Lymphoepithelioma-like carcinoma
Jump to navigation
Jump to search
| Lymphoepithelioma-like carcinoma | |
|---|---|
| Diagnosis in short | |
|
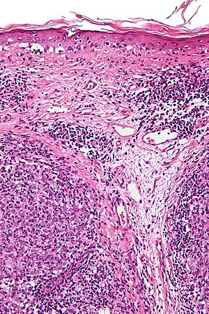
Lymphoepithelioma-like carcinoma. H&E stain. | |
|
| |
| LM | clusters of cohesive squamoid cells with abundant dense cytoplasm, central nuclei +/- small/indistinct nucleoli, surrounded by a prominent lymphoid component |
| Subtypes | (considered a subtype of squamous carcinoma) |
| LM DDx | squamous cell carcinoma of the skin, lymphoma (non-Hodgkin), medullary carcinoma, nasopharyngeal carcinoma (head & neck) |
| Site | skin and elsewhere |
|
| |
| Associated Dx | EBV infection (dependent on anatomical site) |
| Prevalence | rare |
Lymphoepithelioma-like carcinoma, abbreviated LELC, is a rare, poorly differentiated, malignant epithelial tumour.
It can be considered a subtype of squamous carcinoma (AKA squamous cell carcinoma);[1] however, some advocate it be considered a separate entity.[2]
General
It is thought to be related to nasopharyngeal carcinoma (AKA lymphoepithelioma).[3][4]
Epidemiology:
- Common in Inuit and some Asians.[5]
Etiology:
- Associated with EBV,[3] in most anatomical sites (nasopharynx, stomach, lung, thymus, salivary gland).
- Exceptions:
- Skin and uterine cervix.[6]
- The exception to the exception: there is a case report of EBV in LELC of the skin.[7]
- Urinary bladder.[8]
- Skin and uterine cervix.[6]
- Exceptions:
Notes:
- The (macroscopic, microscopic, epidemiologic, prognostic) features of LELC are very similar to medullary carcinoma -- EBV status is one differentiator.[6]
Microscopic
Features:
- Clusters of cohesive squamoid cells with:
- Abundant dense cytoplasm.
- Central nuclei +/- small/indistinct nucleoli.
- Surrounded by a prominent lymphoid component - key feature.
DDx:
- Squamous cell carcinoma of the skin.
- Lymphoma.
- Medullary carcinoma.
- Nasopharyngeal carcinoma - H&N lesion.
Images
www:
See also
- Nasopharyngeal carcinoma.
- EBV.
- Squamous cell carcinoma.
- Lymphoepithelioma-like carcinoma of the urinary bladder.
References
- ↑ URL: http://www.pathconsultddx.com/pathCon/diagnosis?pii=S1559-8675%2806%2970297-2#back-bib45. Accessed on: 26 May 2011.
- ↑ Skinner, NE.; Horowitz, RI.; Majmudar, B. (Oct 2000). "Lymphoepithelioma-like carcinoma of the uterine cervix.". South Med J 93 (10): 1024-7. PMID 11147469.
- ↑ 3.0 3.1 Mayer, EK.; Beckley, I.; Winkler, MH. (Mar 2007). "Lymphoepithelioma-like carcinoma of the urinary bladder--diagnostic and clinical implications.". Nat Clin Pract Urol 4 (3): 167-71. doi:10.1038/ncpuro0725. PMID 17347662.
- ↑ 4.0 4.1 URL: http://dermatology.cdlib.org/148/case_presentations/lymphoepithelioma/arsenovic.html. Accessed on: 11 May 2011.
- ↑ URL: http://www.pathconsultddx.com/pathCon/diagnosis?pii=S1559-8675%2806%2970335-7. Accessed on: 11 May 2011.
- ↑ 6.0 6.1 Lespagnard, L.; Cochaux, P.; Larsimont, D.; Degeyter, M.; Velu, T.; Heimann, R. (Apr 1995). "Absence of Epstein-Barr virus in medullary carcinoma of the breast as demonstrated by immunophenotyping, in situ hybridization and polymerase chain reaction.". Am J Clin Pathol 103 (4): 449-52. PMID 7726142.
- ↑ Aoki, R.; Mitsui, H.; Harada, K.; Kawamura, T.; Shibagaki, N.; Tsukamoto, K.; Murata, S.; Shimada, S. (Apr 2010). "A case of lymphoepithelioma-like carcinoma of the skin associated with Epstein-Barr virus infection.". J Am Acad Dermatol 62 (4): 681-4. doi:10.1016/j.jaad.2008.07.024. PMID 20227583.
- ↑ Williamson, SR.; Zhang, S.; Lopez-Beltran, A.; Shah, RB.; Montironi, R.; Tan, PH.; Wang, M.; Baldridge, LA. et al. (Apr 2011). "Lymphoepithelioma-like carcinoma of the urinary bladder: clinicopathologic, immunohistochemical, and molecular features.". Am J Surg Pathol 35 (4): 474-83. doi:10.1097/PAS.0b013e31820f709e. PMID 21383609.