Difference between revisions of "Lymphoepithelioma-like carcinoma"

From Libre Pathology
Jump to navigation Jump to search
(→‎Microscopic: fix image links)
 
(5 intermediate revisions by the same user not shown)
Line 1: Line 1:
'''Lymphoepithelioma-like carcinoma''', abbreviated '''LELC''', is a very rare, poorly differentiated, malignant epithelial tumour.   
{{ Infobox diagnosis
| Name      = {{PAGENAME}}
| Image      = Lymphoepithelioma-like_carcinoma_-_high_mag.jpg
| Width      =
| Caption    = Lymphoepithelioma-like carcinoma. [[H&E stain]].
| Synonyms  =
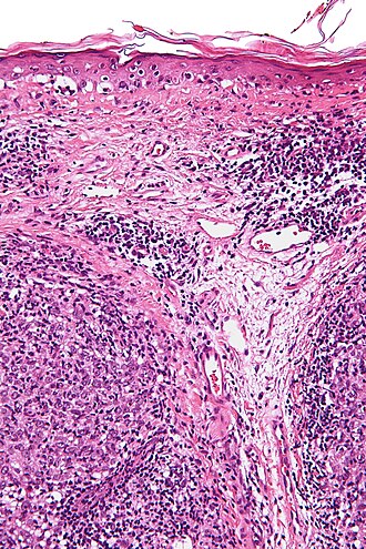
| Micro      = clusters of cohesive squamoid cells with abundant dense cytoplasm, central nuclei +/- small/indistinct nucleoli, surrounded by a prominent lymphoid component
| Subtypes  = (considered a subtype of [[squamous carcinoma]])
| LMDDx      = [[squamous cell carcinoma of the skin]], [[lymphoma]] (non-Hodgkin), [[medullary carcinoma]], [[nasopharyngeal carcinoma]] (head & neck)
| Stains    =
| IHC        =
| EM        =
| Molecular  =
| IF        =
| Gross      =
| Grossing  =
| Site      = [[skin]] and elsewhere
| Assdx      = [[EBV]] infection (dependent on anatomical site)
| Syndromes  =
| Clinicalhx =
| Signs      =
| Symptoms  =
| Prevalence = rare
| Bloodwork  =
| Rads      =
| Endoscopy  =
| Prognosis  =
| Other      =
| ClinDDx    =
| Tx        =
}}
'''Lymphoepithelioma-like carcinoma''', abbreviated '''LELC''', is a rare, poorly differentiated, malignant epithelial tumour.   


It can be considered a subtype of [[squamous carcinoma]] ([[AKA]] squamous cell carcinoma);<ref>URL: [http://www.pathconsultddx.com/pathCon/diagnosis?pii=S1559-8675%2806%2970297-2#back-bib45 http://www.pathconsultddx.com/pathCon/diagnosis?pii=S1559-8675%2806%2970297-2#back-bib45]. Accessed on: 26 May 2011.</ref> however, some advocate it be considered a separate entity.<ref name=pmid11147469>{{Cite journal  | last1 = Skinner | first1 = NE. | last2 = Horowitz | first2 = RI. | last3 = Majmudar | first3 = B. | title = Lymphoepithelioma-like carcinoma of the uterine cervix. | journal = South Med J | volume = 93 | issue = 10 | pages = 1024-7 | month = Oct | year = 2000 | doi =  | PMID = 11147469 }}</ref>
It can be considered a subtype of [[squamous carcinoma]] ([[AKA]] squamous cell carcinoma);<ref>URL: [http://www.pathconsultddx.com/pathCon/diagnosis?pii=S1559-8675%2806%2970297-2#back-bib45 http://www.pathconsultddx.com/pathCon/diagnosis?pii=S1559-8675%2806%2970297-2#back-bib45]. Accessed on: 26 May 2011.</ref> however, some advocate it be considered a separate entity.<ref name=pmid11147469>{{Cite journal  | last1 = Skinner | first1 = NE. | last2 = Horowitz | first2 = RI. | last3 = Majmudar | first3 = B. | title = Lymphoepithelioma-like carcinoma of the uterine cervix. | journal = South Med J | volume = 93 | issue = 10 | pages = 1024-7 | month = Oct | year = 2000 | doi =  | PMID = 11147469 }}</ref>
Line 9: Line 40:
Epidemiology:
Epidemiology:
*Common in Inuit and some Asians.<ref name=pathcon_lymph>URL: [http://www.pathconsultddx.com/pathCon/diagnosis?pii=S1559-8675%2806%2970335-7 http://www.pathconsultddx.com/pathCon/diagnosis?pii=S1559-8675%2806%2970335-7]. Accessed on: 11 May 2011.</ref>
*Common in Inuit and some Asians.<ref name=pathcon_lymph>URL: [http://www.pathconsultddx.com/pathCon/diagnosis?pii=S1559-8675%2806%2970335-7 http://www.pathconsultddx.com/pathCon/diagnosis?pii=S1559-8675%2806%2970335-7]. Accessed on: 11 May 2011.</ref>


Etiology:
Etiology:
*Associated with [[EBV]],<ref name=pmid17347662/> in most anatomical sites (nasopharynx, stomach, lung, thymus, salivary gland); the skin and [[uterine cervix]] appear to be exceptions.<ref name=pmid7726142>{{Cite journal  | last1 = Lespagnard | first1 = L. | last2 = Cochaux | first2 = P. | last3 = Larsimont | first3 = D. | last4 = Degeyter | first4 = M. | last5 = Velu | first5 = T. | last6 = Heimann | first6 = R. | title = Absence of Epstein-Barr virus in medullary carcinoma of the breast as demonstrated by immunophenotyping, in situ hybridization and polymerase chain reaction. | journal = Am J Clin Pathol | volume = 103 | issue = 4 | pages = 449-52 | month = Apr | year = 1995 | doi =  | PMID = 7726142 }}</ref>
*Associated with [[EBV]],<ref name=pmid17347662/> in most anatomical sites (nasopharynx, [[stomach]], lung, thymus, salivary gland).
**The exception to the exception: there is a case report of EBV in LELC of the skin.<ref name=pmid20227583>{{Cite journal  | last1 = Aoki | first1 = R. | last2 = Mitsui | first2 = H. | last3 = Harada | first3 = K. | last4 = Kawamura | first4 = T. | last5 = Shibagaki | first5 = N. | last6 = Tsukamoto | first6 = K. | last7 = Murata | first7 = S. | last8 = Shimada | first8 = S. | title = A case of lymphoepithelioma-like carcinoma of the skin associated with Epstein-Barr virus infection. | journal = J Am Acad Dermatol | volume = 62 | issue = 4 | pages = 681-4 | month = Apr | year = 2010 | doi = 10.1016/j.jaad.2008.07.024 | PMID = 20227583 }}</ref>
**Exceptions:
 
***Skin and [[uterine cervix]].<ref name=pmid7726142>{{Cite journal  | last1 = Lespagnard | first1 = L. | last2 = Cochaux | first2 = P. | last3 = Larsimont | first3 = D. | last4 = Degeyter | first4 = M. | last5 = Velu | first5 = T. | last6 = Heimann | first6 = R. | title = Absence of Epstein-Barr virus in medullary carcinoma of the breast as demonstrated by immunophenotyping, in situ hybridization and polymerase chain reaction. | journal = Am J Clin Pathol | volume = 103 | issue = 4 | pages = 449-52 | month = Apr | year = 1995 | doi =  | PMID = 7726142 }}</ref>
****The exception to the exception: there is a case report of EBV in LELC of the skin.<ref name=pmid20227583>{{Cite journal  | last1 = Aoki | first1 = R. | last2 = Mitsui | first2 = H. | last3 = Harada | first3 = K. | last4 = Kawamura | first4 = T. | last5 = Shibagaki | first5 = N. | last6 = Tsukamoto | first6 = K. | last7 = Murata | first7 = S. | last8 = Shimada | first8 = S. | title = A case of lymphoepithelioma-like carcinoma of the skin associated with Epstein-Barr virus infection. | journal = J Am Acad Dermatol | volume = 62 | issue = 4 | pages = 681-4 | month = Apr | year = 2010 | doi = 10.1016/j.jaad.2008.07.024 | PMID = 20227583 }}</ref>
***[[Lymphoepithelioma-like carcinoma of the urinary bladder|Urinary bladder]].<ref name=pmid21383609>{{Cite journal  | last1 = Williamson | first1 = SR. | last2 = Zhang | first2 = S. | last3 = Lopez-Beltran | first3 = A. | last4 = Shah | first4 = RB. | last5 = Montironi | first5 = R. | last6 = Tan | first6 = PH. | last7 = Wang | first7 = M. | last8 = Baldridge | first8 = LA. | last9 = MacLennan | first9 = GT. | title = Lymphoepithelioma-like carcinoma of the urinary bladder: clinicopathologic, immunohistochemical, and molecular features. | journal = Am J Surg Pathol | volume = 35 | issue = 4 | pages = 474-83 | month = Apr | year = 2011 | doi = 10.1097/PAS.0b013e31820f709e | PMID = 21383609 }}</ref>


Notes:
Notes:
Line 27: Line 59:


DDx:
DDx:
*[[Squamous cell carcinoma of the skin]].
*[[Lymphoma]].
*[[Lymphoma]].
*[[Medullary carcinoma]].
*[[Medullary carcinoma]].
*[[Nasopharyngeal carcinoma]] - H&N lesion.


Images:
===Images===
*[http://commons.wikimedia.org/wiki/File:Lymphoepithelioma-like_carcinoma_-_low_mag.jpg LELC - low mag. (WC)].
<gallery>
*[http://commons.wikimedia.org/wiki/File:Lymphoepithelioma-like_carcinoma_-_high_mag.jpg LELC - high mag. (WC)].
Image: Lymphoepithelioma-like carcinoma - very low mag.jpg | LELC - very low mag.
Image:Lymphoepithelioma-like_carcinoma_-_low_mag.jpg | LELC - low mag. (WC)
Image: Lymphoepithelioma-like carcinoma - intermed mag.jpg | LELC - intermed. mag.
Image:Lymphoepithelioma-like_carcinoma_-_high_mag.jpg | LELC - high mag. (WC)
</gallery>
www:
*[http://dermatology.cdlib.org/148/case_presentations/lymphoepithelioma/2.jpg LELC (dermatology.cdlib.org)].<ref name=dermcdlib_lelc/>
*[http://dermatology.cdlib.org/148/case_presentations/lymphoepithelioma/2.jpg LELC (dermatology.cdlib.org)].<ref name=dermcdlib_lelc/>


Line 39: Line 78:
*[[EBV]].
*[[EBV]].
*[[Squamous cell carcinoma]].
*[[Squamous cell carcinoma]].
*[[Lymphoepithelioma-like carcinoma of the urinary bladder]].


==References==
==References==

Latest revision as of 00:37, 30 September 2015

Lymphoepithelioma-like carcinoma
Diagnosis in short

Lymphoepithelioma-like carcinoma. H&E stain.

LM clusters of cohesive squamoid cells with abundant dense cytoplasm, central nuclei +/- small/indistinct nucleoli, surrounded by a prominent lymphoid component
Subtypes (considered a subtype of squamous carcinoma)
LM DDx squamous cell carcinoma of the skin, lymphoma (non-Hodgkin), medullary carcinoma, nasopharyngeal carcinoma (head & neck)
Site skin and elsewhere

Associated Dx EBV infection (dependent on anatomical site)
Prevalence rare

Lymphoepithelioma-like carcinoma, abbreviated LELC, is a rare, poorly differentiated, malignant epithelial tumour.

It can be considered a subtype of squamous carcinoma (AKA squamous cell carcinoma);[1] however, some advocate it be considered a separate entity.[2]

General

It is thought to be related to nasopharyngeal carcinoma (AKA lymphoepithelioma).[3][4]


Epidemiology:

  • Common in Inuit and some Asians.[5]

Etiology:

Notes:

  • The (macroscopic, microscopic, epidemiologic, prognostic) features of LELC are very similar to medullary carcinoma -- EBV status is one differentiator.[6]

Microscopic

Features:

  • Clusters of cohesive squamoid cells with:
    • Abundant dense cytoplasm.
    • Central nuclei +/- small/indistinct nucleoli.
    • Surrounded by a prominent lymphoid component - key feature.

DDx:

Images

www:

See also

References

  1. URL: http://www.pathconsultddx.com/pathCon/diagnosis?pii=S1559-8675%2806%2970297-2#back-bib45. Accessed on: 26 May 2011.
  2. Skinner, NE.; Horowitz, RI.; Majmudar, B. (Oct 2000). "Lymphoepithelioma-like carcinoma of the uterine cervix.". South Med J 93 (10): 1024-7. PMID 11147469.
  3. 3.0 3.1 Mayer, EK.; Beckley, I.; Winkler, MH. (Mar 2007). "Lymphoepithelioma-like carcinoma of the urinary bladder--diagnostic and clinical implications.". Nat Clin Pract Urol 4 (3): 167-71. doi:10.1038/ncpuro0725. PMID 17347662.
  4. 4.0 4.1 URL: http://dermatology.cdlib.org/148/case_presentations/lymphoepithelioma/arsenovic.html. Accessed on: 11 May 2011.
  5. URL: http://www.pathconsultddx.com/pathCon/diagnosis?pii=S1559-8675%2806%2970335-7. Accessed on: 11 May 2011.
  6. 6.0 6.1 Lespagnard, L.; Cochaux, P.; Larsimont, D.; Degeyter, M.; Velu, T.; Heimann, R. (Apr 1995). "Absence of Epstein-Barr virus in medullary carcinoma of the breast as demonstrated by immunophenotyping, in situ hybridization and polymerase chain reaction.". Am J Clin Pathol 103 (4): 449-52. PMID 7726142.
  7. Aoki, R.; Mitsui, H.; Harada, K.; Kawamura, T.; Shibagaki, N.; Tsukamoto, K.; Murata, S.; Shimada, S. (Apr 2010). "A case of lymphoepithelioma-like carcinoma of the skin associated with Epstein-Barr virus infection.". J Am Acad Dermatol 62 (4): 681-4. doi:10.1016/j.jaad.2008.07.024. PMID 20227583.
  8. Williamson, SR.; Zhang, S.; Lopez-Beltran, A.; Shah, RB.; Montironi, R.; Tan, PH.; Wang, M.; Baldridge, LA. et al. (Apr 2011). "Lymphoepithelioma-like carcinoma of the urinary bladder: clinicopathologic, immunohistochemical, and molecular features.". Am J Surg Pathol 35 (4): 474-83. doi:10.1097/PAS.0b013e31820f709e. PMID 21383609.