Diagnostic size cutoffs

From Libre Pathology
(Redirected from Diagnostic size cutoff)
Jump to navigation Jump to search
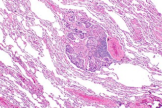
A carcinoid tumourlet; if it were larger it would be a carcinoid lung tumour. H&E stain.

Diagnostic size cutoffs are cutoffs which (in part) define a diagnosis and are seen in a number of places in pathology. They are usually somewhat arbitrary by their nature; however, they often make sense from a biologic big picture/management perspective. It doesn't make sense to treat ADH and low-grade DCIS the same, as their behaviour is different.

Rationale

In pathology, size matters. With other things equal, in the context of how tumours are currently evaluated, big tumours usually do worse than small tumours.

A table of diagnostic size cutoffs

Smaller lesion (precursor) Cutoff value (smaller lesion) Larger lesion (cancer) Notes
Papillary adenoma of the kidney <=1.5 cm[1] Papillary renal cell carcinoma must be low ISUP nucleolar grade to call papillary adenoma; cut-off was 0.5 cm in previous WHO GU book[2]
Atypical alveolar hyperplasia <5 mm[3] Adenocarcinoma in situ of the lung -
Atypical ductal hyperplasia <2mm Low-grade ductal carcinoma in situ Different criterion for lesions in an intraductal papilloma of the breast
Atypical ductal hyperplasia in an intraductal papilloma of the breast <3mm Low-grade ductal carcinoma in situ in an intraductal papilloma Different criterion for lesions not in an intraductal papilloma of the breast
Pulmonary carcinoid tumourlet <5 mm[4][5] Typical carcinoid lung tumour Typical carcinoid lung tumour not a cancer

See also

References

  1. Moch, H.; Cubilla, AL.; Humphrey, PA.; Reuter, VE.; Ulbright, TM. (Feb 2016). "The 2016 WHO Classification of Tumours of the Urinary System and Male Genital Organs-Part A: Renal, Penile, and Testicular Tumours.". Eur Urol. doi:10.1016/j.eururo.2016.02.029. PMID 26935559.
  2. The International Agency for Research on Cancer (Author), J. Eble (Editor), J. Epstein (Editor), I. Sesterhenn (Editor), G. Sauter (Editor) (2004). Pathology and Genetics of Tumours of the Urinary System and Male Genital Organs (IARC WHO Classification of Tumours) (1st ed.). Lyon: World Health Organization. pp. 28. ISBN 978-9283224150.
  3. Humphrey, Peter A; Dehner, Louis P; Pfeifer, John D (2008). The Washington Manual of Surgical Pathology (1st ed.). Lippincott Williams & Wilkins. pp. 114. ISBN 978-0781765275.
  4. URL: http://pathhsw5m54.ucsf.edu/case7/image75.html. Accessed on: 23 January 2012.
  5. He, P.; Gu, X.; Wu, Q.; Lin, Y.; Gu, Y.; He, J. (Dec 2012). "Pulmonary carcinoid tumorlet without underlying lung disease: analysis of its relationship to fibrosis.". J Thorac Dis 4 (6): 655-8. doi:10.3978/j.issn.2072-1439.2012.06.11. PMID 23205296.