Difference between revisions of "Adenosquamous carcinoma of the uterine cervix"

From Libre Pathology
Jump to navigation Jump to search
 
Line 3: Line 3:
| Image      = Adenosquamous_carcinoma_high_mag.jpg
| Image      = Adenosquamous_carcinoma_high_mag.jpg
| Width      =
| Width      =
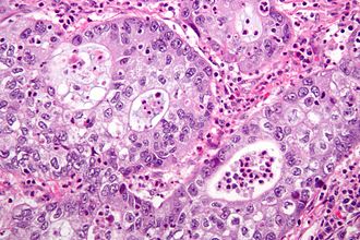
| Caption    = Adenosquamous carcinoma. [[H&E stain]].
| Caption    = Adenosquamous carcinoma - glandular component. [[H&E stain]].
| Synonyms  =
| Synonyms  =
| Micro      = morphologic features of both squamous carcinoma and adenocarcinoma
| Micro      = morphologic features of both squamous carcinoma and adenocarcinoma

Latest revision as of 02:43, 25 April 2014

Adenosquamous carcinoma of the uterine cervix
Diagnosis in short

Adenosquamous carcinoma - glandular component. H&E stain.

LM morphologic features of both squamous carcinoma and adenocarcinoma
Subtypes glassy cell carcinoma
LM DDx squamous cell carcinoma of the uterine cervix, endocervical adenocarcinoma
Site uterine cervix

Prevalence rare

Adenosquamous carcinoma of the uterine cervix is a rare epithelial malignancy of the uterine cervix.

General

  • Uncomon.

Note:

Microscopic

Features:

  • Morphologic features of both squamous carcinoma and adenocarcinoma:
    • Adenocarcinoma: gland forming or mucin vacuoles.
    • Squamous carcinoma: abundant eosinophilic cytoplasm, central nucleus.

Images

See also

References

  1. Kosińiska-Kaczyńska, K.; Mazanowska, N.; Bomba-Opoń, D.; Horosz, E.; Marczewska, M.; Wielgoś, M. (Dec 2011). "Glassy cell carcinoma of the cervix--a case report with review of the literature.". Ginekol Pol 82 (12): 936-9. PMID 22384631.