Vascular malformations
(Redirected from Arteriovenous malformation)
Jump to navigation
Jump to search
Vascular malformations come in different flavours.
Types:[1]
- Arteriovenous malformation.
- Most important clinically - highest risk of bleeding.
- Varix.
- One large (dilated) vein.
- Venous angioma.
- Many small veins.
- Cavernous hemangioma (Cavernoma).
- Vessels are back-to-back (no intervening parenchyma).
- Capillary teleangiectasia
- Small capillaries
Also see: Sturge-Weber syndrome.
Arteriovenous malformation
- Abbreviated AVM.
General
- High risk for bleeding vis-a-vis other vascular malformations.
- May be seen in the context of hereditary hemorrhagic telangiectasia.[2]
Gross
Features:[1]
- Classically wedge-shaped - with base toward superficial aspect and apex toward deep aspect (like pulmonary infarcts).
- Usually middle cerebral artery distribution.
Image:
Clinical DDx:
- Melanocytic lesion.
- Other vascular lesions.
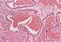
Microscopic
Features:
- Large vessels with eccentric wall thickening.
- "Large" = ~ 0.5 mm (0.25-1.0 mm).
- 0.25 mm = ~ 31 RBC diameters across.
- "Large" = ~ 0.5 mm (0.25-1.0 mm).
Notes:
- There is usually one feeding artery.
- The artery is often not seen.
- Arteries have a well-defined internal elastic lamina and an external elastic lamina (best seen on elastic trichrome).
- Veins do not have an external elastic lamina and have a poorly developed/thin internal elastic lamina.
DDx:
- Angioleiomyoma.
- Other vascular lesions.
Images
www:
Sign out
ANUS, BIOPSY: - ARTERIOVENOUS MALFORMATION (PROMINENT SUPERFICIAL DERMAL ARTERIES AND VEINS). - SKIN WITH PARAKERATOSIS. - NEGATIVE FOR MELANOCYTIC LESION. - NEGATIVE FOR MALIGNANCY.
ANUS, BIOPSY: - SKIN WITH PARAKERATOSIS. - PROMINENT SUPERFICIAL DERMAL ARTERIES AND VEINS -- COMPATIBLE WITH ARTERIOVENOUS MALFORMATION. - NEGATIVE FOR MELANOCYTIC LESION. - NEGATIVE FOR MALIGNANCY.
Cavernous hemangioma
General
- Usually diagnosed by radiology.
- Clinicians call it cavernoma.
Microscopic
Features:
- Vessels back-to-back/little intervening parenchyma.
- Muscle is absent in the vessel walls - key feature.[3]
Images:
Venous angioma
General
- Subcortical white matter.
- Most common vascular malformation found at autopsy.
Gross
- May look like petechial hemorrhages.
Microscopy
- Thin walled, dilated vascular channels.
- Lesions larger than capillary teleangiectasia.
Cherry angioma
General
- Benign.
- Common in the elderly.
Clincal:
- Red spot.
- Polypoid.
Gross
- Red spot - well demarcated.
Image:
Microscopic
Features:[5]
- Superficial polypoid lesion that is well-circumscribed.
- Abundant capillaries - key feature.
DDx:
- Venous lake - single vessel.[6]
- Hemangioma.
Images:
Capillary teleangiectasia
- Usually incidental finding at autopsy.
- Pons as predilection site.
Microscopy
- Many small, thin walled capillaries surrounded by normal brain.
- No hemorrhage.
Images:
See also
References
- ↑ 1.0 1.1 Prayson RA, Kleinschmidt-DeMasters BK (November 2006). "An algorithmic approach to the brain biopsy--part II". Arch. Pathol. Lab. Med. 130 (11): 1639–48. PMID 17076525.
- ↑ Marchuk, DA.; Srinivasan, S.; Squire, TL.; Zawistowski, JS. (Apr 2003). "Vascular morphogenesis: tales of two syndromes.". Hum Mol Genet 12 Spec No 1: R97-112. PMID 12668602.
- ↑ MUN. 23 November 2010.
- ↑ 4.0 4.1 URL:: http://missinglink.ucsf.edu/lm/DermatologyGlossary/cherry_angioma.html. Accessed on: 13 August 2012.
- ↑ Busam, Klaus J. (2009). Dermatopathology: A Volume in the Foundations in Diagnostic Pathology Series (1st ed.). Saunders. pp. 546. ISBN 978-0443066542.
- ↑ Busam, Klaus J. (2009). Dermatopathology: A Volume in the Foundations in Diagnostic Pathology Series (1st ed.). Saunders. pp. 551. ISBN 978-0443066542.