Zoon vulvitis
(Redirected from Plasma cell vulvitis)
Jump to navigation
Jump to search
| Zoon vulvitis | |
|---|---|
| Diagnosis in short | |
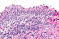
|
Template:Px Zoon vulvitis. H&E stain. | |
|
| |
| Synonyms | plasmacytosis mucosae |
|
| |
| LM | squamous epithelium with: spongiosis, lack of stratum granulosum and stratum corneum layers, "lozenge"-shaped (diamond-like shape); abundant plasma cells - esp. superficial dermis; +/-hemosiderin deposits |
| LM DDx | syphilis, fungal infection |
| Stains | PASF -ve |
| Site | vulva |
|
| |
| Symptoms | pruritis, pain |
Zoon vulvitis, also vulvitis circumscripta plasmacellularis[1] and plasma cell vulvitis, is a rare pathology of the vulva.
It is also known as plasmacytosis mucosae,[2] which may be used to refer to Zoon balanitis.
General
- Rare ~ 50 reported cases in English literature as of 2012.[3]
- Analogous to Zoon's balanitis in males.[4]
Clinical:[3]
- Pruritis.
- Pain.
- Orange colouration.[5]
Gross
Features:[3]
- Erythematous macules or papules.
Microscopic
Features:
- Squamous epithelium with:[2]
- Spongiosis.
- Lack of stratum granulosum and stratum corneum layers.
- "Lozenge"-shaped (diamond-like shape).
- Abundant plasma cells - esp. superficial dermis.
- Keep in mind that plasma cells are a common component of mucosal infiltrates, much more so than for skin.
- A plasma cell component has to be relatively prominent to be relevant in this location (the same can be said for eosinophils).
- Hemosiderin deposits.[6]
DDx:
- Syphilis - Spirochete immunostain (in red) is helpful.
- Spongiotic vulvitis.
- Might look very similar.
- Usually wont show iron deposition.
- Clinical correlation important.
- Superficial fungal vulvitis (usually Candida).
- Lichenoid vulvitis (lichen planus/lichenoid drug reaction).
- Both can be very plasmocellular on mucosal surfaces.
- Zoon vulvitis won't show prominent lichenoid destruction of the epithelium.
Images
- Plasmacytosis mucosae -- intermed mag.jpg
PM - intermed. mag.
- Plasmacytosis mucosae -- high mag.jpg
PM - high mag.
- Plasmacytosis mucosae - alt -- high mag.jpg
PM - high mag.
- Plasmacytosis mucosae -- very high mag.jpg
PM - very high mag.
www:
IHC
- CD138 -- to highlight plasma cells.
Sign out
LESION, VULVA, BIOPSY: - SQUAMOUS MUCOSA WITHOUT A CORNIFIED ZONE, WITH MARKED CHRONIC INFLAMMATION WITH PROMINENT PLASMA CELLS, SEE COMMENT. - NEGATIVE FOR DYSPLASIA AND NEGATIVE FOR MALIGNANCY. COMMENT: The loss of the cornified zone and prominent plasma cells is consistent with plasma cell vulvitis (Zoon vulvitis). Clinical correlation is suggested. A CD138 immunostain demonstrates clusters of plasma cells. A p16 immunostain is negative. Ki-67 positive cells are basal. No microorganisms are apparent with a PASF stain. Perls stain positive iron is admixed with the inflammatory infiltrate.
See also
References
- ↑ dos Reis, HL.; de Vargas, PR.; Lucas, E.; Camporez, T.; Ferreira, Dde C.. "Zoon vulvitis as a differential diagnosis in an HIV-infected patient: a short report.". J Int Assoc Provid AIDS Care 12 (3): 159-61. doi:10.1177/2325957412467694. PMID 23449712.
- ↑ 2.0 2.1 Nucci, Marisa R.; Oliva, Esther (2009). Gynecologic Pathology: A Volume in Foundations in Diagnostic Pathology Series (1st ed.). Churchill Livingstone. pp. 11. ISBN 978-0443069208.
- ↑ 3.0 3.1 3.2 3.3 Çelik, A.; Haliloglu, B.; Tanriöver, Y.; Ilter, E.; Gündüz, T.; Ulu, I.; Midi, A.; Özekici, Ü.. "Plasma cell vulvitis: a vulvar itching dilemma.". Indian J Dermatol Venereol Leprol 78 (2): 230. doi:10.4103/0378-6323.93664. PMID 22421677.
- ↑ Yoganathan, S.; Bohl, TG.; Mason, G. (Dec 1994). "Plasma cell balanitis and vulvitis (of Zoon). A study of 10 cases.". J Reprod Med 39 (12): 939-44. PMID 7884748.
- ↑ URL: http://www.dermnetnz.org/site-age-specific/plasma-cell.html. Accessed on: October 29, 2014.
- ↑ Davis, J.; Shapiro, L.; Baral, J. (Mar 1983). "Vulvitis circumscripta plasmacellularis.". J Am Acad Dermatol 8 (3): 413-6. PMID 6833541.