Phosphaturic mesenchymal tumour, mixed connective tissue type
(Redirected from Phosphaturic mesenchymal tumour)
Jump to navigation
Jump to search
| Phosphaturic mesenchymal tumour, mixed connective tissue type | |
|---|---|
| Diagnosis in short | |
|
Template:Px Phosphaturic mesenchymal tumour, mixed connective tissue type. H&E stain. | |
|
| |
| LM | spindle cells without atypia |
| LM DDx | osteosarcoma, neurofibroma, other soft tissue lesions |
| IHC | vimentin +ve, pankeratin -ve, S-100 -ve |
| Site | soft tissue, bone |
|
| |
| Prevalence | very rare |
| Blood work | low serum phosphate |
| Clin. DDx | autosomal dominant hypophosphatemic rickets |
Phosphaturic mesenchymal tumour, mixed connective tissue type, abbreviated PMTMCT, is a rare tumour.
General
- Extremely rare.
- Hypophosphatemia.[1]
- Most common cause of oncogenic osteomalacia (tumour-induced osteomalacia).[2]
Clinical DDx:
- Autosomal dominant hypophosphatemic rickets.[3]
Gross
Microscopic
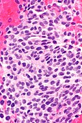
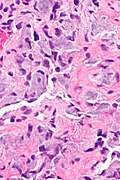
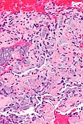
- Spindle cells without atypia and moderate lightly eosinophilic cytoplasm without distinctive cell borders.
- Eosinophilic matrix - described as "gungy" (shabby).[6]
- HPC-like vessels.
- Osteoclast-type giant cells.
- +/-Hemorrhage.
- +/-Calcifications.
DDx:[6]
- Osteosarcoma - has cellular atypia.
- Hemangiopericytoma.
- Giant cell tumour of bone.
- Neurofibroma.
- Other soft tissue lesions.
Images
- Phosphaturic mesenchymal tumour -- intermed mag.jpg
PMTMCT - intermed. mag. (WC)
- Phosphaturic mesenchymal tumour -- high mag.jpg
PMTMCT - high mag. (WC)
- Phosphaturic mesenchymal tumour - alt -- high mag.jpg
PMTMCT - high mag. (WC)
- Phosphaturic mesenchymal tumour -- very high mag.jpg
PMTMCT - very high mag. (WC)
- Phosphaturic mesenchymal tumour - alt -- very high mag.jpg
PMTMCT - very high mag. (WC)
www:
IHC
Features:[3]
- FGF-23 +ve -- key immunostain (17 +ve/21 cases).[6]
- Vimentin +ve.
- Pankeratin -ve.
- S-100 -ve.
- CD34 -ve.
Others:[7]
- CD68 +ve.(???)
- Desmin -ve.
- Actin -ve/+ve (3 +ve/21 cases).[6]
Sign out
LEFT CALF, BIOPSY: - SPINDLE CELL LESION WITHOUT SIGNIFICANT NUCLEAR ATYPIA AND SHABBY HYALINE MATERIAL WITH CALCIFICATIONS, SEE COMMENT. COMMENT: The tumour stains as follows: POSITIVE: vimentin, CD68 (focal). NEGATIVE: pankeratin, S-100, CD34. PROLIFERATION (Ki-67): 3% of lesional cells. This probably represents a recurrence of the "phosphaturic mesenchymal tumour, mixed connective tissue type". The case was compared to the previous pathology. Clinical correlation is recommended.
References
- ↑ Papierska, L.; Ćwikła, JB.; Misiorowski, W.; Rabijewski, M.; Sikora, K.; Wanyura, H. (2013). "Unusual case of phosphaturic mesenchymal tumor.". Pol Arch Med Wewn 123 (5): 255-6. PMID 23722193.
- ↑ 2.0 2.1 William, J.; Laskin, W.; Nayar, R.; De Frias, D. (Aug 2012). "Diagnosis of phosphaturic mesenchymal tumor (mixed connective tissue type) by cytopathology.". Diagn Cytopathol 40 Suppl 2: E109-13. doi:10.1002/dc.21647. PMID 22927293.
- ↑ 3.0 3.1 3.2 3.3 Woo, VL.; Landesberg, R.; Imel, EA.; Singer, SR.; Folpe, AL.; Econs, MJ.; Kim, T.; Harik, LR. et al. (Dec 2009). "Phosphaturic mesenchymal tumor, mixed connective tissue variant, of the mandible: report of a case and review of the literature.". Oral Surg Oral Med Oral Pathol Oral Radiol Endod 108 (6): 925-32. doi:10.1016/j.tripleo.2009.07.005. PMC 2783479. PMID 19828339. https://www.ncbi.nlm.nih.gov/pmc/articles/PMC2783479/.
- ↑ Jiang, Y.; Xia, WB.; Xing, XP.; Silva, BC.; Li, M.; Wang, O.; Zhang, HB.; Li, F. et al. (Sep 2012). "Tumor-induced osteomalacia: an important cause of adult-onset hypophosphatemic osteomalacia in China: Report of 39 cases and review of the literature.". J Bone Miner Res 27 (9): 1967-75. doi:10.1002/jbmr.1642. PMID 22532501.
- ↑ Ledford, CK.; Zelenski, NA.; Cardona, DM.; Brigman, BE.; Eward, WC. (Jul 2013). "The Phosphaturic Mesenchymal Tumor: Why is Definitive Diagnosis and Curative Surgery Often Delayed?". Clin Orthop Relat Res. doi:10.1007/s11999-013-3178-1. PMID 23868423.
- ↑ 6.0 6.1 6.2 6.3 Folpe AL, Fanburg-Smith JC, Billings SD, et al. (January 2004). "Most osteomalacia-associated mesenchymal tumors are a single histopathologic entity: an analysis of 32 cases and a comprehensive review of the literature". Am. J. Surg. Pathol. 28 (1): 1–30. PMID 14707860.
- ↑ 7.0 7.1 Hu FK, Yuan F, Jiang CY, et al. (November 2011). "Tumor-induced osteomalacia with elevated fibroblast growth factor 23: a case of phosphaturic mesenchymal tumor mixed with connective tissue variants and review of the literature". Chin J Cancer 30 (11): 794–804. doi:10.5732/cjc.011.10013. PMC 4013303. PMID 22035861. https://www.ncbi.nlm.nih.gov/pmc/articles/PMC4013303/.