Adenosquamous carcinoma of the uterine cervix

From Libre Pathology
Jump to navigation Jump to search
Adenosquamous carcinoma of the uterine cervix
Diagnosis in short

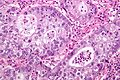
Adenosquamous carcinoma - glandular component. H&E stain.

LM morphologic features of both squamous carcinoma and adenocarcinoma
Subtypes glassy cell carcinoma
LM DDx squamous cell carcinoma of the uterine cervix, endocervical adenocarcinoma
Site uterine cervix

Prevalence rare

Adenosquamous carcinoma of the uterine cervix is a rare epithelial malignancy of the uterine cervix.

General

  • Uncomon.

Note:

Microscopic

Features:

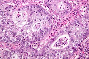
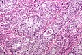
  • Morphologic features of both squamous carcinoma and adenocarcinoma:
    • Adenocarcinoma: gland forming or mucin vacuoles.
    • Squamous carcinoma: abundant eosinophilic cytoplasm, central nucleus.

Images

See also

References

  1. Kosińiska-Kaczyńska, K.; Mazanowska, N.; Bomba-Opoń, D.; Horosz, E.; Marczewska, M.; Wielgoś, M. (Dec 2011). "Glassy cell carcinoma of the cervix--a case report with review of the literature.". Ginekol Pol 82 (12): 936-9. PMID 22384631.