Intestinal spirochetosis
(Redirected from Colonic spirochetes)
Jump to navigation
Jump to search
| Intestinal spirochetosis | |
|---|---|
| Diagnosis in short | |
|
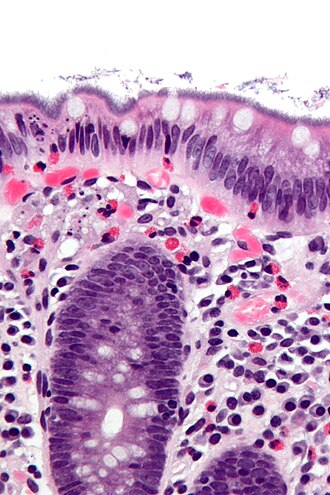
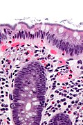
Template:Px Intestinal spirochetosis. H&E stain. | |
|
| |
| LM | hyperchromatic fuzz on luminal aspect of epithelial cells - at brush border; spirochetes |
| Stains | silver stains, e.g. Warthin-Starry stain |
| Site | intestine - colon |
|
| |
| Signs | watery diarrhea +/-blood per rectum |
| Symptoms | abdominal pain |
| Prevalence | uncommon |
| Endoscopy | often normal |
| Prognosis | benign |
| Clin. DDx | other causes of diarrhea |
| Treatment | antibiotics |
Intestinal spirochetosis, also known as intestinal spirochetes, in an uncommon intestinal infection.
It is usually in the colon; thus, also known as colonic spirochetes and colonic spirochetosis.
General
- Caused by spirochetes[1][2] - specifically Brachyspira piloicoli[3] (previously Serpulina pilosicoli[4]) and Brachyspira aalborgi.
- Very rare cause of diarrhea, associated with male homosexual behaviour.
Symptoms:[2]
- Watery diarrhea, abdominal pain, +/-blood per rectum.
Treatment:[5]
- Metronidazole.
Gross
- Typically normal appearance.
Note:
- Anatomical distribution in large intestine varies - may be absent in rectum.[6]
Microscopic
Features:
- Hyperchromatic fuzz on luminal aspect of epithelial cells; at brush border.
DDx:
- Normal colon.
- Infectious colitis without a distinctive morphology.
Images
- Intestinal spirochetosis - cropped - very high mag.jpg
Intestinal spirochetes - cropped - very high mag. (WC/Nephron)
- Intestinal spirochetosis - very high mag.jpg
Intestinal spirochetes - very high mag. (WC/Nephron)
- Intestinal spirochetosis - intermed mag.jpg
Intestinal spirochetes - intermed. mag. (WC/Nephron)
www:
Special stains
- Silver stains highlight 'em (e.g. Warthin-Starry stain).
Images
Sign out
Rectum, Biopsy:
- Colonic-type mucosa with spirochetes, otherwise within normal limits.
Comment:
The presence of spirochetes was confirmed with a Warthin-Starry stain.
See also
References
- ↑ Amat Villegas I, Borobio Aguilar E, Beloqui Perez R, de Llano Varela P, Oquiñena Legaz S, Martínez-Peñuela Virseda JM (January 2004). "[Colonic spirochetes: an infrequent cause of adult diarrhea]" (in Spanish; Castilian). Gastroenterol Hepatol 27 (1): 21–3. PMID 14718105.
- ↑ 2.0 2.1 URL: http://www.jhasim.com/files/articlefiles/pdf/XASIM_Master_6_5_May_Vignette.pdf. Accessed on: 25 April 2011.
- ↑ Margawani, KR.; Robertson, ID.; Hampson, DJ. (Feb 2009). "Isolation of the anaerobic intestinal spirochaete Brachyspira pilosicoli from long-term residents and Indonesian visitors to Perth, Western Australia.". J Med Microbiol 58 (Pt 2): 248-52. doi:10.1099/jmm.0.004770-0. PMID 19141744. http://ukpmc.ac.uk/abstract/MED/19141744/abstract/MED/19141744?ukpmc_extredirect=http://dx.doi.org/10.1099/jmm.0.004770-0.
- ↑ URL: http://www.cdc.gov/ncidod/eid/vol12no05/05-1180.htm. Accessed on: 28 June 2011.
- ↑ Calderaro A, Bommezzadri S, Gorrini C, et al. (November 2007). "Infective colitis associated with human intestinal spirochetosis". J. Gastroenterol. Hepatol. 22 (11): 1772–9. doi:10.1111/j.1440-1746.2006.04606.x. PMID 17914949.
- ↑ Walker MM, Talley NJ, Inganäs L, Engstrand L, Jones MP, Nyhlin H, Agréus L, Kjellstrom L, Öst Å, Andreasson A (February 2015). "Colonic spirochetosis is associated with colonic eosinophilia and irritable bowel syndrome in a general population in Sweden". Hum Pathol 46 (2): 277–83. doi:10.1016/j.humpath.2014.10.026. PMID 25540866.
- ↑ Tsinganou, E.; Gebbers, JO. (Jan 2010). "Human intestinal spirochetosis--a review.". Ger Med Sci 8: Doc01. doi:10.3205/000090. PMID 20200654.