Endometrium with changes due to selective progesterone receptor modulators
Jump to navigation
Jump to search
| Endometrium with changes due to selective progesterone receptor modulators | |
|---|---|
| Diagnosis in short | |
|
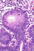
Micrograph showing endometrium with changes due to a SPRM. H&E stain. | |
|
| |
| LM | glandular changes - extensive cystic dilatation, inactive appearing glandular epithelium or abortive subnuclear vacuolization, rare mitoses or apoptotic cells, abnormal stromal vessels (common) |
| LM DDx | endometrial hyperplasia |
| Site | endometrium |
|
| |
| Associated Dx | uterine leiomyomas |
| Clinical history | use of SPRM |
| Prognosis | benign |
| Treatment | (none) |
Endometrium with changes due to selective progesterone receptor modulator may mimic endometrial hyperplasia.
Selective progesterone receptor modulators, abbreviated SPRMs, are a class of drugs that block the action of progesterone. They are used to treat uterine fibroids.[1]
General
- Ulipristal - trade name Fibristal.
- May be used as an emergency contraceptive.[2]
Microscopic
Features:[1]
- Glandular changes - extensive cystic dilatation.
- Inactive appearing glandular epithelium or abortive subnuclear vacuolization.
- Rare mitoses and apoptosis.
- Abnormal stromal vessels - common.
DDx:
Images
See also
References
- ↑ 1.0 1.1 Williams, AR.; Bergeron, C.; Barlow, DH.; Ferenczy, A. (Nov 2012). "Endometrial morphology after treatment of uterine fibroids with the selective progesterone receptor modulator, ulipristal acetate.". Int J Gynecol Pathol 31 (6): 556-69. doi:10.1097/PGP.0b013e318251035b. PMID 23018219.
- ↑ Whitaker, LH.; Williams, AR.; Critchley, HO. (Aug 2014). "Selective progesterone receptor modulators.". Curr Opin Obstet Gynecol 26 (4): 237-42. doi:10.1097/GCO.0000000000000082. PMID 24950125.