Papillary hidradenoma
(Redirected from Hidradenoma papilliferum)
Jump to navigation
Jump to search
| Papillary hidradenoma | |
|---|---|
| Diagnosis in short | |
|
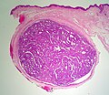
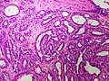
Template:Px Papillary hidradenoma. H&E stain. | |
|
| |
| LM | cystic spaces lined by epithelium with apocrine differentiation (as demonstrated by apocrine snouts), well-circumscribed |
| Gross | nodule |
| Site | vulva, perianal, others |
|
| |
| Prevalence | uncommon |
| Prognosis | benign |
Papillary hidradenoma, also hidradenoma papilliferum, is a benign lesion typically found in the vulva.
General
- Dermal thingy; hidradenoma = tumour of sweat duct epithelium.[1]
- Looks like intraductal papilloma of the breast.[2]
- Uncommon.[3]
Gross
- Nodule.
Note:
Microscopic
Features:
- Cystic spaces.
- Epithelium with apocrine differentiation (as demonstrated by apocrine snouts).
- Well-circumscribed.
Notes:
- No attachment to epidermis.
- No nuclear changes suggestive of malignancy.
Images
Papillary hidradenoma - very high mag. (WC)
Vulva HidradenomaPapilliferum Ulcerated PA (SKB)
Vulva HidradenomaPapilliferum MP PA(SKB)
Vulva HidradenomaPapilliferum LP PA(SKB)
Vulva HidradenomaPapilliferum LP PA (2)(SKB)
Vulva HidradenomaPapilliferum HP PA(SKB)
www:
Sign out
VULVAR LESION, EXCISION: - PAPILLARY HIDRADENOMA.
See also
References
- ↑ URL: http://medical-dictionary.thefreedictionary.com/hidradenoma. Accessed on: 14 April 2011.
- ↑ Cotran, Ramzi S.; Kumar, Vinay; Fausto, Nelson; Nelso Fausto; Robbins, Stanley L.; Abbas, Abul K. (2005). Robbins and Cotran pathologic basis of disease (7th ed.). St. Louis, Mo: Elsevier Saunders. pp. 1067. ISBN 0-7216-0187-1.
- ↑ 3.0 3.1 Duhan, N.; Kalra, R.; Singh, S.; Rajotia, N. (Oct 2011). "Hidradenoma papilliferum of the vulva: case report and review of literature.". Arch Gynecol Obstet 284 (4): 1015-7. doi:10.1007/s00404-010-1784-7. PMID 21132312.
- ↑ Daniel, F.; Mahmoudi, A.; de Parades, V.; Fléjou, JF.; Atienza, P. (Feb 2007). "An uncommon perianal nodule: hidradenoma papilliferum.". Gastroenterol Clin Biol 31 (2): 166-8. PMID 17347625.
- ↑ Morimura, S.; Kadono, T.; Sugaya, M.; Sato, S.. "Ectopic hidradenoma papilliferum on the abdomen.". Eur J Dermatol 21 (2): 278-9. doi:10.1684/ejd.2010.1236. PMID 21411413.