Graves' disease
(Redirected from Graves disease)
Jump to navigation
Jump to search
| Graves' disease | |
|---|---|
| Diagnosis in short | |
|
Graves' disease. H&E stain. (WC) | |
|
| |
| LM | hypercellular appearance with patchy lymphocytes, little colloid that is scalloped, +/-nuclear clearing, +/-papillae |
| LM DDx | papillary thyroid carcinoma |
| Gross | "beefy-red" appearance, enlarged, +/-white nodules |
| Site | thyroid gland |
|
| |
| Associated Dx | papillary thyroid carcinoma |
| Signs | exophthalmos, signs of hyperthyroidism (tremor, muscle wasting, weight loss, tachycardia, sweating) |
| Symptoms | symptoms of hyperthyroidism (palpitations, fatigue, restlessness, oligomenorrhea, amenorrhea, intolerance to heart, diarrhea, irritability) |
| Prevalence | uncommon |
| Blood work | TSH-receptor antibody - required |
Graves' disease, also Graves disease, is an autoimmune disease that leads to hyperthyroidism.
It is often misspelled "Grave's disease".
General
- Clinical diagnosis.
- Autoimmune disease leading to hyperthyroidism.
- Eye problems not resolved with thyroid removal.[citation needed]
- Increased risk of papillary thyroid carcinoma compared to general population.[1]
Clinical:
- TSH-receptor antibody +ve.[2]
- +/-Exophthalmos (bulging eyes).
Hyperthyroidism
Mnemonic hyperTHYROIDISM:[3][4]
- Tremor.
- Heart rate elevated, palpitations.
- Yawn (fatigue).
- Restlessness.
- Oligomenorrhea, amenorrhea.
- Intolerance to heat.
- Diarrhea.
- Irritable.
- Sweating.
- Muscle wasting/weight loss.
Gross
Features:
- Classic appearance:[5]
- Enlarged 50-150 g.
- "Beefy-red" appearance, looks like raw beef.
- May have scattered white nodules (lymphocytes).
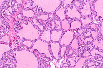
Microscopic
Features:
- Classic:
- Hypercellular
- Patchy lymphocytes.[6]
- Little colloid.
- Scalloping of colloid; colloid has undulating border.
- Non-specific finding.
- +/-Nuclear clearing.
- +/-Papillae (may mimic papillary thyroid carcinoma in this respect).
Notes:
- Usually has an unimpressive appearance... as it is treated, i.e. history is important.
- Nuclear clearing and papillae are usu. diffuse in Graves' disease - unlike in papillary thyroid carcinoma.
DDx:
Images
www:
Sign out
History provided
Total Thyroid, Total Thyroidectomy: - Lymphocytic thyroiditis compatible with Graves' disease. - One benign lymph node (0/1). - NEGATIVE for malignancy.
See also
References
- ↑ Ergin, AB.; Saralaya, S.; Olansky, L.. "Incidental papillary thyroid carcinoma: clinical characteristics and prognostic factors among patients with Graves' disease and euthyroid goiter, Cleveland Clinic experience.". Am J Otolaryngol 35 (6): 784-90. doi:10.1016/j.amjoto.2014.04.013. PMID 25128909.
- ↑ Massart, C.; Gibassier, J.; d'Herbomez, M. (Sep 2009). "Clinical value of M22-based assays for TSH-receptor antibody (TRAb) in the follow-up of antithyroid drug treated Graves' disease: comparison with the second generation human TRAb assay.". Clin Chim Acta 407 (1-2): 62-6. doi:10.1016/j.cca.2009.06.033. PMID 19576193.
- ↑ Shiau, Carolyn; Toren, Andrew (2006). Toronto Notes 2006: Comprehensive Medical Reference (Review for MCCQE 1 and USMLE Step 2) (22nd edition (2006) ed.). Toronto Notes for Medical Students, Inc.. pp. E24. ISBN 978-0968592861.
- ↑ URL: http://www.prep4usmle.com/forum/thread/6731/2/. Accessed on: 1 May 2012.
- ↑ Thompson, Lester D. R. (2006). Endocrine Pathology: A Volume in Foundations in Diagnostic Pathology Series (1st ed.). Churchill Livingstone. pp. 30. ISBN 978-0443066856.
- ↑ Leövey, A.; Bakó, G.; Sztojka, I.; Bordán, L.; Szabó, T.; Kálmán, K.; Balázs, C. (1982). "The pathogenetic connection between Graves' disease and chronic lymphocytic thyroiditis. (The role and incidence of thyroid stimulating antibodies).". Acta Med Acad Sci Hung 39 (1-2): 1-6. PMID 6129766.
- ↑ URL: http://library.med.utah.edu/WebPath/EXAM/IMGQUIZ/enfrm.html. Accessed on: 4 December 2011.