B-cell CLL/lymphoma 2

From Libre Pathology
(Redirected from BCL2)
Jump to navigation Jump to search
File:Follicluar lymphoma - bcl2 -- low mag.jpg
BCL2 expression in a follicular lymphoma.
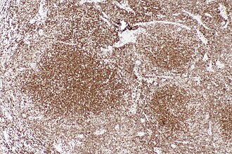
File:Follicular lymphoma - control bcl2 -- low mag.jpg
Normal BCL2 staining in a lymph node.

B-cell CLL/lymphoma 2, officially it is abbreviated BCL2,[1] in an oncogene that was described in the context of CLL. It is expressed in other small cell lymphomas.

Commonly used abbreviations include bcl-2 and BCL-2.

See also

References