Olfactory neuroblastoma
(Redirected from Esthesioneuroblastoma)
Jump to navigation
Jump to search
| Olfactory neuroblastoma | |
|---|---|
| Diagnosis in short | |
|
Olfactory neuroblastoma | |
|
| |
| LM |
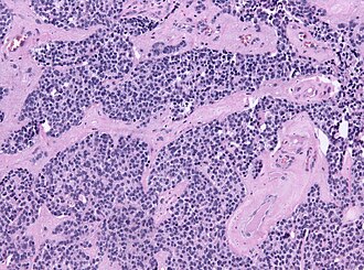
small round (blue) cell tumour (stippled chromatin, high NC ratio), +/-Flexner-Wintersteiner rosette (rosette with empty centre), +/-Fibrillary, eosinophilic material (neuropil-like) |
| LM DDx | other small round blue cell tumours (e.g. small cell carcinoma of the lung), large cell lymphoma (e.g. DLBCL), basaloid squamous cell carcinoma |
| Prevalence | rare |
| Prognosis | poor |
Olfactory neuroblastoma, also known as esthesioneuroblastoma, is a rare aggressive tumour of the head and neck.
Neuroblastoma is dealt with in the neuroblastoma article.
General
Epidemiology:[1]
- Prognosis: poor.
- Wide age range with bimodal distribution - teens and 60s.
- No sex predilection.
Clinical presentation:[1]
- Nasal obstruction ~ 70%.
- Epistaxis ~ 50%.
- Anosmia.
- Headache.
Gross
- Arises from olfactory mucosa - upper nasal cavity.[2]
Microscopic
Features:[1]
- Small round (blue) cell tumour with:
- Stippled chromatin.
- High NC ratio.
- +/-Flexner-Wintersteiner rosette - rosette with empty centre (donut hole).
- +/-Fibrillary, eosinophilic material (neuropil-like).[2]
DDx:
- Lymphoma.
- Small cell carcinoma.
- Other small round cell tumours.
- Basaloid squamous carcinoma.[citation needed]
Images:
IHC
- Neuroendocrine markers:[4]
- CD56 +ve.
- Synaptophysin +ve.
- Chromogranin A +ve.
- NSE +ve.
- Lower expression of neuroendocrine markers in IDH2 mutant tumors.[citation needed]
- S-100:
- Small round cells -ve.
- Sustentacular cells +ve.
- Neuronal ONB subtype is enriched for the presence of S100 sustentacular cells.
Others:
- CD45 -ve (r/o lymphoma).
- AE1/AE3 usually -ve (~1/3 are +ve[4]).
- CAM5.2 usu. -ve -- up to 35% +ve.[2]
- Higher expression of cytokeratins in IDH2 mutant tumors.
Molecular
- Two major subgroups.[5][6]
- Classical ("neural").
- Basal: G-CIMP+ve with frequent IDH2 R172 mutations.
See also
References
- ↑ 1.0 1.1 1.2 1.3 Thompson, LD. (Sep 2009). "Olfactory neuroblastoma.". Head Neck Pathol 3 (3): 252-9. doi:10.1007/s12105-009-0125-2. PMC 2811627. PMID 20596981. https://www.ncbi.nlm.nih.gov/pmc/articles/PMC2811627/.
- ↑ 2.0 2.1 2.2 Humphrey, Peter A; Dehner, Louis P; Pfeifer, John D (2008). The Washington Manual of Surgical Pathology (1st ed.). Lippincott Williams & Wilkins. pp. 41. ISBN 978-0781765275.
- ↑ URL: http://path.upmc.edu/cases/case467.html. Accessed on: 21 January 2012.
- ↑ 4.0 4.1 "A Review on Esthesioneuroblastoma". Indian J Otolaryngol Head Neck Surg 74 (Suppl 2): 1584–1590. October 2022. doi:10.1007/s12070-021-02726-2. PMC 9702120. PMID 36452592. https://www.ncbi.nlm.nih.gov/pmc/articles/PMC9702120/.
- ↑ Capper, D.; Engel, NW.; Stichel, D.; Lechner, M.; Glöss, S.; Schmid, S.; Koelsche, C.; Schrimpf, D. et al. (08 2018). "DNA methylation-based reclassification of olfactory neuroblastoma.". Acta Neuropathol 136 (2): 255-271. doi:10.1007/s00401-018-1854-7. PMID 29730775.
- ↑ Classe, M.; Yao, H.; Mouawad, R.; Creighton, CJ.; Burgess, A.; Allanic, F.; Wassef, M.; Leroy, X. et al. (10 2018). "Integrated Multi-omic Analysis of Esthesioneuroblastomas Identifies Two Subgroups Linked to Cell Ontogeny.". Cell Rep 25 (3): 811-821.e5. doi:10.1016/j.celrep.2018.09.047. PMID 30332658.