Viruses and cancer
(Redirected from Cancer viruses)
Jump to navigation
Jump to search
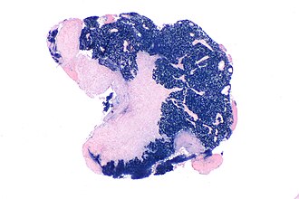
File:Nasopharyngeal carcinoma - EBER -- very low mag.jpg
Micrograph showing an EBER (Epstein-Barr virus (EBV)-encoded small RNAs) positive nasopharyngeal carcinoma. Epstein-Barr virus is a virus that causes cancer. (WC)
This article deals with viruses and cancer.
Cancer viruses and cancer and viruses redirect here.
Several virus are known to cause cancer.[1]
Cancer causing viruses
- Epstein-Barr virus (EBV).[1]
- Hepatitis B virus.[1]
- Hepatitis C virus.[1]
- Human herpesvirus-8.[1]
- Human T-lymphotropic virus type I (HTLV-I).[2]
- Human papillomavirus (HPV).[1]
- Merkel cell polyomavirus.[1]
See also
References
- ↑ 1.0 1.1 1.2 1.3 1.4 1.5 1.6 Holm A, Schindele A, Allard A, Eriksson I, Sandström K, Laurell G, Nylander K, Olofsson K (June 2019). "Mapping of human papilloma virus, p16, and epstein-barr virus in non-malignant tonsillar disease". Laryngoscope Investig Otolaryngol 4 (3): 285–291. doi:10.1002/lio2.260. PMC 6580074. PMID 31236460. https://www.ncbi.nlm.nih.gov/pmc/articles/PMC6580074/.
- ↑ Manns A, Hisada M, La Grenade L (June 1999). "Human T-lymphotropic virus type I infection". Lancet 353 (9168): 1951–8. doi:10.1016/s0140-6736(98)09460-4. PMID 10371587.