Brain metastasis
(Redirected from Metastatic brain tumours)
Jump to navigation
Jump to search
| Brain metastasis | |
|---|---|
| Diagnosis in short | |
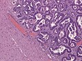
|
Template:Px Metastatic adenocarcinoma, compatible with colorectal primary. HPS stain. | |
|
| |
| LM | usu. well-demarcated border between brain and lesion, no cytoplasmic processes (seen in glial tumours), usu. have nuclear atypia of malignancy, +/-glandular architecture, +/-nucleoli seen |
| LM DDx | primary brain tumour - see primary brain tumour versus secondary brain tumour |
| IHC | GFAP -ve, dependent on primary - typical +ve for keratins (as carcinoma) |
| Site | brain |
|
| |
| Prevalence | most common brain tumour (adults) |
| Radiology | intra-axial, typically grey-white junction, cerebellum (esp. in adults) |
| Prognosis | poor |
| Clin. DDx | primary brain tumour, cerebral abscess or infection |
| Treatment | surgery, chemotherapy, radiation therapy |
Brain metastasis, also metastatic brain tumour,[1] is a brain tumour that arose elsewhere and spread to the brain.
General
- Most common brain tumour in adults.[2][3]
- Brain metastases are found in up to 25% cancer patients at autopsy. [4]
- Incidence of brain metastases increases with age.
- 80% of brain metastases are located supratentorial, usu. at the border between white and grey matter.
- In more than 50% there are multiple metastases in the brain.
- Common primary sites (in order of prevalence): lung, breast, kidney, gastrointestinal, melanoma.[5]
- Percentage of previously diagnosed cancers with brain metastases - by primary site: lung cancer 19.9%, melanoma 6.9%, breast cancer 5.1%, renal cancer 6.5%, colorectal cancer 1.8%.[6]
- Lung followed by kidney is the order in a smaller series.[7]
- Treatment: Surgery 1-3 metastases, Stereotactic RT in 1-4(rarely up to 10) metastases, >4-10 metastases: Whole Brain RT.
Gross/Radiology
- Intra-axial location.
- Typically at the grey-white junction.[8]
Image:
- AFIP403613G-THYROID PAPILLARY CARCINOMA METASTATIC TO BRAIN.jpg
Well demarcated metastasis (WC/Dr. Kostich)
- BrainMetastasisFromBreastCancer.jpg
3 brain metastases in breast cancer (WC/Jmarchn)
Microscopic
Appearance varies by subtype.
Features of metastatic carcinoma:
- Tubule formation/glands.
- Usually well-circumscribed/sharply demarcated from surrounding tissue.
- Usually nuclear atypia including:
- Nuclear hyperchromasia.
- Variation of nuclear size.
- Variation of nuclear shape.
- Mitoses - common.
DDx:
- Primary brain tumour - see primary brain tumour versus secondary brain tumour.
Images
- Metastatic adenocarcinoma - cerebellum - very low mag.jpg
CRC metastasis to cerebellum - very low mag. (WC)
- Metastatic adenocarcinoma - cerebellum - intermed mag.jpg
CRC metastasis to the cerebellum - intermed. mag. (WC)
- Metastatic adenocarcinoma - cerebellum - high mag.jpg
CRC metastasis to cerebellum - high mag. (WC)
- Brain metastasis - high mag.jpg
Brain metastasis - high mag. (WC)
- Adenocarcinoma infiltrating the brain.jpg
Adenocarcinoma of the lung metastasis. (WC/jensflorian)
IHC
Main article: Immunohistochemistry
- Carcinoma: pankeratin +ve.
- Lung adenocarcinoma and SCLC: TTF-1 +ve, CK7 +ve, CK20 -ve.
- Breast carcinoma: CK7 +ve, ER +ve, PR +ve, BRST2 +ve/-ve.
- Colorectal carcinoma: CK7 -ve, CK20 +ve, CDX2 +ve, TTF-1 -ve.
- Clear cell renal cell carcinoma: PAX8 +ve, CK7 -ve, CK20 -ve, vimentin +ve, CD10 +ve.
- Melanoma: S-100 +ve, HMB-45 +ve, Melan A +ve.
- GFAP -ve.[9]
Other glial markers (suggest primary):[9]
- OLIG2, SOX2.
- Immunhistochemie Bronchialkarzinom.jpg
CK7+/CK20-/TTF1+ profile in pulmonary adenocarcinoma metastasis. (WC/Marvin101)
Origin
Breast
- 8-30% BM.
- Triple-negative cases have a poor prognosis.
See also
References
- ↑ URL: http://www.nlm.nih.gov/medlineplus/ency/article/000769.htm. Accessed on: November 8, 2014.
- ↑ Pekmezci, M.; Perry, A. (2013). "Neuropathology of brain metastases.". Surg Neurol Int 4 (Suppl 4): S245-55. doi:10.4103/2152-7806.111302. PMID 23717796.
- ↑ Suki, D.; Khoury Abdulla, R.; Ding, M.; Khatua, S.; Sawaya, R. (Oct 2014). "Brain metastases in patients diagnosed with a solid primary cancer during childhood: experience from a single referral cancer center.". J Neurosurg Pediatr 14 (4): 372-85. doi:10.3171/2014.7.PEDS13318. PMID 25127097.
- ↑ Gavrilovic, IT.; Posner, JB. (Oct 2005). "Brain metastases: epidemiology and pathophysiology.". J Neurooncol 75 (1): 5-14. doi:10.1007/s11060-004-8093-6. PMID 16215811.
- ↑ Greenwald, J.; Heng, M. (2007). Toronto Notes for Medical Students 2007 (2007 ed.). The Toronto Notes Inc. for Medical Students Inc.. pp. NS9. ISBN 978-0968592878.
- ↑ Barnholtz-Sloan, JS.; Sloan, AE.; Davis, FG.; Vigneau, FD.; Lai, P.; Sawaya, RE. (Jul 2004). "Incidence proportions of brain metastases in patients diagnosed (1973 to 2001) in the Metropolitan Detroit Cancer Surveillance System.". J Clin Oncol 22 (14): 2865-72. doi:10.1200/JCO.2004.12.149. PMID 15254054.
- ↑ Schouten, LJ.; Rutten, J.; Huveneers, HA.; Twijnstra, A. (May 2002). "Incidence of brain metastases in a cohort of patients with carcinoma of the breast, colon, kidney, and lung and melanoma.". Cancer 94 (10): 2698-705. PMID 12173339.
- ↑ Della Puppa, A.; Dal Pos, S.; Zovato, S.; Orvieto, E.; Ciccarino, P.; Manara, R.; Zustovich, F.; Berti, F. et al. (Mar 2010). "Solitary intra-ventricular brain metastasis from a breast carcinoma.". J Neurooncol 97 (1): 123-6. doi:10.1007/s11060-009-9988-z. PMID 19727563.
- ↑ 9.0 9.1 9.2 Pekmezci, M.; Perry, A. (2013). "Neuropathology of brain metastases.". Surg Neurol Int 4 (Suppl 4): S245-55. doi:10.4103/2152-7806.111302. PMID 23717796.