Anaplastic large cell lymphoma
(Redirected from ALCL)
Jump to navigation
Jump to search
| Anaplastic large cell lymphoma | |
|---|---|
| Diagnosis in short | |
|
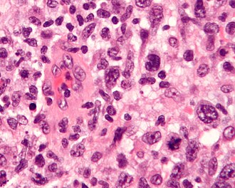
Template:Px Anaplastic large cell lymphoma. H&E stain. | |
|
| |
| LM | large cells with eosinophilic cytoplasm, Hallmark cells ("horseshoe-shaped or donut-shaped nucleus + eosinophilic paranuclear region") |
| LM DDx | Hodgkin's lymphoma, poorly differentiated carcinoma |
| IHC | CD30 +ve, ALK-1 -ve/+ve, CD45 +ve, CD4 +ve, CD3 -ve/+ve, CD7 -ve/+ve, EMA +ve |
| Molecular | t(2,5)(p23;q35) |
| Site | skin, lymph node, other |
|
| |
| Prevalence | uncommon |
| Prognosis | good to poor, dependent on ALK status and site |
Anaplastic large cell lymphoma, abbreviated ALCL, is an uncommon large cell lymphoma.
General
- May look a lot like a carcinoma.
- Often subcapsular in LNs.
- Usually T-cell derived.
- May be isolated to the skin - good prognosis.
Subtypes:
- Systemic ALCL.
- Cutaneous ALCL -- ALK -ve.
ALK IHC - systemic form:
- +ve = good prognosis (generally a disease of children, teenagers and young adults)
- -ve = bad prognosis
Microscopic
Features:
- Large cells with eosinophilic cytoplasm.
- Usually appear cohesive.
- May be subcapsular in a lymph node and mimic a carcinoma.
- Hallmark cells = "horseshoe-shaped or donut-shaped nucleus + eosinophilic paranuclear region"[1][2] - key feature.
- The donut-shaped version is also known as a "wreath cell"[3] - large (multi-nucleated) cells with (morphologically) one toroidal-shaped nucleus.
- ALK+ ALCL includes variants without the classical hallmark cells, e.g. small cell variant and lymphohistiocytic variant
DDx:
- Hodgkin's lymphoma
- Anaplastic variants of other haematolymphoid malignancies, e.g. DLBCL or myeloma
- Carcinoma
- Melanoma
Images
- Anaplastic large cell lymphoma - high mag.jpg
ALCL - high mag. (WC)
- Anaplastic large cell lymphoma - very high mag.jpg
ALCL - very high mag. (WC)
- Anaplastic large cell lymphoma - cropped - very high mag.jpg
ALCL - cropped - very high mag. (WC)
www:
IHC
Features:
- CD30 +ve (usually strong and diffuse)
- ALK-1 -ve/+ve; strongly supports ALCL Dx if +ve.
- CD45 +ve.
- CD4 +ve.
- CD3 -ve/+ve.
- CD7 -ve/+ve.
- EMA +ve.
- Cytotoxic markers (e.g. TIA, perforin)
Molecular
- In ALK+ ALCL, there is commonly an ALK1 rearrangement.
- This may be ALK::NPM1, i.e. t(2,5)(p23;q35)[4] - combined nuclear and cytoplasmic ALK staining is a surrogate for this translocation.
- Other non-NPM1 partners may occur. A ALK1 break-apart probe will detect these.
See also
References
- ↑ Rapkiewicz, A.; Wen, H.; Sen, F.; Das, K. (Dec 2007). "Cytomorphologic examination of anaplastic large cell lymphoma by fine-needle aspiration cytology.". Cancer 111 (6): 499-507. doi:10.1002/cncr.23120. PMID 17941004. http://onlinelibrary.wiley.com/doi/10.1002/cncr.23120/full.
- ↑ Ponzoni, M.; Terreni, MR.; Ciceri, F.; Ferreri, AJ.; Gerevini, S.; Anzalone, N.; Valle, M.; Pizzolito, S. et al. (Nov 2002). "Primary brain CD30+ ALK1+ anaplastic large cell lymphoma ('ALKoma'): the first case with a combination of 'not common' variants.". Ann Oncol 13 (11): 1827-32. PMID 12419758.
- ↑ Amin, HM.; Lai, R. (Oct 2007). "Pathobiology of ALK+ anaplastic large-cell lymphoma.". Blood 110 (7): 2259-67. doi:10.1182/blood-2007-04-060715. PMID 17519389. http://bloodjournal.hematologylibrary.org/content/110/7/2259.full.html.
- ↑ Lamant L, Meggetto F, al Saati T, et al. (January 1996). "High incidence of the t(2;5)(p23;q35) translocation in anaplastic large cell lymphoma and its lack of detection in Hodgkin's disease. Comparison of cytogenetic analysis, reverse transcriptase-polymerase chain reaction, and P-80 immunostaining". Blood 87 (1): 284–91. PMID 8547653.