmc.edu).
- Neurofibroma - S-100 (eyewiki.aao.org).
IHC
Features:[8]
- S100 +ve -- wavy pattern.[9]
- CD34 +ve.
- Glut1 +ve.
- EMA +ve/-ve.
- NF +ve/-ve.[9]
- MART-1 -ve.[9]
- Positive in neurotized melanocytic nevi.
Sign out
FOURTH TOE, LEFT, EXCISION: - NEUROFIBROMA.
Micro
The sections show skin with a lesion composed of irregular-shaped groups of bland dermal spindle cells with wavy nuclei and pale-eosinophilic cytoplasm. Mast cells are seen scattered throughout the lesion. Thick collagen separates the clusters of the spindle cells. There is no nuclear atypia. Mitotic activity is not appreciated. No melanocytic nests are identified.
The overlying epidermis matures to the surface.
Alternate
The sections show skin with an unencapsulated dermal spindle cell lesion with wavy nuclei that have a likeness to shredded carrots. Occasional mast cells are present within the lesion. There is no nuclear atypia. Mitotic activity is not appreciated. No melanocytic nests are identified.
See also
References
- ↑ 1.0 1.1 Wippold, FJ.; Lubner, M.; Perrin, RJ.; Lämmle, M.; Perry, A. (Oct 2007). "Neuropathology for the neuroradiologist: Antoni A and Antoni B tissue patterns.". AJNR Am J Neuroradiol 28 (9): 1633-8. doi:10.3174/ajnr.A0682. PMID 17893219.
- ↑ 2.0 2.1 2.2 Wilkinson, LM.; Manson, D.; Smith, CR. (Oct 2004). "Best cases from the AFIP: plexiform neurofibroma of the bladder.". Radiographics 24 Suppl 1: S237-42. doi:10.1148/rg.24si035170. PMID 15486243.
- ↑ Bernthal, NM.; Jones, KB.; Monument, MJ.; Liu, T.; Viskochil, D.; Randall, RL. (2013). "Lost in translation: ambiguity in nerve sheath tumor nomenclature and its resultant treatment effect.". Cancers (Basel) 5 (2): 519-28. doi:10.3390/cancers5020519. PMID 24216989.
- ↑ Staser, K.; Yang, FC.; Clapp, DW. (Jul 2010). "Mast cells and the neurofibroma microenvironment.". Blood 116 (2): 157-64. doi:10.1182/blood-2009-09-242875. PMID 20233971.
- ↑ URL: http://www.ihcworld.com/_newsletter/2004/2004-10_NF_vs_schwannoma_v1.pdf. Accessed on: 25 November 2013.
- ↑ Gray, MH.; Smoller, BR.; McNutt, NS.; Hsu, A. (Jun 1990). "Neurofibromas and neurotized melanocytic nevi are immunohistochemically distinct neoplasms.". Am J Dermatopathol 12 (3): 234-41. PMID 1693815.
- ↑ Carr, NJ.; Warren, AY. (Jan 1993). "Mast cell numbers in melanocytic naevi and cutaneous neurofibromas.". J Clin Pathol 46 (1): 86-7. PMID 8432898.
- ↑ Hirose T, Tani T, Shimada T, Ishizawa K, Shimada S, Sano T (April 2003). "Immunohistochemical demonstration of EMA/Glut1-positive perineurial cells and CD34-positive fibroblastic cells in peripheral nerve sheath tumors". Mod. Pathol. 16 (4): 293–8. doi:10.1097/01.MP.0000062654.83617.B7. PMID 12692193. http://www.nature.com/modpathol/journal/v16/n4/full/3880761a.html.
- ↑ 9.0 9.1 9.2 Chen, Y.; Klonowski, PW.; Lind, AC.; Lu, D. (Jul 2012). "Differentiating neurotized melanocytic nevi from neurofibromas using Melan-A (MART-1) immunohistochemical stain.". Arch Pathol Lab Med 136 (7): 810-5. doi:10.5858/arpa.2011-0335-OA. PMID 22742554.