Neuroanatomy
(Redirected from Locus ceruleus)
Jump to navigation
Jump to search
This article covers very basic neuroanatomy. It is essential to have a good grasp on neuroanatomy and neurohistology... before doing neuropathology.
This article has some overlap with the neurohistology article, as there isn't a clear divider between microscopic and macroscopic.
Anatomy
General
- Central nervous system (CNS): Brain, spinal cord.
- Cortex:
- Cerebral lobes: Frontal, parietal, temporal, occipital, insula.
- Diencephalon: Thalamus, hypothalamus.
- Mesencephalon: Colliculi (superior, inferior).
- Metencephalon: Pons, cerebellum.
- Myelencephalon: Medulla.
- Ventricular system:
- Lateral ventricles, interventricular foramen, third ventricle, cerebral aquaeduct, fourth ventricle, subrachnoid space.
- Meninges:
- Outer Covering, CSF circulation, buoyancy of brain.
- Falx cerebri (between hemispheres), Tentorium cerebelli (separates cerebellum).
Brain: Lateral view
Important
- Basal ganglia
- Includes: Nucleus caudatus, putamen, pallidum, subthalamus, substantia nigra
- Part of the forebrain.
- Caudate nucleus + putamen = striatum.
- Pallidum + putamen = lenticular nucleus.
Schematic overview (WC/blausen staff)
- Basal ganglia 1.jpg
Section with descriptions (WC/SMH)
- Uncus (as in uncal herniation).
- Uncus animation small.gif
Position of the uncus
- Cerebellar tonsils (as in tonsillar herniation).
- Hippocampus (as in hippocampal sclerosis).
- Longitudinal fissure - divides cerebrum into hemispheres.
- Lateral sulcus (Sylvian fissure, lateral fissure) - separates temporal lobe from frontal lobe & parietal lobe.
- Central sulcus - separate parietal lobe from frontal lobe.
- Brain stem = medulla oblongata, pons, mesencephalon (midbrain).[1]
Less important
Glomeruli of Arnold
- Over lies hippocampus.
Calcarine cortex
- Occipital lobe.
- Line of Gennari -- very thin white line in the grey matter.
- Image: Calcarine cortex (med.utah.edu) as part of CNS collection (gfmer.ch).
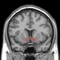
Nucleus accumbens
- Abbreviated NAcc - inferior-medial to where the internal capsule ends; anterior of optic chiasm.
Nucleus basalis of Meynert
- Abbreviated NBM.
- Inferior of the globus pallidus; makes acetylcholine.
Locus ceruleus
- See also: Neurohistology#Locus_ceruleus.
- Blue dots - anterior to 4th ventricle in the pons.
Images:
Other - trivia
- Claustrum - thin band of grey mater in the external capsule; function uncertain.[2]
- Nerve root vs. nerve:[3]
- Nerves have epineurium.
- Nerve roots do not have epineurium.
Notes:
- Nerve anatomy:[4]
- Nerve (surrounded by epineurium) -> Fascicle (surrounded by perineurium) -> Nerve fibre (surrounded by endoneurium).
Vascular structures
- Posterior cerebellar arteries.
- Inferior of posterior cerebral arteries.
- Anterior inferior cerebellar arteries.
- Branch off basilar artery.
- Posterior inferior cerebellar arteries - AKA PICA.
- Branch off vertebral arteries.
Images
www:
Meninges
Deep to superficial:
- Pia mater.
- Arachanoid membrane.
- Subarachanoid space - contains blood vessels.
- Dura mater.
- Tough outer covering.
Lesion location in relation to meninges
Locations:[5]
- Intra-axial = inside the (middle) of spinal cord/brain.
- AKA intramedullary.
- Intradural = not intra-axial, but deep to the dural.
- Extradural = outside of dura.
- The above descriptors are often found in radiology reports.
DDx based on location[6]
Intra-axial:[7]
- Glioma (astrocytoma, oligodendroglioma, ependymoma).
- Non-glial tumours (hemangioblastoma, CNS lymphoma).
- Metastases.
- Non-tumour:
- Abscess.
- Infarct.
- Hematoma.
Intradural:
Extradural:
- Chordoma.
- Schwannoma.
- Sarcoma.
- Plasmacytoma.
- Primary bone tumours - osteosarcoma, osteochondroma, chondrosarcoma.
- Mets (lung, breast, etc.).
Neuropathological dissection (autopsy)
Brain fixation after removal: Usually 14 days
- Check brain for:
- Lesions
- edema (might be not visible but tissue is softer than normal)
- hemorrhage
- Discolorations
- Asymmetry (midline shift)
- herniation (subfalxial, uncal, tonsillar)
- vascular abnormalities
Atrophy: widespread sulci, often seen in neurodegenerative diseases
Brown discolorations indicating demyelinisation
Sampling - sections (autopsy)
- See autopsy.
Standard histologic sections:
| Site | Routine[8] | Head injury[9] | Epilepsy[10] | Dementia[11] |
|---|---|---|---|---|
| Frontal cortex | Y [1] | Y - bilateral parasagittal [2] | N | Y - middle frontal gyrus [1] |
| Cingulate gyrus | N | N | Y - parasagittal [1] | Y [1] |
| Basal ganglia & internal capsule |
Y [1] | Y - bilateral with corpus callosum [2] | Y - caudate, putamen, globus palidus [1] |
Y - putamen, globus palidus [1] |
| Basal ganglia, internal capsule, thalamus |
N | Y [2] | N | N |
| Temporal lobe | N | N | Y - superior & middle temporal gyri [2] | Y - superior & middle temporal gyri [1] |
| Hippocampus | Y [1] | Y - bilateral [2] | Y - also parahippocampal gyri [2] | Y - also parahippocampal gyri [1] |
| Splenium of corpus callosum | N | Y [1] | N | N |
| Parietal lobe | N | Y - centrum semiovale (unilateral) [1] | N | Y - inferior [1] |
| Occipital cortex | Y [1] | N | N | Y [1] |
| Midbrain | Y [1] | Y [1] | N | Y [1] |
| Cerebellum (with dentate gyrus) |
Y [1] | Y - bilateral [2] | Y - also vermis [2] | Y [1] |
| Pons | N | Y [1] | N | Y [1] |
| Medulla | Y [1] | Y [1] | N | Y [1] |
| Total sections | [7] | [15] | [8] | [11] |
An absolute minimum:[12]
- Hippocampus.
- Cerebral cortex.
- Brainstem (midbrain).
- Cerebellum.
See also
References
- ↑ Martini, Frederic H. (2003). Fundamentals of Anatomy & Physiology (6th ed.). Benjamin Cummings. pp. 466. ISBN 978-0805359336.
- ↑ URL: http://commons.wikimedia.org/wiki/File:Telencephalon-Horiconatal.jpg. Accessed on: 22 September 2010.
- ↑ MUN. 25 November 2010.
- ↑ Martini, Frederic H. (2003). Fundamentals of Anatomy & Physiology (6th ed.). Benjamin Cummings. pp. 438. ISBN 978-0805359336.
- ↑ URL: http://www.nervous-system-diseases.com/spine-tumor.html. Accessed on: 21 September 2010.
- ↑ URL: http://www.nervous-system-diseases.com/spine-tumor.html. Accessed on: 21 September 2010.
- ↑ Perry, Arie; Brat, Daniel J. (2010). Practical Surgical Neuropathology: A Diagnostic Approach: A Volume in the Pattern Recognition series (1st ed.). Churchill Livingstone. pp. 57. ISBN 978-0443069826.
- ↑ Burton, Julian L.; Rutty, Guy N. (2010). The Hospital Autopsy A Manual of Fundamental Autopsy Practice (3rd ed.). Oxford University Press. pp. 164. ISBN 978-0340965146. }}
- ↑ Burton, Julian L.; Rutty, Guy N. (2010). The Hospital Autopsy A Manual of Fundamental Autopsy Practice (3rd ed.). Oxford University Press. pp. 176. ISBN 978-0340965146. }}
- ↑ Burton, Julian L.; Rutty, Guy N. (2010). The Hospital Autopsy A Manual of Fundamental Autopsy Practice (3rd ed.). Oxford University Press. pp. 179. ISBN 978-0340965146. }}
- ↑ Burton, Julian L.; Rutty, Guy N. (2010). The Hospital Autopsy A Manual of Fundamental Autopsy Practice (3rd ed.). Oxford University Press. pp. 180. ISBN 978-0340965146. }}
- ↑ MUN. 15 November 2010.
External links
- Important nuclei (univ-rennes1.fr) - discussed in the context of Alzheimer's disease.