Atypical polypoid adenomyoma of the uterus
(Redirected from Atypical polypoid adenomyoma)
Jump to navigation
Jump to search
| Atypical polypoid adenomyoma of the uterus | |
|---|---|
| Diagnosis in short | |
|
Template:Px Atypical polypoid adenomyoma. H&E stain. | |
|
| |
| LM | endometrial glands with irregular (non-ovoid) shapes, benign smooth muscle around the glands, morular squamous metaplasia |
| LM DDx | endometrioid endometrial carcinoma, endometrium with squamous morules, endocervical adenocarcinoma |
| Gross | lower uterine segment lesion |
| Site | uterus |
|
| |
| Clinical history | reproductive age women |
| Prevalence | rare |
| Prognosis | benign |
Atypical polypoid adenomyoma of the uterus is a rare benign lesion of the uterus.
It is usually referred to simply as atypical polypoid adenomyoma (abbreviated APA).
General
Gross
- Lower uterine segment.
Microscopic
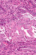
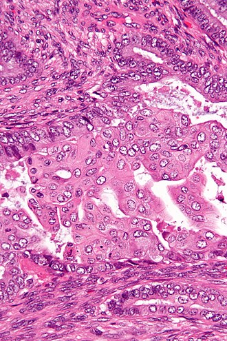
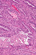
Features:[2]
- Glands with irregular (non-ovoid) shapes.
- Benign smooth muscle around the glands - key feature.
- Morular squamous metaplasia - balls of squamous cells - very common.
- Nuclear atypia (mild).
DDx:
- Endometrioid endometrial carcinoma.
- Endometrium with squamous morules - more common.
- Endocervical adenocarcinoma.
Images
- Atypical polypoid adenomyoma - intermed mag.jpg
APA - intermed. mag. (WC)
- Atypical polypoid adenomyoma - high mag.jpg
APA - high mag. (WC)
- Atypical polypoid adenomyoma - very high mag.jpg
APA - very high mag. (WC)
www:
IHC
Features (glandular component):[1]
- AE1/AE3 +ve.
- CK7 +ve.
- ER +ve.
- PR +ve.
Significant negative (glandular component):[1]
- CK20 -ve.
- CEA -ve.
Sign out
ENDOMETRIUM, CURETTAGE: - ATYPICAL POLYPOID ADENOMYOMA. COMMENT: Atypical polypoid adenomyomas are considered to be benign lesions; however, they may persist or recur in up to half of patients.
See also
References
- ↑ 1.0 1.1 1.2 Terada, T. (Oct 2011). "Atypical polypoid adenomyoma of the uterus: an immunohistochemical study on 5 cases.". Ann Diagn Pathol 15 (5): 338-41. doi:10.1016/j.anndiagpath.2011.03.008. PMID 21684185.
- ↑ 2.0 2.1 Jakus, S.; Edmonds, P.; Dunton, C.; Holland, G. (Jan 2002). "Atypical polypoid adenomyoma mimicking cervical adenocarcinoma.". J Low Genit Tract Dis 6 (1): 33-8. PMID 17050990.