Nuclear pseudoinclusions
(Redirected from Nuclear pseudoinclusion)
Jump to navigation
Jump to search
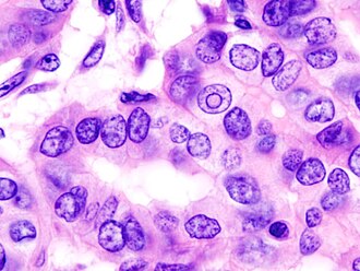
File:Thyroid papillary carcinoma histopathology (4).jpg
A pseudoinclusion in papillary thyroid carcinoma.
Nuclear pseudoinclusions are cytoplasmic invaginations into the nucleus that mimic true nuclear inclusion.
Nuclear pseudoinclusions and true nuclear inclusions
True nuclear inclusions consist of material that is:
- Foreign to the nucleus.
- Completely contained within the nucleus.
They are classically caused by viral particles; however, there are other causes.[1]
Tumours with pseudoinclusions
- Papillary thyroid carcinoma.
- Medullary thyroid carcinoma.[2]
- Melanoma.
- Adenocarcinoma of the lung.
- Meningioma.[3][4]
Note:
- The above is not an exhaustive list.
Pseudoinclusions in benign processes
See also
References
- ↑ Ip, YT.; Dias Filho, MA.; Chan, JK. (Dec 2010). "Nuclear inclusions and pseudoinclusions: friends or foes of the surgical pathologist?". Int J Surg Pathol 18 (6): 465-81. doi:10.1177/1066896910385342. PMID 21081532.
- ↑ URL: http://www.papsociety.org/guidelines/Morphologic%20criteria.doc. Accessed on: 28 April 2010.
- ↑ URL: http://moon.ouhsc.edu/kfung/jty1/neurotest/Q51-Ans.htm. Accessed on: 25 October 2010.
- ↑ Perry, Arie; Brat, Daniel J. (2010). Practical Surgical Neuropathology: A Diagnostic Approach: A Volume in the Pattern Recognition series (1st ed.). Churchill Livingstone. pp. 194. ISBN 978-0443069826.
- ↑ Arias-Stella, J. (Jan 2002). "The Arias-Stella reaction: facts and fancies four decades after.". Adv Anat Pathol 9 (1): 12-23. PMID 11756756.
- ↑ Dardi, LE.; Ariano, L.; Ariano, MC.; Gould, VE. (1982). "Arias-Stella reaction with prominent nuclear pseudoinclusions simulating herpetic endometritis.". Diagn Gynecol Obstet 4 (2): 127-32. PMID 6284466.